AOTRAUMA.ORG Центр Илизарова  

Ортопедия и травматология Общие вопросы/General questions Help Информационные технологии в медицине
 ВХОД ДЛЯ ПАЦИЕНТОВ
 вверх
 поиск
 админ
 главная


Чрезвертельный перелом бедра
Ортопедия и травматология Прислано Абдурашид 09 Март 2011, 23:11
из
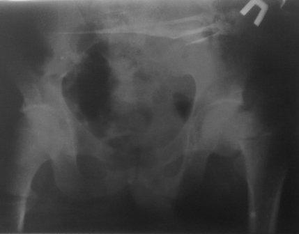
Уважаемые коллеги. Больной 1980г.р. после тяжелой сочетанной травмы от 03.12.10г: спленэктомии, ушивание разрыва печени, мн.переломы ребер. 05.02.11г операция по поводу спаечной к/непроходимости. И чрезвертельный перелом правого бедра,
посмотрел под скопией сращения нет, при проверке двигается только дистальный отломок, а головка как бы припаяна к вертлуге. Укорочение ноги 5см, нога ротирована вовнутрь и приведена, из-за боли проверить объем движения не удается.
В плане PFN -ChM , но может быть контрактура т/б сустава, или делать открытым способом (тогда большая кровопотеря, и так он ослабленный), м/б предварительно аппарат таз-бедро или вытяжение большим грузом?
DHS ,blade plate кончились, имеется шеечные винты, Г-образные пластины ЦИТО-Бокачырева, и кое-что можно из пластин приспособливать по "гаражной ортопедии"
От направления в НИИТО отказывается.
Как нибудь надо помочь больному.....
С уважением Абдурашид.

Послать ответ

Имя
Email
Уведомление Сообщить мне по e-mail об ответах на это сообщение
Название
Комментарий
(Проверьте URL! Не забудьте написать http://!)
Кодировка
Если не знаете, что выбрать, выберите "Просто текст"!
Приложение
Можно приложить к сообщению файл c изображением, который затем будет доступен увидевшим сообщение.
Подготовка иллюстраций:
  • Рентгенограммы: черно-белые полутоновые изображения в формате JPEG (8 bit, greyscale) с разрешением от 300х200 до 1024х768 пикселов;
  • Клинические фотографии: полноцветные изображения в формате JPEG (24 bit, truecolor) с разрешением от 300х200 до 1024х768 пикселов;
  • Схемы и рисунки: черно-белые (2 bit) штриховые (line-art) изображения в формате GIF или compressed TIFF
  • Подберите степень сжатия файла JPEG и размер изображения таким образом, чтобы необходимые детали были различимы, но размер файла не превышал 75 кб.
  • Учтите, что текущая версия программного обеспечения Форума позволяет приложить к одному сообщению лишь один файл-вложение. Поэтому, если необходимо отправить несколько изображений, можно либо послать каждое как отдельное сообщение, либо в графическом редакторе объединить изображения в одно (сделать коллаж).
  • Если при подготовке изображений встречаются трудности, не стесняйтесь обратиться к координатору Форума.

  • Введите видимые символы в обратном порядке. Enter the above characters in reverse order (*Обязательно)
    В тексте сообщения можно использовать теги HTML <B> <I> <P> <A> <LI> <OL> <UL> <EM> <BR> <TT> <HR> <STRONG> <BLOCKQUOTE> <DIV .*> <DIV> <P .*>
  • Обратите внимание: Поля с жирными названиями обязательны.
  • Старайтесь отвечать в рамках обсуждаемой темы, а не начинать новые обсуждения.
  • Указывайте адекватную тему сообщения, чтобы было ясно, о чем оно.
  • Не послайте сообщений не по теме (оффтопик), раздраженных, грубых или обидных комментариев. Здесь это неуместно.
  • Powered by Zope  Squishdot Powered MedLink
    Посетитель: 0175054
      "По форме правильно, а по существу - издевательство" В.И.Ленин
    ©2001-2019Orthoforum Coordinator.
    [ Главная | Отправить сообщение | Поиск | Админ ]