Ответить
|
Re: Костный и мягкотканый дефект голени
александр ерохин 03 Апрель 2011, 04:08
|
Вариантов много.Я выбрал бы по Илизарову:замещение малоберцовой костью или пристеночным транплантатом.Правда,подумать нужно как собрать аппарат-на проксимальный фрагмент похоже кольцо не поставить.Впрочем,думаю получится внедрить малоберцовую кость.Если удастся,то тогда возможно и кожных пластик не потребуется.
Или трасплантат из гребня подвздошной кости,при условии,что дефект полностью санирован.
Цемент-не уверен,что правильно.Уж слишком мал проксимальный фрагмент,а цемент "отрежет" и без того скудное кровоснабжение фрагмента.
А,что смущает при закрытии дефекта икроножной мышцей? Операция простая,должно всё получится.
С литературой...-да хоть книгу Девятова взять,правда там немного другие примеры..Фото,видео-нет ничего похожего..Увы.
|
[
Ответить ]
|
Re: Костный и мягкотканый дефект голени
А. Ситник 03 Апрель 2011, 14:53
|
Несмотря на латеральное расположение дефекта применение медиальной головки икроножной мышцы мне кажется технически более простым, и в то же время достаточным (свой опыт правда невелик, так что коллеги - поправьте если я не прав). А почему бы не заполнить дефект аутокостью?
На работе есть мануал по мышечным пластикам - попробую в понедельник выложить.
|
[
Ответить ]
|
Re: Костный и мягкотканый дефект голени
Отправитель: Maxim Agalakov 03 Апрель 2011, 15:55
|
Выбор в пользу цемента из-за очага хронической инфекции
|
[
Ответить ]
|
|
Re: Костный и мягкотканый дефект голени
Pavel Ivanov 04 Апрель 2011, 00:15
|
Максим, здравствуйте.
Скажу сразу честно, что с аналогичными клиническими случаями я пока не сталкивался, поэтому не могу подкрепить свои рекомендации
рентгенограммами и фотографиями.
Но сначала пара моих реплик:
> укрыть латеральной головкой икроножной мышцы, на нее кожную пластику.
Нужно только учесть, что латеральная головка дотягивается до передней поверхности хуже, так как с этой стороны мешает малоберцовая кость.
Стоит это обязательно проверить во время тренировки в морге.
> Какую тактику лечения предпочесть? Планирую замещение костного дефекта цементом с а/б,
А какую проблему это решит? Разве имеется выраженное воспаление? Кроме того, даже если предположить что кожа над цементом заживет, то нога все равно никогда не станет опорной.
Мне кажется, есть довольно надежный вариант с большой вероятностью благополучного (насколько возможно в такой ситуации) исхода.
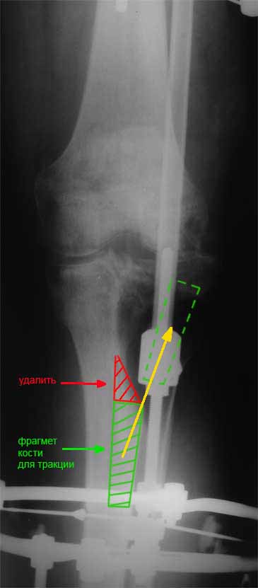
Я бы сделал пластику мягких тканей (торакодорзальный лоскут совместно с микрохирургами или пластику латеральной головкой икроножной мышцы) и выполнил бы краевой отщеп большеберцовой кости для его дистракции аппаратом в проксимальном направлении (рис. 1 – пример применения отщепа (авторство не мое), рис. 2 – схема предлагаемого варианта замещения дефекта кости).

Малоберцовую кость я бы пока не трогал. Она сослужит хорошую службу при начале нагрузки на ногу - будет служить дополнительным стабилизирующим и элементом.
> какие? Помогите с материалами по теме, книги, презентации, видео) Master technic b color
Не думаю, что где-либо в книгах подробно описан алгоритм лечения таких сложных и, к счастью, редких клинических случаев.
Признанными лидером в мире по лечению подобных тяжелых больных является Александр Лернер (Израиль). Он, я знаю, посещает, наш форум,
но, к сожалению, пишет не часто. Было бы очень полезным узнать его мнение.
Желаю удачи.
Павел Иванов
отделение множественной и сочетанной травмы
НИИСП им. Н.В. Склифосовского
г. Москва
|
[
Ответить ]
|
Re: Костный и мягкотканый дефект голени
Отправитель: александр ерохин 04 Апрель 2011, 03:26
|
Можно ведь и расщепленный фрагмент малоберцовой кости внедрить в дефект по Илизарову.Почему нет?Тогда сохранится и малоберцовая кость и заполнится дефект.Возможно и пластик никаких не потребуется,да и дремлющая инфекция не так страшна.
