AOTRAUMA.ORG Центр Илизарова  

Ортопедия и травматология Общие вопросы/General questions Help Информационные технологии в медицине
 вверх
 отправить
 поиск
 админ
 главная


Последствия травмы стопы
Ортопедия и травматология Отправлено Сувалян М.А. 09 Март 2011, 21:39
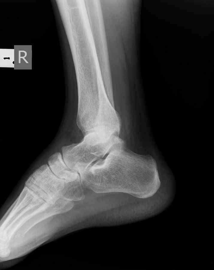
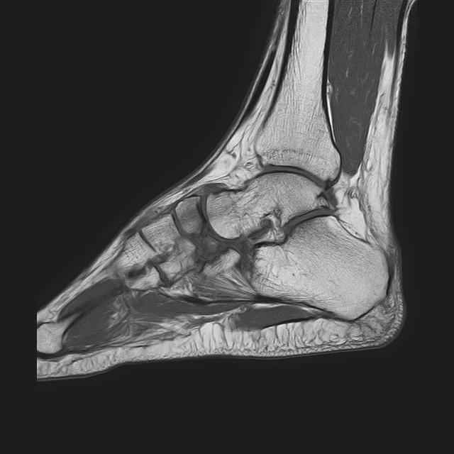
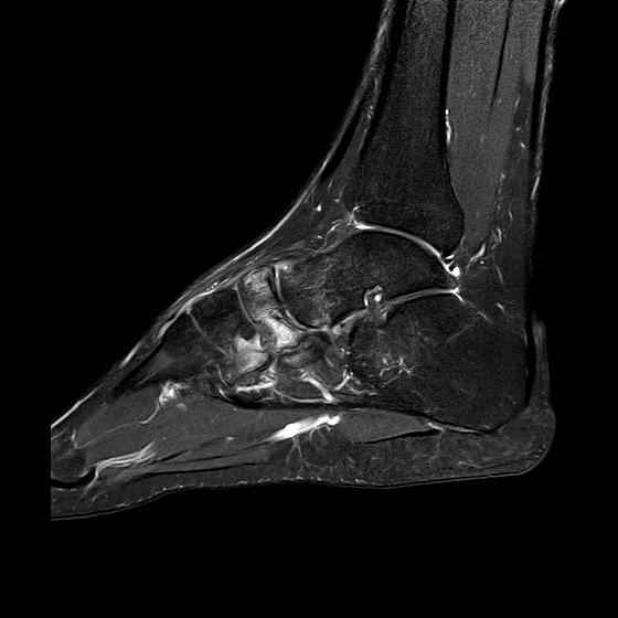
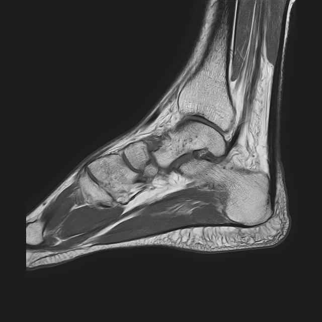
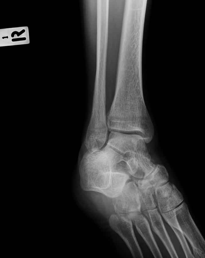
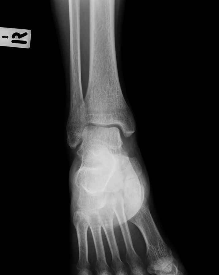
Дорогие коллеги,Мужчина 36 лет, пострадал около 8 месяцев назад в ДТП (водитель мотоцикла).
Подтаранный вывих лечили гипсовой лонгетой. Недиагностированным остался перелом ладьевидной кости, который беспокоит в настоящее время. Аваскулярный некроз кости, похоже. Добавил наиболее значимые снимки, на мой взгляд.
Что можно предложить по тактике?Спасибо.

<  |  >

 

  • Сообщения о Ортопедия и травматология
  • Также Сувалян М.А.
  • Связаться с автором
  • Ответить

    Re: Последствия травмы стопы
    Батал Шушания 09 Март 2011, 23:26
    Здравствуйте! Конечно скудная информация по клинике. Потому, попробуйте индивидуальные ортопедические стельки в обувь (именно индивидуальные, с хорошей поддержкой медиального продольного свода).
    С Уважением Шушания Б.А.
    [ Ответить ]

    Re: Последствия травмы стопы
    Slastinin Vladimir 23 Март 2011, 02:27
    Здравствуйте, уважаемый Микаэл Аветисович!

    По данным снимкам однозначно сказать о некрозе ладьевидной кости нельзя. Типичные изменения при аваскулярном некрозе ладьевидной кости, как правило, начинаются в центральной её части с дальнейшим развитием коллапса. В данном случае в значительной степени пострадал таранно-ладьевидный сустав, вероятнее всего, именно это является причиной болевого синдрома. При отсутствии эффекта от физиотерапии и ношения ортопедической обуви в течение ближайших 6 месяцев придётся ставить вопрос о таранно-ладьевидном артродезе.
    [ Ответить ]


    ( Ответить )

    Powered by Zope  Squishdot Powered MedLink
    Посетитель: 0393952
      "По форме правильно, а по существу - издевательство" В.И.Ленин
    ©2001-2019Orthoforum Coordinator.
    [ Главная | Отправить сообщение | Поиск | Админ ]