Ответить
|
Re: Замедленная консолидация ?
Бережной Сергей 25 Апрель 2011, 20:39
|
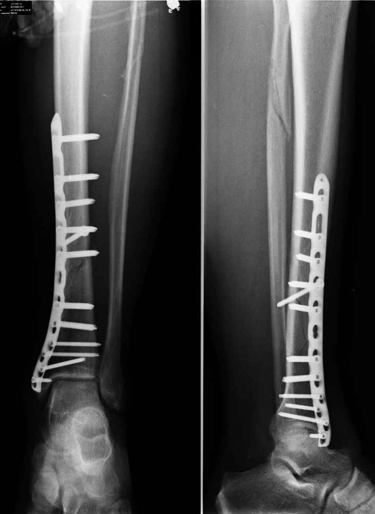
Практически срослось все, о какой замедленной консолидации речь?
|
[
Ответить ]
|
Re: Замедленная консолидация ?
Дедок Михаил 25 Апрель 2011, 22:38
|
На мой взгляд говорить о замедленной консолидации рано (всего 2 месяца). Хотя мозоли не видно.
Если пациент адекватен, дайте дозированную нагрузку (с костылями естественно), контроль каждые 2 недели, чтобы на пропустить нестабильность.
Начать с 10- 15 килограмм (нужны напольные весы дома) и постепенно ее увеличивать.
Если к 4 месяца мозоли нет, то тогда можно говорить о замедленной консолидация.
Все равно,обязательно срастется!!!!!
|
[
Ответить ]
|
Re: Замедленная консолидация ?
Андрей 25 Апрель 2011, 23:33
|
А что беспокоит пациента? При остеосинтезе пластинами LCP в проксимальном и дистальном отломках нужно было ввести в 2 раза меньше винтов. Если сейчас удалить часть винтов и дать частичную нагрузку на ногу, то я думаю процес консолидации пойдет веселее.
|
[
Ответить ]
|
Re: Замедленная консолидация ?
Бережной Сергей 26 Апрель 2011, 01:12
|
Отломки идеально сопоставлены. Остеосинтез стабильный. В такой ситуации должно наступать первичное сращение практически без образования мозоли. Ориентироваться при оценке степени консолидации нужно на завуалированность линий перелома и нарастание, при неблагоприятном развитии ситуации, регионарного остеопороза, которого пока нет, а не на наличие и величину костной мозоли. И нагрузку через такой срок можно уже практически полную давать.
|
[
Ответить ]
|
Re: Замедленная консолидация ?
Максим 26 Апрель 2011, 02:17
|
У человека кости заполнены костным мозгом и только большеберцовая кость заполнена черной неблагодарностью к действиям хирурга:-)
Винтов конечно многовато, но ничего страшного в этом нет. Правильно говорят разрешите приступать и процесс пойдет веселее!
|
[
Ответить ]
|
Re: Замедленная консолидация ?
Отправитель: Andrey 26 Апрель 2011, 18:37
|
согласен с Михаилом, надо дать дозированную нагрузку, это улучьшит питание конечности. А кость надо жалеть и столько не крутить винтов, шанс на атрофический ложняк велик. Стягивающий 4,5 мм винт не работает, а 5,0 мм LSP распирает линию перелома.
У нас в отделении тоже такое часто встречалось, пока Мюллера не прочитали. Сейчас шутим, что столярные времена прошли...
|
[
Ответить ]
|
Re: Замедленная консолидация ?
Отправитель: Андрей 26 Апрель 2011, 20:40
|
Уважаемый Мак сим :)!
За свой не богатый опыт работы, я не видел явных признаков сращения б/б через 9 нед. Как Вы оперировали: открытый остеосинтез (межфрагментарный винт этому доказательство) или непрямой остеосинтез (мостовидная пластина и из разреза-прокола винт)?
Моя рекомендация - дать дозированную (с пргрессией) нагрузку без динамизации пластины. Р-гр через 12 нед после операции.
|
[
Ответить ]
|
|
Re: Замедленная консолидация ?
Михаил Васильев 26 Апрель 2011, 22:19
|
Добрый день!
Остеосинтез достойный. Единственное не стоит оставлять пустое отверстие в проекции перелома, но к данному вопросу это никакого отношения не имеет. Нагрузка, динамическое наблюдение.
|
[
Ответить ]
|
Re: Замедленная консолидация ?
Aдонин 27 Апрель 2011, 05:57
|
о замедленной консолидации говорить однозначно рано, беспокоиться практически не о чем

Ложка дегтя:
самый дистальный шуруп насквозь через внутреннюю лодыжку в сустав ( см увеличенный рисунок). Хорошо было бы его убрать - стабильности остеосинтезу он совершенно не добавляет.
|
[
Ответить ]
|
Re: Замедленная консолидация ?
Светлана 27 Апрель 2011, 18:09
|
Я тоже считаю что необходимо увеличить нагрузку, начать с 20% от массы тела, затем постепенно увеличить, R-контроль в 10 недель
|
[
Ответить ]
|
Re: Замедленная консолидация ?
Отправитель: Paul 02 Май 2011, 00:06
|
Показательный пример оиспользоания технологии при отсутствии понятий. Скорее всего выполнено скелетирование кости с разрушением периостального кровоснабжения, а вид перелома говорит о первично пострадавшем мадулярным кровотоке. Осталось уповать на дозорованную динамическую стимуляцию заживления кости и прочность конструкций.
|
[
Ответить ]
|
Re: Замедленная консолидация ?
Отправитель: Андрей 02 Май 2011, 14:23
|
Ув. Paul!
1. Такая категоричность суждений соответствует принципам футбола СНГ: бей-беги. Мы не получили ответа о методике остеосинтеза(и, если есть, интраоперационных рент открыто-закрыто.
2. Если можно расскажите, где можно узнать о повреждениях "мадулярным кровотока" при ПКГ.
|
[
Ответить ]
|
|
Re: Замедленная консолидация ?
Юсупов Руслан 02 Май 2011, 14:06
|
Синтез стабилен, однозначно. О сращение говорить рановато. Помогите организму - попейте кальций, дайте дозированную нагрузку.
|
[
Ответить ]
|
( Ответить )
|