Должно всё получится.
|
[
Ответить ]
|
|
Re: Костный и мягкотканый дефект голени
Alexander Aremiev 04 Апрель 2011, 06:17
|
Здравствуйте, Maxim.
1. Стандартная до слёз ситуация после лечения в непрофильном отделении.
Пороки излишней специализации.
Гнойные (пластические и микрохирурги) в подобных случаях грешат самозабвенной настойчивостью в решении промежуточных второстепеных задач (в данном случае - закрытие дефекта мягких тканей) в ущерб достижению конечной основной цели - восстановлению опороспособности конечности.
Движение - всё, конечная цель - ничто.. Специалист подобен флюсу...
Травматологи в это отделение не были вхожи?
Скажу уже не в первый раз - у такого пациента должен быть один врач, который изначально представляет взможность достижения конечного
результата и планирует количество и последовательность этапов лечения.
Какой бы удручающей ни была ситуация изначально, возможность достижения положительного результата в свежих случаях на порядок выше,
чем после такого однобокого лечения.
2. Хотелось бы увидеть снимки раннего периода, лучше после травмы, а также КТ. Интересует целостность плато б/б кости. По представленным
снимкам возникает подозрение, что наружный мыщелок отделен. Или это так кажется?
3. На данном этапе замещение костного дефекта - лишь часть проблемы.
У пациента жестокая эквинусная контрактура голеностопного сустава и почти наверняка - разгибательная в коленном суставе.
Не поврежден ли малоберцовый нерв?
4. Представляется целесообразным снять аппарат и заняться ЛФК, направленной на разработку движений в коленном и голеностопном
суставах. При отсутствии перспектив восстановления движений в коленном суставе вполне можно задуматься об артродезе.
5. Если решать проблему замещения костного дефекта, то предложенный Павлом Ивановым вариант - наиболее реальный из известных, хотя и весьма сложный.
6. Готов предложить нестандартное решение в этой нестандартной ситуации. Межберцовое синостозирование в проксимальном отделе - между
головкой малоберцовой кости и наружным мыщелком. Это создаст дополнительную опору, которой может оказаться достаточно для функционирования.
Кстати, ничего не слышно о судьбе больного в ложным суставом (дефектом) бедра в нижней трети? Судьбу которого мы так горячо обсуждали несколько месяцев назад?
С уважением Александр Артемьев
|
[
Ответить ]
|
Re: Костный и мягкотканый дефект голени
Отправитель: Alexey Semenisty 04 Апрель 2011, 06:59
|
Сан Саныч прав: "....в ущерб достижению конечной основной цели - восстановлению опороспособности
конечности. Движение - всё, конечная цель - ничто" -
... Движений уже нет и не будет. Медиальный краевой отщеп на фоне такой картины мягких тканей тоже имеет сомнительный прогноз. Даже если все получится, функциональность этой ноги под большим вопросом. Современные протезы после ампутации бедра дают намного лучшие функциональные результаты, и значительно быстрее.
Сейчас наблюдаем пациента, которому три года назад ампутировали ДВЕ ноги выше колена. Ходит прихрамывая без средств дополнительной опоры, и то, из-за того, что таз с вертикальным смещением не очень мы ему полечили. Играет в хоккей за параолимпийскую сборную....
Максим, не мучайте ни себя, ни пациента, хоть он patient, терпеливый значит.
-
С уважением, А.Семенистый.
ГКБ № 13, Москва.
|
[
Ответить ]
|
Re: Костный и мягкотканый дефект голени
Отправитель: Агалаков Максим Вячеславович 05 Апрель 2011, 01:32
|
>Современные протезы после ампутации бедра дают намного лучшие функциональные результаты, и значительно быстрее.
- и стоят они в 10-100 раз дороже обсуждаемых методов лечения в условиях нашего отделения (т.к. оно бесплатно)
|
[
Ответить ]
|
Re: Костный и мягкотканый дефект голени
Отправитель: Alexander Chelnokov 04 Апрель 2011, 07:17
|
>У пациента жестокая эквинусная контрактура голеностопного сустава и
почти наверняка - разгибательная в коленном суставе.
У меня были сходные соображения. Хотел посоветовать начать с перемонтажа аппарата - провести спицы через проксимальный отдел большеберцовой и убрать все с бедра. Если движения будут - думать про замещение дефекта. Если нет (и/или если пациент не настаивает на их восстановлении любой ценой) - то артродез с использованием длинного интрамедуллярного стержня решит проблему дефекта большеберцовой кости "автомагически".
|
[
Ответить ]
|
Re: Костный и мягкотканый дефект голени
Отправитель: Агалаков Максим Вячеславович 05 Апрель 2011, 01:21
|
>то артродез с использованием длинного интрамедуллярного стержня решит проблему дефекта большеберцовой кости "автомагически".
