ВХОД ДЛЯ ПАЦИЕНТОВ
вверх
поиск
админ
главная
|
Infected Non-union, Coxa vara |
 |
 |
 |
Прислано Ostanin 11 Апрель 2011, 22:57
из
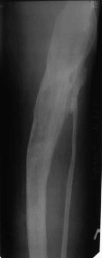
Пациент 29 лет. Неоднократно оперированная Coxa Vara.
В анамнезе этапные операции по поводу устранения Coxa Vara, формирование артродеза коленного сустава, удлинения бедра. В данный момент беспокоит укорочение 7 см, эквинус стопы. Объективно: - местный статус виден на фото, сосудистых и неврологических расстройств нет. Обратился в консультативном порядке, настроен на удлинение голени в г.Волгограде. (со слов больного - не берут без санации очага на голени). Ваши предложения? Из кулуарных соображений - а не актиномикоз ли это? Иссечение рубцов+ VAC+ Стержень с аппаратом + микрососудистый трансплантат(?)
Обратите внимание: Поля с жирными названиями обязательны.
Старайтесь отвечать в рамках обсуждаемой темы, а не начинать новые обсуждения.
Указывайте адекватную тему сообщения, чтобы было ясно, о чем оно.
Не послайте сообщений не по теме (оффтопик), раздраженных, грубых или обидных комментариев. Здесь это неуместно.
|