Ответить
|
Re: Боль после эндопротезирования
Антон Чесноков 02 Май 2011, 08:56
|
Если не ошибаюсь, то у больной имеется нестабильность бедренного компонента эндопротеза. Стартовые ("помповые") боли, а также зона просветления вокруг цемента и смещение цемента относительно кости...
Дополнительно неплохо бы знать - есть ли боли при движениях ногой без опоры (лежа на кровати, активные и пассивные). А также можно дополнительно провести рентгенографию без/с нагрузкой и сравнить.
|
[
Ответить ]
|
Re: Боль после эндопротезирования
Батал Шушания 02 Май 2011, 15:03
|
Здравствуйте! К сожалению, качество рентгенснимков очень низкое,трудно определить есть ли разряжение на границе цементная мантия-кость.
Желательно было бы видеть данную область более четко.
С уважением, Шушания Б.А.
|
[
Ответить ]
|
Re: Боль после эндопротезирования
Сергей Максимов 03 Май 2011, 04:44
|
Здравствуйте. Несомненно качество снимков не позволяет определить зону демаркации (если она есть). Делать нагрузочные снимки не вижу смысла, так как объем миграции может мыть незначительным и "на глаз" не определяться. При наличие же значимой (видимой) нестабильности всегда будет выраженная зона демаркации кость-цемент. Имеет смысл сравнить снимки сразу после имплантации и на данный момент. Обнаруженная миграция ножки может быть косвенным признаком возможной нестабильности. Впрочем, насколько я знаю, допускается некоторое "проседание" ножки при безцементом и цементом протезирование с отсутствием болевого синдрома (по типу вторичной фиксации). А вот миграция+боль, почти всегда= нестабильность.
Со слов коллег, чехи и скандинавы при наличие выраженного болевого синдрома со стороны эндопротеза идут на ревизионное эндопротезирование даже при отсутствие рентгенологическим признаков (конечно, сначала исключаются другие причины: неврологические, сосудистые и т.п.).
С уважением, Сергей.
|
[
Ответить ]
|
Re: Боль после эндопротезирования
Maxim Agalakov 03 Май 2011, 20:14
|
В первую очередь необходимо исключить вялотекущую инфекцию (СРБ,СОЭ, лейкоцитоз, сцинтиграфия, пункция -посев хотя бы)
|
[
Ответить ]
|
Re: Боль после эндопротезирования
Каминский Андрей 03 Май 2011, 23:48
|
стоит с больной обсудить ревизию, думаю ножка нестабильна и то, что на рентгене этого не видно ни о чем не говорит. Клиника нестабильности есть. Причина может быть и восполнительная, но нестабильность главный фактор прогресса воспаления. Замкнутый круг. Устраните нестабильность.
Удачи.
Каминский А.В.
|
[
Ответить ]
|
Re: Боль после эндопротезирования
Батал Шушания 04 Май 2011, 00:27
|
Хочу доложить, недавний случай.
Пациент 60 лет, мужчина. Оперирован в 2007 году, поочередно оперированы два тазобедренных сустава с интервалом в 4 месяца. В 2008 году оперирован на сердце(аорто-коронарное шунтирование).Операция осложнилась инфицированием операционной раны в области грудины, лечился в гнойном отделении.
В конце 2008 года отметил боли в правой паховой области при опоре на правую ногу. На рентген снимках таза с тазобедренными суставами явных признаков нестабильности вертлужного компонента не обнаружено. В 2009 году нейрохирурги его "успешно" прооперировали на L\3-\4 связывая болевой синдром в правой паховой области с наличием грыжи указанного межпозвонкового диска. Состояние только ухудшилось, больной уже не мог долго сидеть, боль прогрессировала . Его в 2009 и 2010 годах смотрел ортопед, делались рентгенснимки, но почему то приходили к выводу что эндопротез справа стабилен. В марте 2011 года я впервые увидел его, через одну неделю после этого был прооперирован. На операции вертлужный компонент при упоре на него инструментом прокручивался во впадине и без труда был извлечен.
Эндопротез Ножка Cerafit компании Ceraver- чашка той же компании.
Расшорошили вертлужную впадину (дебридмент) Заменили чашку,учитывая невозможность полностью исключить инфекционный генез нестабильности, установили вертлужный компонент цементной фиксации (цемент с ванкомицином), поменяли головку из-за изменившихся взаимоотношении между бедренным компонентом и новой чашкой. Рану зашили наглухо. Провели антибактериальную терапию Кубицином. Выписали на 10 сутки после операции. Болевой синдром купирован, пациент радостный, уехал к себе в Калугу. Приедет на контрольный осмотр через месяц.
