ВХОД ДЛЯ ПАЦИЕНТОВ
вверх
поиск
админ
главная
исходное
|
Re: Подвертельный перелом после МОС шейки винтами
послал Djoldas Kuldjanov 09 Май 2011, 14:23
|
Приходилось наблюдать расколачивание вколоченного субкапитального перелома, и для предупреждения осложнений считаем правильным решением экстренную оперативную фиксацию.
Как отметили коллеги, необходимо обратить внимание на последовательность введения каннюлированных шурупов. Рекомендуется введение в форме “V”, т.е основанием вниз, потому что в другой последовательности за счет увеличения стресса латерального кортекса имеется риск перелома. За редким исключением удается установить Guide wire с первой попытки и многоразовые пробы спицей увеличивают стресс. Небольшая травма может привести к перелому.
Работа Burstein AH and Wright TM: Fundamentals of Orthopaedic Biomechanics. Williams & Wilkins, Baltimore, pp. 160-169, 1994 доказывает, что шурупы, введенные на уровне малого вертела или ниже, приводят к осложнению. Введенные шурупы под 135 и больше градусов в 20% осложнились подвертельными переломами бедра.
У больных с ожирением и соматическими заболеваниями нежелательно открывать место перелома. Гвозди от DePuy с двумя шурупами рассчитаны для переломов бедра, и приходилось их применить для фиксации подвертельных переломов, но более адекватную фиксацию создает Gamma 3.

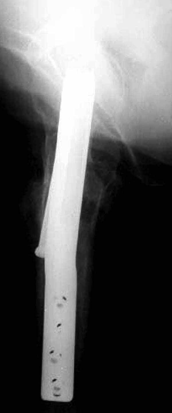
Здесь подобный случай, где стрессовый перелом обнаружен через 2 недели после фиксации. Применен Blade Plate с дополнительными шурупами.
Djoldas Kuldjanov, M.D.
Associate Professor
Department of Orthopedic Surgery
St. Louis University
|
| Послать ответ |
Обратите внимание: Поля с жирными названиями обязательны.
Старайтесь отвечать в рамках обсуждаемой темы, а не начинать новые обсуждения.
Указывайте адекватную тему сообщения, чтобы было ясно, о чем оно.
Не послайте сообщений не по теме (оффтопик), раздраженных, грубых или обидных комментариев. Здесь это неуместно.
|