ВХОД ДЛЯ ПАЦИЕНТОВ
вверх
поиск
админ
главная
исходное
|
Re: Помогите подобрать фиксатор!!!
послал Djoldas Kuldjanov 20 Май 2011, 08:14
|
"участок некроза кожных покровов (см. фото), поэтому латеральная мыщелковая пластина не подойдет, а медиальных пластин у фирм-производителей нет. Пациент может приобрести современный имплант, но какой?"
Не знаю как у вас, вообще в государственном учреждении дискутировать с пациентами насчет цен и выбора имплантов считается неэтично. Другое дело в приватных клиниках, где больные заранее осведомлены о ценовых условиях и готовы оплатить. А так получается дискредитация, и среди больных создается неравенство, “комплекс неполноценности” может привести к конфронтации.
Не всегда “современнный” значит лучший, а иногда старый забытый метод окажется намного эффективнее, чем дорогой имплант.
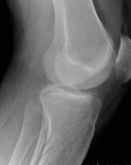
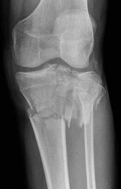
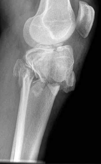
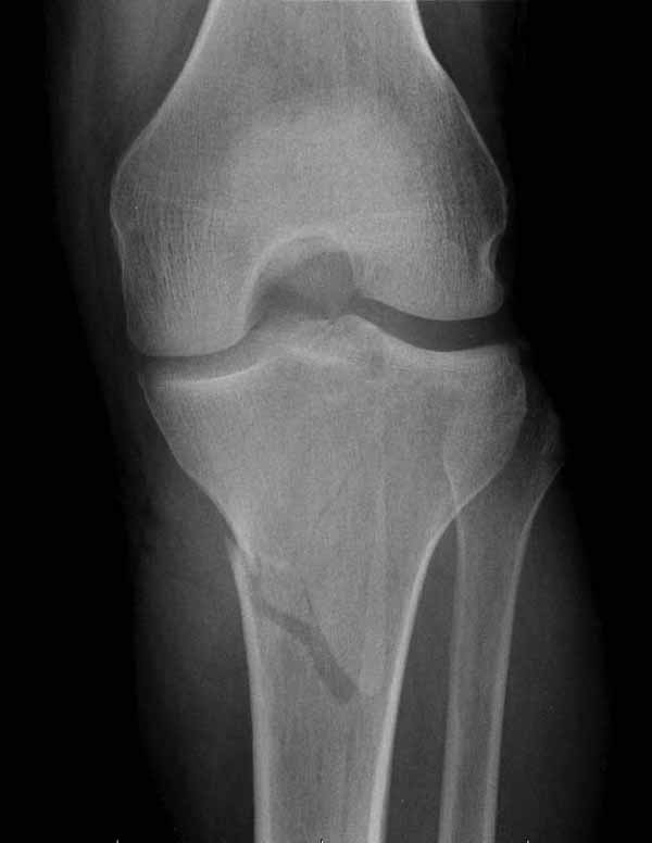
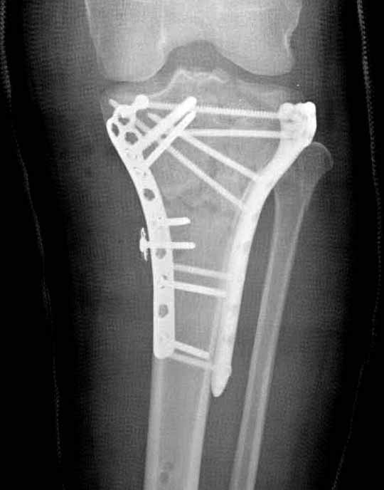
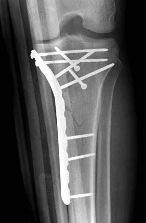
Двухколоннный перелом тибиал плато с вовлечением проксимального диафиза. Внутрисуставной компонент без смещения, и такой перелом можно лечить любым из описанных методов, о которых говорят наши коллеги.
Удобно аппаратом Илизарова или интрамедуллярным гвоздем. Гвозди не так сложно, как пугают, тем более Александр готов помощь с методичкой. Сперва надо установить компрессирующие шурупы на мыщелки. Давно отказались в пользу 3.5-4.0 мм кортикальных вместо толстых спонгиозных, потому что не доказаны преимущества толстых шурупов. Тонкие шурупы в субхондральной зоне смотрятся намного элегантнее, чем толстые 6.5.
Это мероприятие превращает перелом в простой диафизарный, который легко можно фиксировать гвоздем. Шурупы надо установить сзади предполагаемого места введения гвоздя.
Как понял, аппарат Илизарова не рассматривается предпочтительным для фиксации методом, хотя на фоне отека было бы идеальным для данного перелома. Для пластины требуется идеальная кожа, иначе наличие “суперсовременных имплантов” не поможет, и могут развиться серьезные осложнения.
В основном пластины рассчитаны на латеральную поверхность, потому что с латеральной стороны больше мягкотканая подушка, а также через латеральную колонну проходит ось конечности, что немаловажно в удержании оси от деформации.
Для изолированных переломов медиального тибиал плато, фиксацию можно провести “медиальной пластиной”. Некоторые компании, например Smith & Nephew делают медиальные и медиально-задние пластины, но они мягкие, и легко можно создать нужный контур. Жесткость создается за счет фиксации жесткими пластинами, например экстра артикулярной пластиной для дистального плеча от Synthes. Медиальный доступ тоже не из легких, надо работать между pes and medial gastroc.
Частая ошибка, когда фиксацию двух колонного перелома проводят одиночной пластиной, т.е с одной стороны, и такая фиксация не удерживает, происходит вторичноое смещение. Необходимо нейтрализовать второй пластиной или дополнительным наружным фиксатором.
Если у вас, кроме пластины, нет другого альтернативного варианта, тогда, учитывая мягкотканые проблемы с наружной стороны, я бы рекомендовал операцию делать в два этапа. Преимущества, сперва репозиция и фиксация перелома с медиальной стороны, а затем, после улучшения состояния мягких тканей, зафиксировать с латеральной стороны. Современные пластины имеют латеральный Jig для перкутанных мини доступов.
Кстати, коллеги правы для уточнения характера перелома надо делать Компьютерную Томографию.


В приложении этапы фиксации Both Column Fx и пластиной Synthes для плеча при переломе медиального мыщелка.
Djoldas Kuldjanov, M.D.
Associate Professor
Department of Orthopedic Surgery
St. Louis University
|
| Послать ответ |
Обратите внимание: Поля с жирными названиями обязательны.
Старайтесь отвечать в рамках обсуждаемой темы, а не начинать новые обсуждения.
Указывайте адекватную тему сообщения, чтобы было ясно, о чем оно.
Не послайте сообщений не по теме (оффтопик), раздраженных, грубых или обидных комментариев. Здесь это неуместно.
|