AOTRAUMA.ORG Центр Илизарова  

Ортопедия и травматология Общие вопросы/General questions Help Информационные технологии в медицине
 вверх
 отправить
 поиск
 админ
 главная


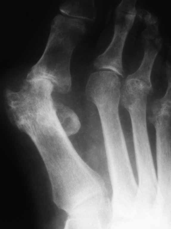
Дефартроз первого плюснефалангового сочленения.
Ортопедия и травматология Отправлено Сергей Дукер 20 Июнь 2011, 17:32
55 лет. Ревматоидный полиартрит.
Артродез или протез ПФС?

<  |  >

 

  • Сообщения о Ортопедия и травматология
  • Также Сергей Дукер
  • Связаться с автором
  • Ответить

    Re: Дефартроз первого плюснефалангового сочленения.
    Андрей 20 Июнь 2011, 23:22
    Резекционная артропластика
    [ Ответить ]

    Re: Дефартроз первого плюснефалангового сочленения.
    Бережной Сергей 21 Июнь 2011, 01:56
    А если посоветуют протез? Уверены, что сумеете добиться стабильного протезирования при таком дисконгруэнтном суставе? Артродез кажется более очевидным решением. Но и здесь могут быть сложности. Хоть стопа и не вся на рентгенограмме, видно, что имеется нестабильность 3 и 4 плюснефаланговых суставов. Артродез 1-го плюснефалангового без коррекции 1-го межплюсневого угла приведет к еще большему относительному укорочению 1 плюсневой. А это ускорит дестабилизацию латеральных лучей и спровоцирует развитие переходной центральной метатарсалгии. Мне кажется, что в подобной ситуации можно было бы обдумать вариант артродеза медиального плюснеклиновидного сустава или какой-либо из коррегирующих остеотомий 1 плюсневой (на Ваш вкус). Либо нужно совмещать артродез 1 плюснефалангового с вмешательством на латеральных лучах. Хотя, без полноценных рентгенограмм и фотографий стопы, не зная, что беспокоит пациента, с какой скоростью развивалась данная деформация, есть ли нестабильность медиального плюснеклиновидного сустава и т.д., советовать сложно.
    [ Ответить ]

    • Re: Дефартроз первого плюснефалангового сочленения.
      Отправитель: Сергей Дукер 21 Июнь 2011, 08:49
      Течение заболевания свыше 10 лет. Беспокоят боли в области ПФС. Невозможность ношения обуви.

      [ Ответить ]
      • Re: Дефартроз первого плюснефалангового сочленения.
        Отправитель: Бережной Сергей 21 Июнь 2011, 10:10
        Если основные жалобы связаны с первым ПФС, то можно выполнить резекцию основания основной фаланги 1 пальца, но только совместив с артродезом медиального плюснеклиновидного или одной из остеотомий 1 плюсневой. Этим Вы добъетесь нормализации 1 межплюсневого угла и относительного удлинения 1 плюсневой с одновременной декомпрессией 1-го ПФС. Изолированная же резекция 1-го плюснефалангового может привести к очень нестабильному суставу.

        [ Ответить ]
        • Re: Дефартроз первого плюснефалангового сочленения.
          Отправитель: Пивень Игорь Михайлович 01 Июль 2011, 20:42
          Возможно выполнить резекцию основания основной фалангию. Размер резекции должен быть таким, чтобы палец свободно выводился в нейтральное положение.
          Если сделать небольшой обьем палец будет "тянуть" к тылу. При большой резекции он будет излишне мобильным.Артропластика выполняется лоскутом выкроенным из капсулы сустава, основание лоскута направлено дистально.(операция Брандеса). Вторым этапом удаляется остеофит головки 1 плюсневой кости по борозде имеющейся между ним и головкой( операция Шеде). 1 палец выводится в "правильное" положение и фиксируется швами фасции. Третий этап -поперечная остеотомия основания 1 плюсневой кости до наружного кортикала (нельзя рубить полностью). В линию остеотомии вводится долото и производится надлом наружного кортикала. Моделируется трансплантат клиновидной формы из основания основной фаланги и вбивается в линию остеотомии 1плюсневой кости. Происходит самозаклинивание с хорошей стабильностью. Фиксация гипсовой лонгетой 1,5мес., ходьба с костылями без нагрузки до 2мес. Операция проводится под пневмоманжетой. Возможна внутрикостная анестезия. С уважением Пивень Игорь Уральский НИИ травматологии и ортопедии

























































































































































































































































































































































































































































































































































          [ Ответить ]
        • Re: Дефартроз первого плюснефалангового сочленения.
          Отправитель: Владимир 12 Август 2011, 09:24
          Уважаемый Игорь Михайлович! Артропластика лоскутом капсулы сустава - операция Мейо. Операция Брандеса - резекция основной фаланги. А вообще методика ( четыре операции ), описанная Вами, давно известна как "операция по методике ЦИТО" ( Крамаренко - Бояриневой ).С увужением Владимир.


          [ Ответить ]
    • Re: Дефартроз первого плюснефалангового сочленения.
      Отправитель: Maxim Agalakov 07 Июль 2011, 00:07
      согласен с Сергеем. при таком суставе оптимальным будет артродез в п/ф суставе с коррекцией луча (на мой взгляд предпочтительней с артродезом плюснеклиновидного сустава)

      [ Ответить ]
    Re: Дефартроз первого плюснефалангового сочленения.
    Анастасия 11 Июль 2011, 02:55
    Это скорее не стеоартроз, а проявление основного заболевания - ревматоидный артрит характеризуется эрозированием суставных повернхностей, что видно на рентгенограмме.
    Протезирование 1 пф сустава выполнять не следует хотя бы потому, что больные РА постоянно получают гормонотерапию, что вызывает выраженный остеопороз. "Золотой" стандарт в таких случаях артродез 1 пф сустава+резекция головок 2-5 плюсневых костей
    С уважением, Роскидайло Анастасия. Институт Ревматологии РАМН.
    [ Ответить ]

    Re: Дефартроз первого плюснефалангового сочленения.
    Анастасия 25 Июль 2011, 02:57
    Артродез 1 плюсне-фалангового сустава и резекция головок 2-5 плюсневых костей. С уважением, Роскидайло Анастасия, Институт Ревматологии РАМН.
    [ Ответить ]


    ( Ответить )

    Powered by Zope  Squishdot Powered MedLink
    Посетитель: 0000090
      "По форме правильно, а по существу - издевательство" В.И.Ленин
    ©2001-2019Orthoforum Coordinator.
    [ Главная | Отправить сообщение | Поиск | Админ ]