AOTRAUMA.ORG Центр Илизарова  

Ортопедия и травматология Общие вопросы/General questions Help Информационные технологии в медицине
 ВХОД ДЛЯ ПАЦИЕНТОВ
 вверх
 поиск
 админ
 главная


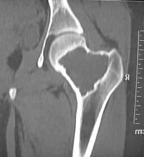
Очаг в проксимальном отделе бедра
Ортопедия и травматология Прислано Сергей Елфимов 16 Июнь 2011, 20:06
из
Больная Л., 23 года.
Из анамнеза:со слов больной в 2006 г. появились боли правой н/конечности, обратилась поместу жительства к хирургу, было выполнена МРТ поясничного отдела позвоночника,назначено физиолечение.
Через 2 месяца боли прекратились, через 4 месяца рецидив болевого синдрома. С 2006 – 2010 проводилось консервативное лечение по поводу остеохондроза поясничного отдела позвоночника. В октябре 2010 г. боли усилились. Выполнены Ro и КТ правого тазобедренного сустава, выявлен очаг патологической перестройки. Была направлена на консультацию в УНИИТО.
В УНИИТО виюне 2011 г. поставлен дифференциальный диагноз между фибромой, солитарной костнойкистой и гигантоклеточной опухолью.

Наши предложение по выбору лечения:
1) эндопротезирование тазобедренного сустава;
2) при выявлении ОБК – заполнение полости костным цементом;
3) в случае фибромы – заполнение полости аллокостью.
Вариант пластикиа утокостью не подходит, т.к пациентка субтильного телосложения.

Уважаемые коллеги, прошу высказать Ваше мнение.
С уважением,С. Елфимов

Послать ответ

Имя
Email
Уведомление Сообщить мне по e-mail об ответах на это сообщение
Название
Комментарий
(Проверьте URL! Не забудьте написать http://!)
Кодировка
Если не знаете, что выбрать, выберите "Просто текст"!
Приложение
Можно приложить к сообщению файл c изображением, который затем будет доступен увидевшим сообщение.
Подготовка иллюстраций:
  • Рентгенограммы: черно-белые полутоновые изображения в формате JPEG (8 bit, greyscale) с разрешением от 300х200 до 1024х768 пикселов;
  • Клинические фотографии: полноцветные изображения в формате JPEG (24 bit, truecolor) с разрешением от 300х200 до 1024х768 пикселов;
  • Схемы и рисунки: черно-белые (2 bit) штриховые (line-art) изображения в формате GIF или compressed TIFF
  • Подберите степень сжатия файла JPEG и размер изображения таким образом, чтобы необходимые детали были различимы, но размер файла не превышал 75 кб.
  • Учтите, что текущая версия программного обеспечения Форума позволяет приложить к одному сообщению лишь один файл-вложение. Поэтому, если необходимо отправить несколько изображений, можно либо послать каждое как отдельное сообщение, либо в графическом редакторе объединить изображения в одно (сделать коллаж).
  • Если при подготовке изображений встречаются трудности, не стесняйтесь обратиться к координатору Форума.

  • Введите видимые символы в обратном порядке. Enter the above characters in reverse order (*Обязательно)
    В тексте сообщения можно использовать теги HTML <B> <I> <P> <A> <LI> <OL> <UL> <EM> <BR> <TT> <HR> <STRONG> <BLOCKQUOTE> <DIV .*> <DIV> <P .*>
  • Обратите внимание: Поля с жирными названиями обязательны.
  • Старайтесь отвечать в рамках обсуждаемой темы, а не начинать новые обсуждения.
  • Указывайте адекватную тему сообщения, чтобы было ясно, о чем оно.
  • Не послайте сообщений не по теме (оффтопик), раздраженных, грубых или обидных комментариев. Здесь это неуместно.
  • Powered by Zope  Squishdot Powered MedLink
    Посетитель: 0000042
      "По форме правильно, а по существу - издевательство" В.И.Ленин
    ©2001-2019Orthoforum Coordinator.
    [ Главная | Отправить сообщение | Поиск | Админ ]