ниже снимок в 2008 году
далее снимок в 2009 году
далее снимок у меня на приеме
при этом, у этого пациента была СОЭ 20 мм в час, лейкоциты и формула лейкоцитарная в норме. Можно было пунктировать сустав, но мы этого не сделали и оказались правы: при вскрытии сустава на операции, сустав был сухой и жидкость для посева мы бы не получили.
Но все же, мы провели его лечение как инфицированного, учитывая анамнез: нагноение операционной раны грудины, после операции на сердце. К тому, боли в правом тазобедренном суставе он отметил после осложненной операции на сердце.
|
[
Ответить ]
|
Re: Боль после эндопротезирования
Отправитель: Maxim Agalakov 05 Май 2011, 19:29
|
На заключительных снимках явная нестабильность чашки и вероятная ножки, возможно на повторный прием придет не столь радостный (пессимистический прогноз) надеюсь, что все будет по-другому
|
[
Ответить ]
|
Re: Боль после эндопротезирования
Отправитель: Батал Шушания 11 Май 2011, 00:49
|
Нет вы не поняли! Вы поспешили с выводом! Я не смог выслать окончательный, послеоперационный снимок, по техническим причинам. Я это сделал позже, что Вы и видите ниже! Извините, если я Вас запутал!
С последним, третьим снимком он ко мне и обратился, после чего он был и прооперирован на правом тазобедренном суставе!
С уважением Шушания Б.
|
[
Ответить ]
|
Re: Боль после эндопротезирования
Отправитель: Светлана 30 Декабрь 2015, 23:08
|
у меня СОЭ 01.12.15- 43 Нв 91
09.12.15 41 Нв 90
22.12.15 -46 Нв 111 принимала антибиотики обезбаливющее и сейчас еще хуже болит уже снова взяла костыли с Вами по скайпу можно поговорить? e vtyz d 2008 было ДТП я за рулем и мотор вьехал в колени и пошло--- собирали всю СЛАВА БОГУ летом 2015 летала как в 18лет сейчас как 60 родилась 1970 боль в паху периодами беспокоит снимки сказали нормальные а откуда СОЭ 46-?? и боль что без костыля идти не могу особенно первые 4 шага а потом легче.
|
[
Ответить ]
|
|
Re: Боль после эндопротезирования
Шведовченко Игорь Владимирович 04 Май 2011, 11:33
|
Уважаемый Абдурашид. Поищите в интернете кандидатскую диссертацию А.О.Денисова "Болевой синдром после эндопротезирования тазобедренного сустава", которая защищена в ноябре 2010 года в ин-те Вредена.
Позволю себе процитировать только одну фразу из автореферата.
"При анализе всех 1000 обследованных пациентов частота болевого синдрома в разные сроки после эндопротезирования тазобедренного сустава составила 73%, среди которых 41% составляли новые болевые ощущения, 10% - сохранившиеся, 22% - сочетания новых и сохранившихся болевых ощущений. И лишь 27% пациентов никаких жалоб не предъявляли.
С уважением. И.В.Шведовченко
|
[
Ответить ]
|
Re: Боль после эндопротезирования
Батал Шушания 05 Май 2011, 02:06
|

В дополнение к моему вышеуказанному пациенту. Досылаю послеоперационный снимок, который я не выслал сразу.
|
[
Ответить ]
|
Re: Боль после эндопротезирования
Отправитель: Абдурашид 06 Май 2011, 01:22
|
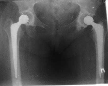
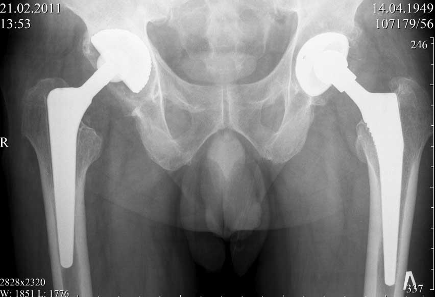
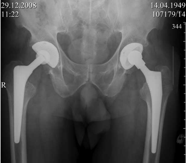
Уважаемые коллеги, огромная благодарность всем!
Больная врач ОФД, молодая женщина, просит куда можно обратится из клиник в России, и примерно все это(консультация, обследование и операция) сколько стоит? чтобы материально готовится, она из г.Бухары, Узбекистан.
С уважением Абдурашид.
прилагаю рентген снимки сразу после операции в 2009г и февраль 2011г.
