AOTRAUMA.ORG Центр Илизарова  

Ортопедия и травматология Общие вопросы/General questions Help Информационные технологии в медицине
 ВХОД ДЛЯ ПАЦИЕНТОВ
 вверх
 поиск
 админ
 главная


Непростой случай с бедрами.
Ортопедия и травматология Прислано Миронов Андрей 13 Июнь 2011, 21:10
из
На лечении находится пациент с тяжелой сочетанной травмой. На сегодняшний день встал вопрос о тактике лечения переломов бедер( по месту жительства бедрами не занимались).
Пациенту 22 года. Травма в июле 2010г, лечился в районной больнице. К нам попал в апреле 2011г. Тяжелая сочетанная травма (29.07.2010): тупая травма живота с повреждением внутренних органов. Закрытая травма грудной клетки с переломом ребер. Пневмоторакс справа. Тяжёлая позвоночно-спинномозговая травма. Закрытый осложнённый переломо-вывих С5 позвонка. Верхний парапарез, нижняя параплегия, нарушение функции тазовых органов по типу недержания. Цекостома. Пролежень левой ягодичной области. Неправильно консолидированные переломы верхних третей обеих бедер. Застарелый вывих левого бедра. Осложнение: Поддиафрагамльный абсесс слева, забрюшинного пространства. Свищ желудка и ободочной кишки. Синегнойный сепсис. Двухстороняя пневмония. Но это уже анамнез. Пациент был неоднократно оперирован на органах брюшной полости и осложнениями с ними связанными.
И с таким букетом переведен к нам.
04.05.11 выполнена операция Ламинэктомия С5, С6 позвонков.Резекция тел С5, С6 позвонков. Спондилодез С4-7 имплантатом из пористого никелида титана + передняя фиксирующая пластина. Действующая цекостома. Закрывать цекостому пока хирурги не будут(учитывая предшествующие проблемы с животом)

В настоящее время состояние больного удовлетворительное, по анализам компенсирован, не температурит.

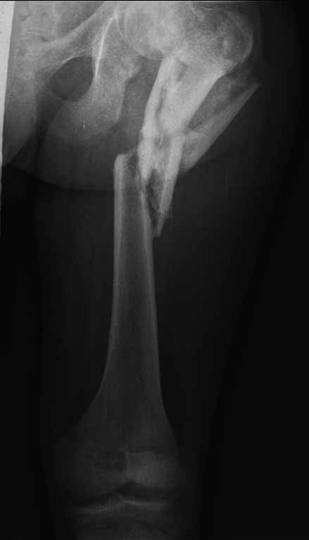
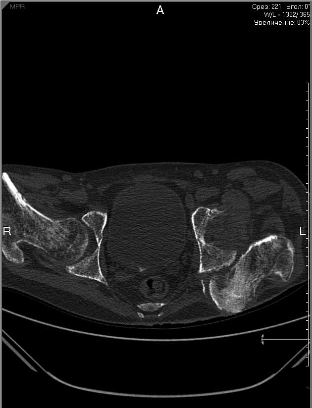
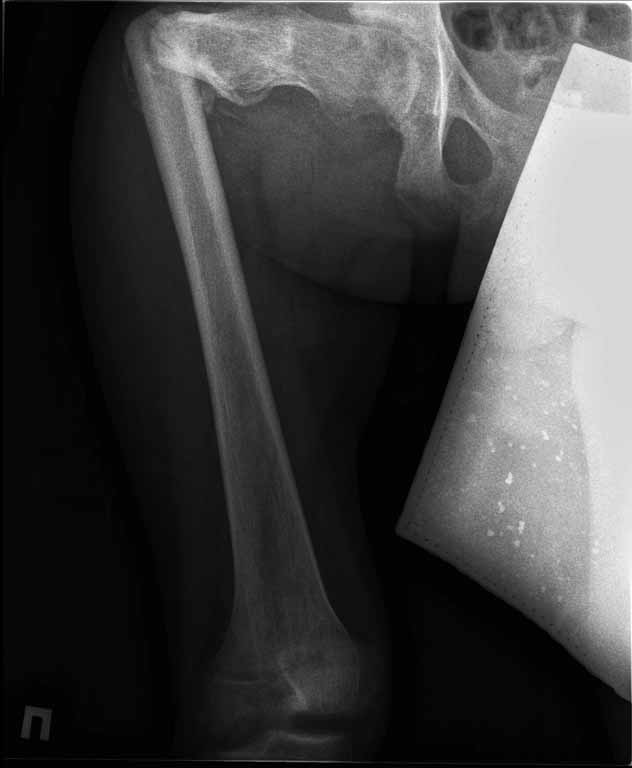
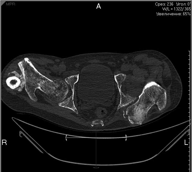
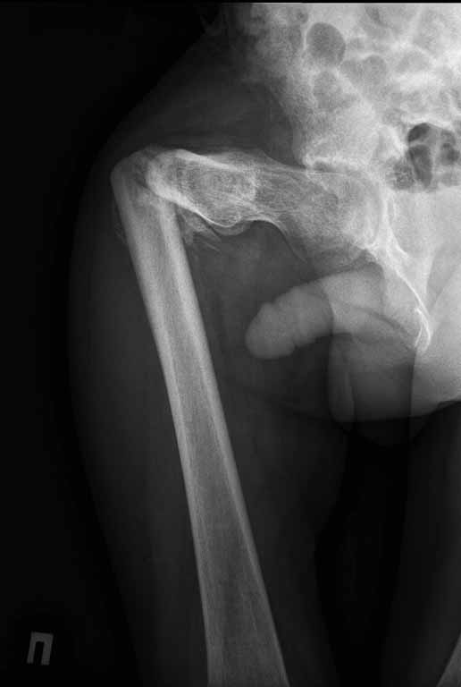
В ягодичной области слева глубокий пролежень размером 2х2см, дном является вывихнутая головка бедра. Неврологически в нижних конечностях динамика положительная, появились движения в правой стопе, чувствительность в стопах. По переломам бедер: подвижности в местах переломов нет, снимки высылаю.

