вверх
отправить
поиск
админ
главная
|
Неправильно срастающийся оскольчатый перелом бедра |
 |
 |
 |
Отправлено Серегй Дукер 05 Апрель 2011, 16:45
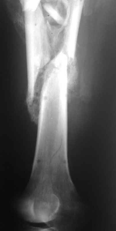
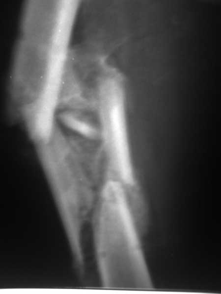
Пациент 39 лет. Травма в ДТП 2.5 месяца назад. Тяжелая сочетанная травма. ЗЧМТ. Тупая травма живота. Разрыв селезенки. Надрывы печени. Перелом бедра. При поступлении лапаротомия. Спленэктомия. Фиксация перелома бедра стержневым аппаратом. в последующем инфаркт мозга на фоне жировой эмболии. длительное нахождение на ИВЛ. Обширный пролежень в области крестца. и т.д.в настоящее время состояние больного стабилизировалось. активизирован на ходунках.имеется деформация бедра, укорочение 10 см. гранулирующий пролежень в области крестца. патологической подвижности в зоне перелома не отмечается.Оптимальные сроки проведения реконструктивной операции на бедре? Сейчас? Или после окончательного сращения?
<
|
>
|
|
Ответить
|
Re: Неправильно срастающийся оскольчатый перелом бедра
Бережной Сергей 06 Апрель 2011, 00:01
|
А откуда такое укорочение взялось, 10см? По представленному фрагменту рентгенограммы понять трудно. В любом случае, если состояние пациента позволяет оперировать сейчас, зачем откладывать операцию до формирования монолитного сращения?
|
[
Ответить ]
|
Re: Неправильно срастающийся оскольчатый перелом бедра
Alexander Chelnokov 06 Апрель 2011, 01:34
|
А чего ждать? Надо возвращать человека к нормальной жизни чем раньше, тем лучше.
Конечно, снимки для планирования надо нормальные, не такой огрызок.
Можно закрыто мобилизовать отломки, наложить дистракционный аппарат, восстановить ось и длину, да и заштифтовать, на всякий случай с антибиотиковым цементным покрытием.
|
[
Ответить ]
|
Re: Неправильно срастающийся оскольчатый перелом бедра
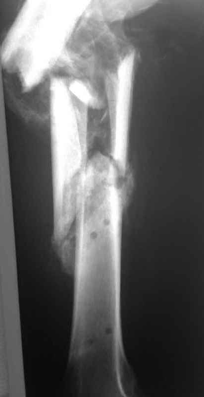
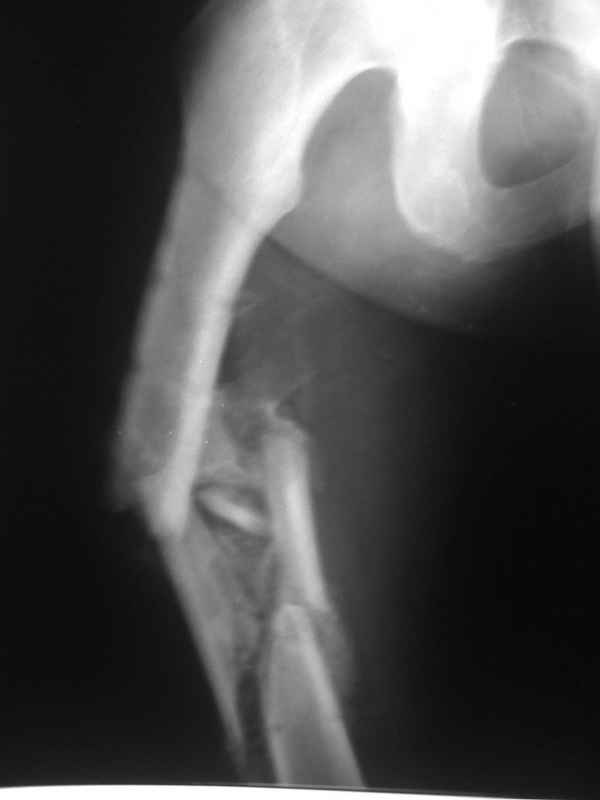
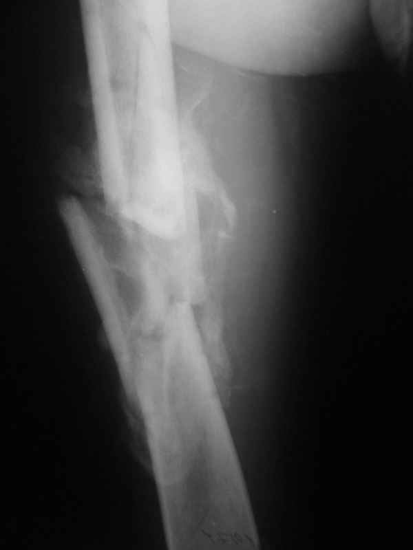
Отправитель: Сергей Дукер 06 Апрель 2011, 13:40
|

R
|
[
Ответить ]
|
Re: Неправильно срастающийся оскольчатый перелом бедра
Отправитель: Alexander Chelnokov 06 Апрель 2011, 20:10
|
Спасибо за снимки. Предложения по тактике прежние.
|
[
Ответить ]
|
Re: Неправильно срастающийся оскольчатый перелом бедра
Отправитель: Андрей 11 Апрель 2011, 00:10
|
Уважаемый Alexander Chelnokov!
Вы думаете, что в данной ситуации возможна закрытая мобилизация?
|
[
Ответить ]
|
Re: Неправильно срастающийся оскольчатый перелом бедра
Отправитель: Alexander Chelnokov 11 Апрель 2011, 04:16
|
Попробовать-то можно. И просто руками "об колено", а то и наложить аппарат, приложить флексионные и ротационые усилия прямо за разъединенные секции.
Если уж никак, то сделать чрескожную остеотомию.
Но если картинки недавние, IMHO должно получиться закрыто разобщить.
|
[
Ответить ]
|
|
( Ответить )
|
|