ВХОД ДЛЯ ПАЦИЕНТОВ
вверх
поиск
админ
главная
|
Нестабильность коленного сустава |
 |
 |
 |
Прислано Leonid Pollyak 11 Август 2011, 20:47
из
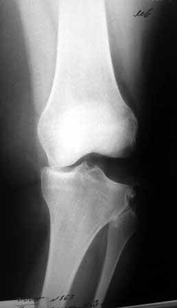
Сегодня на приеме была больная 27 лет, вес 120кг. Травма 7 лет назад - ДТП. Была ЧМТ, двухсторонний перелом пилона, обширные рваные раны бедер, голеней. Судя по нынешней картине - вывих левой голени.
Ходит практически не хромая, жалобы на неустойчивость голени при ходьбе. При стресс тестах - грубейшая несостоятельность связочного аппарата
коленного сустава. Хотелось бы услышать мнение о целесообразности пластического восстановления связок после столь длительного периода
нестабильности сустава.
С уважением,
Leonid m
Обратите внимание: Поля с жирными названиями обязательны.
Старайтесь отвечать в рамках обсуждаемой темы, а не начинать новые обсуждения.
Указывайте адекватную тему сообщения, чтобы было ясно, о чем оно.
Не послайте сообщений не по теме (оффтопик), раздраженных, грубых или обидных комментариев. Здесь это неуместно.
|