Уважаемые коллеги, помогите определиться с оптимальной тактикой в лечении перелома бедер. Степень оснащенности у нас достаточная (аппараты, штифты, пластины, ЭОП).

Планирую начать с правого бедра, ЧКО таза (передняя рама) с фиксацией бедра. О/клазия места перелома правого бедра и устранение грубых смещений в аппарате. окончательно можно оставить и в аппарате. Далее аппаратное устранение вывиха левого бедра.

Жду ваших комментариев , советов. Заранее спасибо. Андрей.

Послать ответ

Имя
Email
Уведомление Сообщить мне по e-mail об ответах на это сообщение
Название
Комментарий
(Проверьте URL! Не забудьте написать http://!)
Кодировка
Если не знаете, что выбрать, выберите "Просто текст"!
Приложение
Можно приложить к сообщению файл c изображением, который затем будет доступен увидевшим сообщение.
Подготовка иллюстраций:
  • Рентгенограммы: черно-белые полутоновые изображения в формате JPEG (8 bit, greyscale) с разрешением от 300х200 до 1024х768 пикселов;
  • Клинические фотографии: полноцветные изображения в формате JPEG (24 bit, truecolor) с разрешением от 300х200 до 1024х768 пикселов;
  • Схемы и рисунки: черно-белые (2 bit) штриховые (line-art) изображения в формате GIF или compressed TIFF
  • Подберите степень сжатия файла JPEG и размер изображения таким образом, чтобы необходимые детали были различимы, но размер файла не превышал 75 кб.
  • Учтите, что текущая версия программного обеспечения Форума позволяет приложить к одному сообщению лишь один файл-вложение. Поэтому, если необходимо отправить несколько изображений, можно либо послать каждое как отдельное сообщение, либо в графическом редакторе объединить изображения в одно (сделать коллаж).
  • Если при подготовке изображений встречаются трудности, не стесняйтесь обратиться к координатору Форума.

  • Введите видимые символы в обратном порядке. Enter the above characters in reverse order (*Обязательно)
    В тексте сообщения можно использовать теги HTML <B> <I> <P> <A> <LI> <OL> <UL> <EM> <BR> <TT> <HR> <STRONG> <BLOCKQUOTE> <DIV .*> <DIV> <P .*>
  • Обратите внимание: Поля с жирными названиями обязательны.
  • Старайтесь отвечать в рамках обсуждаемой темы, а не начинать новые обсуждения.
  • Указывайте адекватную тему сообщения, чтобы было ясно, о чем оно.
  • Не послайте сообщений не по теме (оффтопик), раздраженных, грубых или обидных комментариев. Здесь это неуместно.
  • Powered by Zope  Squishdot Powered MedLink
    Посетитель: 0180484
      "По форме правильно, а по существу - издевательство" В.И.Ленин
    ©2001-2019Orthoforum Coordinator.
    [ Главная | Отправить сообщение | Поиск | Админ ]