-проблему м/т куда деть, гвоздь будет торчать аккуратно в ране, либо укорачивать сантиметров на 10.
|
[
Ответить ]
|
Re: Костный и мягкотканый дефект голени
Отправитель: Агалаков Максим Вячеславович 05 Апрель 2011, 01:16
|
админ
главная
исходное
Re: Костный и мягкотканый дефект голени
послал Alexander Aremiev 04 Апрель 2011, 06:17
Здравствуйте, Maxim.
>1. Стандартная до слёз ситуация после лечения в непрофильном отделении.
Пороки излишней специализации.
Гнойные (пластические и микрохирурги) в подобных
Травматологи в это отделение не были вхожи?
-проблема в том. что в этом отделении половина хирургов имеет сертификаты травматологов, но .. они лечат абсолютно по-своему, хотя "для галочки", поступают все равно по-своему
> Хотелось бы увидеть снимки раннего периода, лучше после травмы, а также КТ. Интересует целостность плато б/б кости. По представленным
снимкам возникает подозрение, что наружный мыщелок отделен. Или это так кажется?
- нет, скорее всего не кажется, вероятно он отделен, но, скорее всего живой и неподвижный (иначе рассосался бы)
> На данном этапе замещение костного дефекта - лишь часть проблемы.
- несомненно
>У пациента жестокая эквинусная контрактура голеностопного сустава
- чего нет - того нет
> и почти наверняка - разгибательная в коленном суставе.
- конечно было бы странно, если б ее не было после 5 мес фиксации в аппарате в разогнутом положении
>не поврежден ли малоберцовый нерв?
- нет
> Представляется целесообразным снять аппарат и заняться ЛФК, направленной на разработку движений в коленном и голеностопном
суставах.
- возможный вариант - сминание оставшегося плато
>При отсутствии перспектив восстановления движений в коленном суставе вполне можно задуматься об артродезе.
- а вот эдесь можно побороться после восстановления м/т и опороспособности мыщелка
>. Если решать проблему замещения костного дефекта, то предложенный Павлом Ивановым вариант - наиболее реальный из известных, хотя и весьма сложный.
6. Готов предложить нестандартное решение в этой нестандартной ситуации. Межберцовое синостозирование в проксимальном отделе - между
головкой малоберцовой кости и наружным мыщелком. Это создаст дополнительную опору, которой может оказаться достаточно для функционирования.
- все это возможно после решения проблемы мягких тканей
Кстати, ничего не слышно о судьбе больного в ложным суставом (дефектом) бедра в нижней трети? Судьбу которого мы так горячо обсуждали несколько месяцев назад?
- отдельная тема. о которой я обязательно доложу. Пока, что : выполнили перифокальную остеотомию IM пилой, IM пластику, IM остеотомию бедра в в/3, с фиксацией в аппарате (приняли к сведению критические замечания) Тянем, наблюдаем.
Неприятным моментом было обнаружение двух тугих "ложняков" на голени после стабилизации проксимальных сегментов.
Обещаю, как будут результаты или вопросы - сразу доложу.
Еще раз спасибо за интерес к проблеме
|
[
Ответить ]
|
|
Re: Костный и мягкотканый дефект голени
Агалаков Максим Вячеславович 05 Апрель 2011, 00:04
|
Уважаемые коллеги. огромная благодарность за проявленный интерес к продлеме. Далее постараюсь ответить каждому.
от Pavel Ivanov
>Нужно только учесть, что латеральная головка дотягивается до передней поверхности хуже, так как с этой стороны мешает малоберцовая кость
-да, я знаю об том, потому рассматривается вариант двух головок.
>Кроме того, даже если предположить что кожа над цементом заживет, то нога все равно никогда не станет опорной.
- подобная тактика применима при гигантоклеточной опухоли. почему не здесь, кроме того, планирую укрывать дефект не кожей, а мышцей.
>(торакодорзальный лоскут совместно с микрохирургами
- у нас недоступно
>и выполнил бы краевой отщеп большеберцовой кости для его дистракции аппаратом в проксимальном направлении
- это можно, но... про м/т я уже говорил
>Не думаю, что где-либо в книгах подробно описан алгоритм лечения таких сложных и, к счастью, редких клинических случаев.
- проблема не в редких случаях, а в моей неспособности лечить м/т повреждения
>Признанными лидером в мире по лечению подобных тяжелых больных является Александр Лернер (Израиль). Он, я знаю, посещает, наш форум,
но, к сожалению, пишет не часто. Было бы очень полезным узнать его мнение.
- много наслышан, в восторге от его книжки. маловероятно, что он приедет с мастер классом на этого пациента (гуманитарная помощь?)
>Желаю удачи.
_ это не помешает, вполне отдаю себе отчет, что пациент - непрофильный.
Искреннее спасибо за интерес.
|
[
Ответить ]
|
( Ответить )
|
|