AOTRAUMA.ORG Центр Илизарова  

Ортопедия и травматология Общие вопросы/General questions Help Информационные технологии в медицине
 вверх
 отправить
 поиск
 админ
 главная


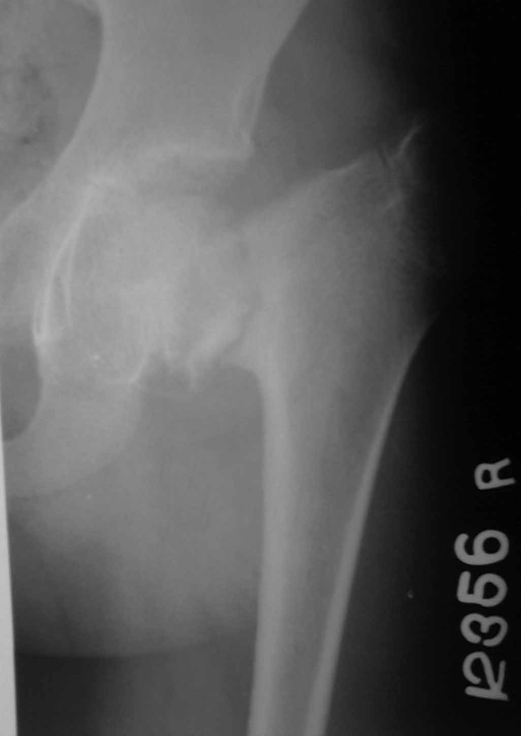
Paediatric old neglected # NOF
Ортопедия и травматология Отправлено Rudra Narayan Pandey 08 Май 2011, 00:29
Uvajaemie
Proshu vnimanie!
K mne prishla devochka 11 let.
Jalabi; na bol v oblasti pravogo HIP joint.
Uctoriya bolezni; trauma god nazad, ni obrashalas k vrachu... Prinimala paracetamol dlya boli.
Osmotr: ukorocheniye hijnoi konechnosti na 2.5 cm. Local tenderness in the region of rt greater trochanter. Range of motion; almost full but painful.
Xray; fracture neck of femur.

Vopros ;
1. Kakoba taktika lecheniye?

Dr rudra
New delhi
india

<  |  >

 

  • Сообщения о Ортопедия и травматология
  • Также Rudra Narayan Pandey
  • Связаться с автором
  • Ответить

    Re: Paediatric old neglected # NOF
    Lev Lapidus 08 Май 2011, 04:25
    Dear Dr Rudra
    For my opinion this is an old process, more than one year. It very similar to Congenital Coxa Vara.
    Treatment - valgus osteotomy. Very important to achieve correct orientation of the growth plate (compare with opposite hip)
    With respect
    [ Ответить ]

    Re: Paediatric old neglected # NOF
    Зельский Илья Александрович 10 Май 2011, 22:57
    I agree with previous doc. It is not fracture, but so-called coxa vara coli lysis - zone of bone tissue reconstruction.
    УНИИТО, Зельский И.А, рентгенолог
    [ Ответить ]


    ( Ответить )

    Powered by Zope  Squishdot Powered MedLink
    Посетитель: 0000164
      "По форме правильно, а по существу - издевательство" В.И.Ленин
    ©2001-2019Orthoforum Coordinator.
    [ Главная | Отправить сообщение | Поиск | Админ ]