вверх
отправить
поиск
админ
главная
|
неправильно сросшийся перелом бедренной кости |
 |
 |
 |
Отправлено Шухрат 05 Июль 2011, 11:21
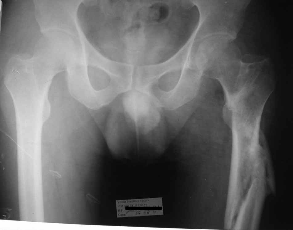
Уважаемые коллеги, доброго времени суток. Молодой парень 30 лет, в 2010г получил травму в результате ДТП. Лечили на скелетном вытяжени 6 нед с последующим наложением кокситной повязки на 12 нед. От предложенного остеосинтеза пластинами воздержался( БИОС к сожалению пока не доступен)В настоящее время ходит заметно прихрамывая, левая нижняя конечность укорочена сравнительно на 3,0 см. Объем движений в суставах полный. Как можно помочь больному в дальнейшем. Буду рад Вашим советам. Спасибо.
<
|
>
|
|
Ответить
|
Re: неправильно сросшийся перелом бедренной кости
Pavel Ivanov 06 Июль 2011, 01:37
|
Уважаемый Шухрат!
Мне кажеться, что бы получить советы по существу, Вам надо сказать о своей позиции - какой метод лечения Вы видите оптимальным и планируете
использовать. И попросить коллег обсудить его плюсы и минусы, сравнить с другими возможными вариантами лечения.
Может быть Вам поможет это обсуждеие (интерсная прежде всего в контексте формулировки начала дискуссии, а не по сути) -
http://weborto.net/forum/1190813148
С уважением,
Павел Иванов
отделение множественной и сочетанной травмы
НИИСП им. Н.В. Склифосовского
г. Москва
|
[
Ответить ]
|
Re: неправильно сросшийся перелом бедренной кости
Руслан Токмаков 09 Июль 2011, 15:00
|
Здравствуйте Шухрат. Мне кажется, если хромата в результате укорочения конечности,а не из-за других причин, то оптимально будет произвести остеотомию в с/з и установить аппарат Илизарова.
|
[
Ответить ]
|
Re: неправильно сросшийся перелом бедренной кости
шухрат 11 Июль 2011, 14:40
|
Уважаемый Павел!
Я извиняюсь за столь долгое молчание, интернет был на время не доступен.
Согласен с Вами, мое мнение нужно востоновить длину. В наших условиях это остеотомия и остеосинтез пластиной с учётом риска и осложнений, или же ему нужно будет оперироватся там где БИОС имеется.Был бы рад советам по поводу моего мнения.
Спасибо.
|
[
Ответить ]
|
( Ответить )
|
|