AOTRAUMA.ORG Центр Илизарова  

Ортопедия и травматология Общие вопросы/General questions Help Информационные технологии в медицине
 вверх
 отправить
 поиск
 админ
 главная


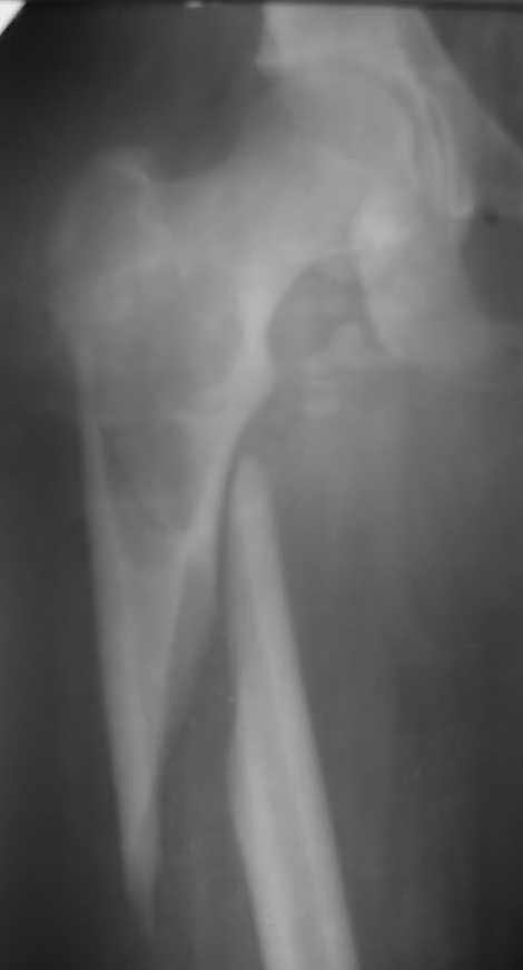
Патологический перелом бедренной кости.
Ортопедия и травматология Отправлено Ihor 18 Апрель 2011, 19:21
Здравствуйте уважаемые коллеги ,Посоветуйте, пожалуйста, тактику лечения (метод фиксации) патологического перелома бедренной кости
у пациента 16- ти лет.С уважением.Ihor.

<  |  >

 

  • Сообщения о Ортопедия и травматология
  • Также Ihor
  • Связаться с автором
  • Ответить

    Re: Патологический перелом бедренной кости.
    Зельский Илья Александрович 19 Апрель 2011, 00:49
    больше данных за кисту.наименьшее число рецидивов при лечении солитарной костной кисты дает интрамедуллярный остеосинтез.
    С уважением, Зельский И.А., рентгенолог УНИИТО
    [ Ответить ]

    Re: Патологический перелом бедренной кости.
    Курышев Данила 19 Апрель 2011, 02:11
    Так и просится длинный PFN.
    [ Ответить ]

    • Re: Патологический перелом бедренной кости.
      Отправитель: Alexander Chelnokov 19 Апрель 2011, 18:06
      В 16 лет лучше реконструкционный стержень, не такой массивный и с более тонкими винтами.

      [ Ответить ]
      • Re: Патологический перелом бедренной кости.
        Отправитель: Александр 19 Апрель 2011, 19:09
        Уважаемые! Если есть литературные ссылки на предмет влияния импланта (именно БИОС) на течение костной кисты - буду признателен. Просто сейчас у меня аналогичный клиент и нужны аргументы для вышестоящего руководства.

        [ Ответить ]
        • Re: Патологический перелом бедренной кости.
          Отправитель: Alexander Chelnokov 19 Апрель 2011, 23:57
          На эту тему на форуме не раз были обсуждения, там были ссылки на публикации. Например, см. здесь.


          [ Ответить ]
    Re: Патологический перелом бедренной кости.
    В.Машталов 19 Апрель 2011, 18:16
    Ув. коллега!
    Данный перелом надо расценивать как травматический, , перелом диафиза ниже солидной кисты, которая здесь является Р-логической находкой.
    Оптимально БИОС с рассверливанием канала и зоны кисты. Срастется перелом и заодно полечите кисту.
    При введении штифта возьмите материал из кисты на ГА, чтобы спать спокойно.
    С ув. В Машталов
    [ Ответить ]

    Re: Патологический перелом бедренной кости.
    Andrey 21 Апрель 2011, 20:32
    Косая линия перелома говорит о травматическом характере. А СКК это сопутствующая находка. Если взглянуть на проблему с точки зрения онкологии, то дагноз ставиться на основании: клиники, рентгена, гистологии. Пренебрегать "золотым" правилом не допустимо, совет один - малоинвазивно трепанбиопсия.
    А потом БИОС...
    P.S.: надо лечить не перелом, а пациента! У пациента еще CKK, надеюсь...
    [ Ответить ]

    Re: Патологический перелом бедренной кости.
    Andrey 21 Апрель 2011, 20:34
    Косая линия перелома говорит о травматическом характере. А СКК это сопутствующая находка. Если взглянуть на проблему с точки зрения онкологии, то дагноз ставиться на основании: клиники, рентгена, гистологии. Пренебрегать "золотым" правилом не допустимо, совет один - малоинвазивно трепанбиопсия.
    А потом БИОС...
    P.S.: надо лечить не перелом, а пациента! У пациента еще CKK, надеюсь...
    [ Ответить ]

    Re: Патологический перелом бедренной кости.
    Юсупов Руслан 02 Май 2011, 14:29
    Предлагаю отдиференцировать от Кисты, доброкачественной ОБК, фиброзной дисплазии. Синтез не проблема, вариантов достаточно.
    [ Ответить ]


    ( Ответить )

    Powered by Zope  Squishdot Powered MedLink
    Посетитель: 0388584
      "По форме правильно, а по существу - издевательство" В.И.Ленин
    ©2001-2019Orthoforum Coordinator.
    [ Главная | Отправить сообщение | Поиск | Админ ]