Копия Фото0487.jpg
8KB (9142 bytes)
|
[
Ответить ]
|
Re: Боль после эндопротезирования
Отправитель: Абдурашид 06 Май 2011, 01:23
|
Уважаемые коллеги, огромная благодарность всем!
Больная врач ОФД, молодая женщина, просит куда можно обратится из клиник в России, и примерно все это(консультация, обследование и операция) сколько стоит? чтобы материально готовится, она из г.Бухары, Узбекистан.
С уважением Абдурашид.
прилагаю рентген снимки сразу после операции в 2009г и февраль 2011г.
Копия Фото0487.jpg
8KB (9142 bytes)
|
[
Ответить ]
|
Re: Боль после эндопротезирования
Отправитель: Абдурашид 06 Май 2011, 01:24
|
Уважаемые коллеги, огромная благодарность всем!
Больная врач ОФД, молодая женщина, просит куда можно обратится из клиник в России, и примерно все это(консультация, обследование и операция) сколько стоит? чтобы материально готовится, она из г.Бухары, Узбекистан.
С уважением Абдурашид.
прилагаю рентген снимки сразу после операции в 2009г и февраль 2011г.
Копия Фото0487.jpg
8KB (9142 bytes)
|
[
Ответить ]
|
Re: Боль после эндопротезирования
Отправитель: Абдурашид 06 Май 2011, 01:24
|
Уважаемые коллеги, огромная благодарность всем!
Больная врач ОФД, молодая женщина, просит куда можно обратится из клиник в России, и примерно все это(консультация, обследование и операция) сколько стоит? чтобы материально готовится, она из г.Бухары, Узбекистан.
С уважением Абдурашид.
прилагаю рентген снимки сразу после операции в 2009г и февраль 2011г.
Копия Фото0487.jpg
8KB (9142 bytes)
|
[
Ответить ]
|
Re: Боль после эндопротезирования
Отправитель: Абдурашид 06 Май 2011, 01:29
|
Уважаемые коллеги, огромная благодарность всем!
Больная врач ОФД, молодая женщина, просит куда можно обратится из клиник в России, и примерно все это(консультация, обследование и операция) сколько стоит? чтобы материально готовится, она из г.Бухары, Узбекистан.
С уважением Абдурашид.
прилагаю рентген снимки сразу после операции в 2009г и февраль 2011г.
Копия Фото0485.jpg
10KB (10869 bytes)
|
[
Ответить ]
|
Re: Боль после эндопротезирования
Отправитель: Абдурашид 06 Май 2011, 01:34
|
Уважаемые коллеги, огромная благодарность всем!
Больная врач ОФД, молодая женщина, просит куда можно обратится из клиник в России, и примерно все это(консультация, обследование и операция) сколько стоит? чтобы материально готовится, она из г.Бухары, Узбекистан.
С уважением Абдурашид.
прилагаю рентген снимки сразу после операции в 2009г и февраль 2011г.
Копия Фото0486.jpg
6KB (7027 bytes)
|
[
Ответить ]
|
Re: Боль после эндопротезирования
Отправитель: Баходир 06 Май 2011, 20:55
|
Добрый вечер Абдурашид.звоните по номеру +998977704230 я вам подскажу...
С уважением Бахадир.
|
[
Ответить ]
|
Re: Боль после эндопротезирования
Отправитель: Батал Шушания 11 Май 2011, 02:13
|
Уважаемый Абдурашид! Цены на ревизионное эндопротезирование в Москве примерно 300-350 тыс рублей (11-13 тыс долларов).
Но, пациентка не обследована, не определена причина боли. Необходимы качественные рентгенснимки, возможно КТ исследование, лабораторные исследования крови, оценка объективного локального статуса. Собрав это воедино, еще раз обсудить показания к ревизионному эндопротезированию, и может быть выставить на обсуждение нашего общества. Нужно быть окончательно уверенным, что причина боли в протезированном суставе.
с Уважением Шушания Батал.
ФГУ "3 ЦВКГ имени А. А. Вишневского Минобороны России" Московская область, Красногорск.
|
[
Ответить ]
|
|
Боль после эндопротезирования
Бен. Э. М. 07 Май 2011, 16:01
|
Уважаемый Абдурашид!
Конфликт между вертлужным компонентом эндопротеза и сухожилием илиопсоаса является одной из причин боли, для дифф. диагностики сделайте инфильтрацию этого сухожилия под контролем УЗИ.
|
[
Ответить ]
|
( Ответить )
|
|