AOTRAUMA.ORG Центр Илизарова  

Ортопедия и травматология Общие вопросы/General questions Help Информационные технологии в медицине
 ВХОД ДЛЯ ПАЦИЕНТОВ
 вверх
 поиск
 админ
 главная
 исходное


Re: Некорректная установка
послал Volodymyr Kovalchuk 02 Сентябрь 2011, 01:53
Еще один очень важный нюанс при лечении диафизарных переломов бедра и голени - это лигаментотаксис. Простыми словами, перелом нужно достаточно растянуть. Нам известно три способа как это сделать:

1) мануальный руками (самый дешевый и распостраненный, требует недюжинных усилий и +1 ассистента)
2) ортопедический стол (самый дорогой, длительное время на подготовку)
3) большой бедренный дистрактор (самый любимый, золотая середина)

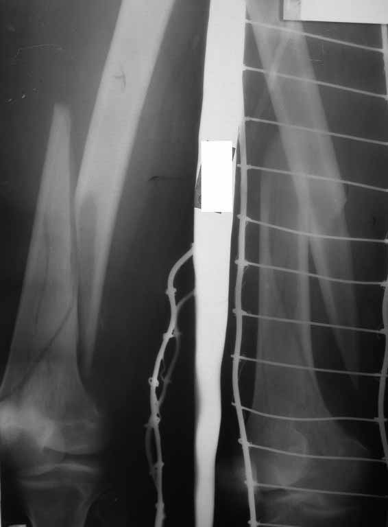
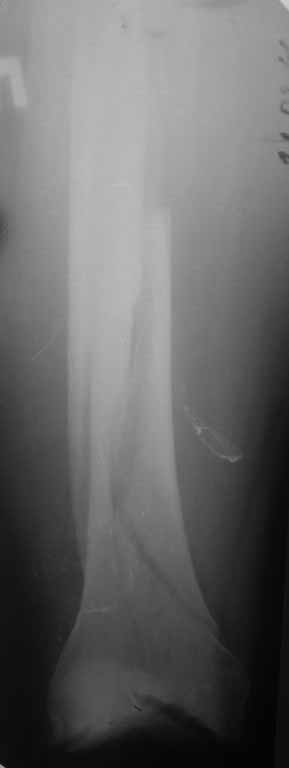
В данному случае, в том числе, перелом не был достаточно растянут. Во многих случаях (преимущественно все-таки при многооскольчатых переломах) именно тракция является основным репонирующим моментом, который и восстанавливает длину и ось. Остается только следить за ротацией. Мышечно-фасциальные футляры во время тракции восстановят правильные соотнешения, если только нет интерпозиции.




Представляю вам один из наших недавних случаев выполнения малоинвазивного остеосинтеза бедренной кости обычной пластиной 95 градусов. Длина восстановлена с помощью дистрактора (по сути это основная и б(о)льшая часть репозиции). Произведено два небольших доступа, проведена спица направитель. Рентген-контроль для подтверждения достаточной длины/оси (ЭОП использовался в другой операционной). Создание туннеля обратной стороной фиксатора. Поворот фиксатора, введение клинка по спице. Фиксация проксимального и дистального концов пластины.

Послать ответ

Имя
Email
Уведомление Сообщить мне по e-mail об ответах на это сообщение
Название
Комментарий
(Проверьте URL! Не забудьте написать http://!)
Кодировка
Если не знаете, что выбрать, выберите "Просто текст"!
Приложение
Можно приложить к сообщению файл c изображением, который затем будет доступен увидевшим сообщение.
Подготовка иллюстраций:
  • Рентгенограммы: черно-белые полутоновые изображения в формате JPEG (8 bit, greyscale) с разрешением от 300х200 до 1024х768 пикселов;
  • Клинические фотографии: полноцветные изображения в формате JPEG (24 bit, truecolor) с разрешением от 300х200 до 1024х768 пикселов;
  • Схемы и рисунки: черно-белые (2 bit) штриховые (line-art) изображения в формате GIF или compressed TIFF
  • Подберите степень сжатия файла JPEG и размер изображения таким образом, чтобы необходимые детали были различимы, но размер файла не превышал 75 кб.
  • Учтите, что текущая версия программного обеспечения Форума позволяет приложить к одному сообщению лишь один файл-вложение. Поэтому, если необходимо отправить несколько изображений, можно либо послать каждое как отдельное сообщение, либо в графическом редакторе объединить изображения в одно (сделать коллаж).
  • Если при подготовке изображений встречаются трудности, не стесняйтесь обратиться к координатору Форума.

  • Введите видимые символы в обратном порядке. Enter the above characters in reverse order (*Обязательно)
    В тексте сообщения можно использовать теги HTML <B> <I> <P> <A> <LI> <OL> <UL> <EM> <BR> <TT> <HR> <STRONG> <BLOCKQUOTE> <DIV .*> <DIV> <P .*>
  • Обратите внимание: Поля с жирными названиями обязательны.
  • Старайтесь отвечать в рамках обсуждаемой темы, а не начинать новые обсуждения.
  • Указывайте адекватную тему сообщения, чтобы было ясно, о чем оно.
  • Не послайте сообщений не по теме (оффтопик), раздраженных, грубых или обидных комментариев. Здесь это неуместно.
  • Powered by Zope  Squishdot Powered MedLink
    Посетитель: 0000017
      "По форме правильно, а по существу - издевательство" В.И.Ленин
    ©2001-2019Orthoforum Coordinator.
    [ Главная | Отправить сообщение | Поиск | Админ ]