вверх
отправить
поиск
админ
главная
|
Врожденная деформация позвоночника |
 |
 |
 |
Отправлено А.В.Владзимирский 29 Июнь 2011, 13:09 ДНИИТО
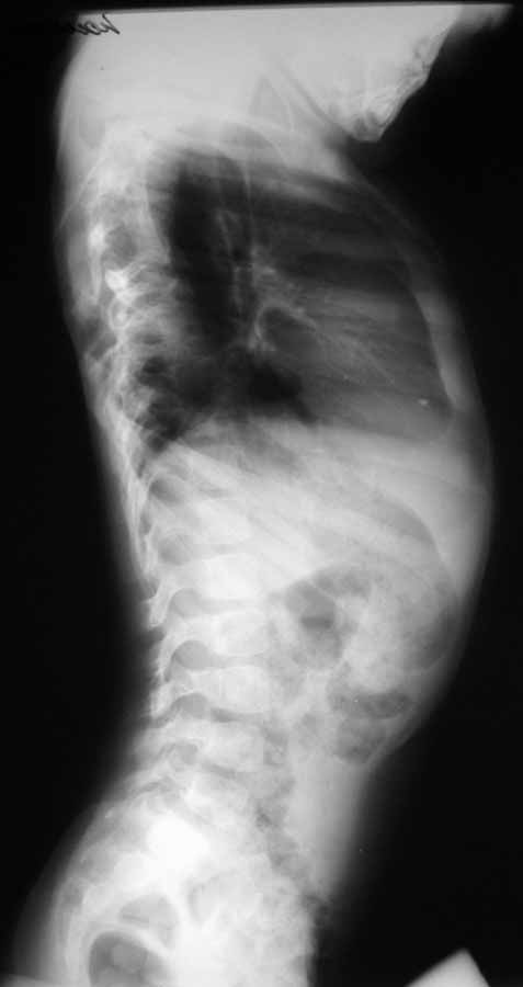
Уважаемые коллеги!Выскажите, пожалуйста, мнения о тактике лечения данной пациентки. Девочка, 5 лет. ДЗ: Врожденный S–образный сколиоз, аномалия развития позвоночника: клиновидные 5–6 грудные позвонки, аномалия развития грудной клетки: деформация ребер. Анамнез заболевания: Болеет с рождения, начала ходить в 1,5 года. В 5 месяцев мама отметила наличие реберного горба, который увеличивался в размерах, в 1год 10 месяцев – произведена рентгенография позвоночника – отмечена его деформация. Заранее благодарю! С уважением, А.В.Владзимирский
<
|
>
|
|
Ответить
|
Re: Врожденная деформация позвоночника
А.В.Владзимирский 29 Июнь 2011, 14:27
|
Рентгенограмма
spine2.JPG
58KB (60355 bytes)
|
[
Ответить ]
|
Re: Врожденная деформация позвоночника
адонин 02 Июль 2011, 01:52
|
если нет грубого неврологического дефицита - только наблюдение. детей оперировать надо как можно позже - операция обычно сопровождается артродезом, что делате невозможным дальнейший рост грудной клетки. при длинных больших дугах у маленьких детей хорошо помогает серийное гипсование. но врядли в этом случае оно нужно.
в прошедший понедельник , 27 числа, как раз на эту (ранний сколиоз) тему был полуторачасовой вебинар на vumedi.com - можете подписаться и посмотреть. Есть новые модели задней фиксации позвоночника, позволяющие дальнейщий рост. но для этого надо каждые пол-года открываться и растягивать стержни. Есть реберные дистракторы, но врядли они Вам доступны и врядли в этом случае нужны.
Если в будущем надумаете оперировать - обязательно предоперационное МРТ
|
[
Ответить ]
|
( Ответить )
|
|