вверх
отправить
поиск
админ
главная
|
Импрессия мыщелка б/б кости |
 |
 |
 |
Отправлено Абдурашид 12 Август 2011, 23:25
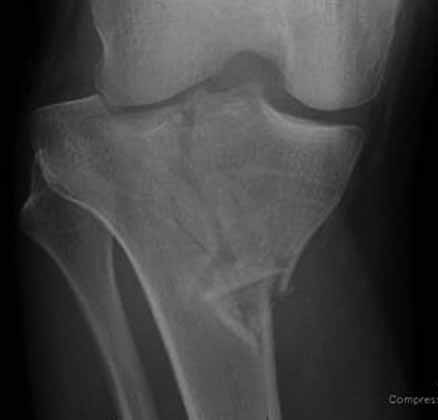
Здравствуйте уважаемые коллеги!Сегодня обратился больной 35л. Травму получил 3 мес.назад, упал в яму, лечился в отдаленном районе гипсовой повязкой, 1 месяц назад гипс сняли , и больной начал ходить с нагрузкой, постепенно появилась деформация коленного сустава, неустойчивость и боли. Локально: деформация коленного сустава, голень смещена кзади- типа подвывиха, разгибание 170гр. Сгибание 150гр.симптомов повреждение коллатеральных и крестообразных связок определить не удается из-за боли и контрактуры. Первичных снимков пока нет, обещали принести, имеется снимки через 2 месяца после травмы без гипса, недельной давности снимки в прямой проекции и К Т. Похоже, что импрессия переднемедиальной части внутреннего мыщелка б/берцовой кости, отрыв межмыщелкового возвышения.
Мы первым этапом –тепловые физпроцедуры, усиленная разработка движений в течении 2-3 недель до возможного восстановления; после повторный осмотр для решения дальнейшего лечения; возможно- поднятие мыщелка, дефект аутографтом , фиксация мыщелковой пластиной, а что делать с межмыщелковым возвышением и подвывихом- пока не знаю.
Уважаемые коллеги, поделитесь пожалуйста опытом лечения таких больных!
С уважением Абдурашид.
<
|
>
|
|
Ответить
|
Re: Импрессия мыщелка б/б кости
александр ерохин 14 Август 2011, 17:46
|
Оперировать нужно,наверно после разработки-проведение остеотомии большеберцовой кости.Да, Вы так же думаете.Я бы,1-ым этапом, провел санацию коленного сустава-возможно мешает поврежденный наружный мениск,это можно сделать и сразу,не ожидая восстановления объема движений,конечно лучше артроскопом.Дообследования о возможном характере внутрисуставных повреждений(УЗИ,ЯМРТ)я понимаю не проведено.Есть возможность?-Сделайте,проще будет планировать вмешательство.
Да,саму артротомию проще сделать аппаратом,поскольку сразу исправить вальгус и рекурвацию точно сложновато,а аппарат даст возможность коррекции и в послеоперационном периоде.
Удачи.
|
[
Ответить ]
|
Re: Импрессия мыщелка б/б кости
александр ерохин 14 Август 2011, 17:51
|
Варус,конечно исправить..
|
[
Ответить ]
|
Re: Импрессия мыщелка б/б кости
andrey 15 Август 2011, 20:37
|
А мне кажется, не все так оптимистично. Если будет нестабильность крестов после "разработки", то спасет эндопротезирование.
Не видел удачных исходов консервативного лечения преломов межмыщелкового возвышения и мыщелков с нврушением оси конечности. Все этапные операции только увеличат срок нетрудоспособности и прогрессирование контрактуры.
|
[
Ответить ]
|
Re: Импрессия мыщелка б/б кости
Doc 16 Август 2011, 16:14
|
Важно восстановить анатомию плато! Конечно артротомия. остеоклазия, репозиция, остеосинтез опорной пластиной (возможно с костной аутопластикой). По межмыщелковое советую не заморачиваться - контрактура все равно будет - на ее фоне вряд ли разовьется нестабильность.
|
[
Ответить ]
|
Re: Импрессия мыщелка б/б кости
Отправитель: Абдурашид 17 Август 2011, 00:54
|
Спасибо уважаемые коллеги!
Да, пока будем думать. Отправляю первичных снимков и фото ноги.
Копия Фото0608.jpg
15KB (15948 bytes)
|
[
Ответить ]
|
|
Re: Импрессия мыщелка б/б кости
Djoldas Kuldjanov 21 Август 2011, 22:09
|
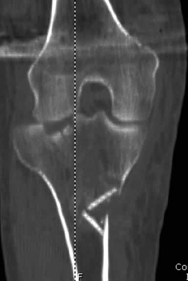
На снимке типичный перелом медиального тибиал плато с передним смещением (подвывих) по Schatzker IV. Консервативное лечение без медиальной опоры не может удержать деформирующие силы, и из-за вторичного смещения мыщелка конечность смещается в варус. Кроме передних смещений еще встречаются сложные фронтальные варианты переломов, и тогда голень подвывихивается кпереди.
Тактика лечения перелома Schatzker IV в остром периоде отличается от других типов переломов, потому что кроме перелома костей повреждаются связки сустава. Первостепенно необходимо лечить костную деформацию, а потом (при необходимости?) повреждение связок. Такая тактика считается лучшей, чем “провести санацию коленного сустава-возможно мешает поврежденный наружный мениск, это можно сделать и сразу, не ожидая восстановления объема движений, конечно лучше артроскопом”.
К сожелению многие упускают такую возможность и в молодом возрасте оставленный такой сустав быстро приводит к инвалидности. Об этом подробно в предидущих дискуссиях: http://weborto.net/forum/1292598289/1293647377/1293650173/
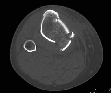
А в данном случае мыщелок сросся со смещением кпереди и ротирован. За счет интактной наружной колонны опороспособность конечности сохранена, но остается варус и экстензия конечности. Для предоперационного расчета необходимо сделать на всю длину конечности рентгенограмму, а в остром периоде КТ и 3-мерный снимок помогут лучше ориентироваться в характере перелома.
Остеотомия с разворотом медиального мыщелка, и для фиксации можно применить параллельные субхондральные межмыщелковые шурупы. Дополнительная медиальная Smith-Nephew PERI-LOC™ (Periarticular Locked Plating System) пластина. При отсутствии специальной пластины можно адаптировать Tomofix для высокой остеотомии. Доступ прямой медиальный через pes anserinus или через интервал pes с medial gastrocnemeus.
Djoldas Kuldjanov, M.D.
Associate Professor
Department of Orthopedic Surgery
St. Louis University
|
[
Ответить ]
|
Re: Импрессия мыщелка б/б кости
Отправитель: Абдурашид 22 Август 2011, 23:29
|
Джолдас, спасибо дорогой!
Да, мы так и будем стараться делать, конечно после разработки движений, и возможно придеться делать и костную пластику образовавшейся дефекта,
Еще раз спасибо всем коллегам!
С уважением Абдурашид.
|
[
Ответить ]
|
|
( Ответить )
|
|