AOTRAUMA.ORG Центр Илизарова  

Ортопедия и травматология Общие вопросы/General questions Help Информационные технологии в медицине
 вверх
 отправить
 поиск
 админ
 главная


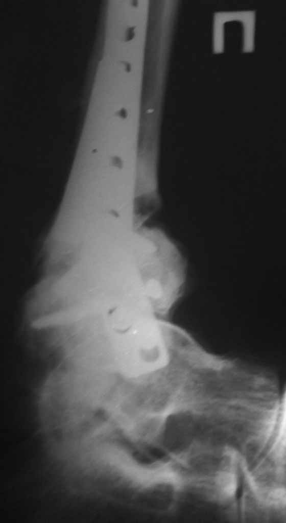
Помогите с дальнейшей тактикой лечения- несращение дистального отдела tibia
Ортопедия и травматология Отправлено Николай 05 Июнь 2011, 11:26
Уважаемые коллеги.
Помогите с дальнейшей тактикой лечения. Больной 57 лет. Травма в мае 2009(упал фундаментный блок на обе н.конечности. Операция в мае пластинкой.
Нагрузку начал давать через 4 месяца. Через 1,5 месяцев появился отек конечности. На контрольном Р-снимке сломанная пластинка. Больной ходит, прихрамывая на эту конечность. Беспокоит отек,боль.Снимки прилагаются. Зараннее спасибо.Николай.

<  |  >

 

  • Сообщения о Ортопедия и травматология
  • Также Николай
  • Связаться с автором
  • Ответить

    Re: Помогите с дальнейшей тактикой лечения
    Юрий Алексеевич Булахтин 07 Июнь 2011, 14:16
    Николай, здравствуйте!

    Сообщите, пожалуйста, А Вы врач?

    С уважением, Юрий Алексеевич Булахтин
    Камчатский Военно-морской госпиталь
    [ Ответить ]

    Re: Помогите с дальнейшей тактикой лечения
    Иван 07 Июнь 2011, 18:40
    наверное нет...
    [ Ответить ]

    Re: Помогите с дальнейшей тактикой лечения
    Олег Афанасьев 08 Июнь 2011, 01:32
    Удаление металлоконструкции,остеотомия м/берц. к-ти(снимок в прямой пр.?)АВФ по Илизарову с фиксацией г/ст.сустава,дозированная нагрузка в АВФ.Удачи!
    [ Ответить ]

    Re: Помогите с дальнейшей тактикой лечения
    Maxim Agalakov 08 Июнь 2011, 23:30
    посев и СРБ в в цифрах с референтными интервалами
    [ Ответить ]


    ( Ответить )

    Powered by Zope  Squishdot Powered MedLink
    Посетитель: 0389979
      "По форме правильно, а по существу - издевательство" В.И.Ленин
    ©2001-2019Orthoforum Coordinator.
    [ Главная | Отправить сообщение | Поиск | Админ ]