вверх
отправить
поиск
админ
главная
|
Остаточные явления трансартикулярной фиксации голеностопного сустава при переломе лодыжек |
 |
 |
 |
Отправлено Бережной Сергей 02 Сентябрь 2011, 03:03
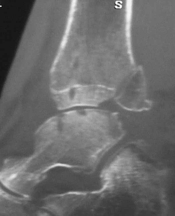
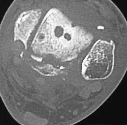
Уважаемые коллеги. Не так давно на форуме коротко обсуждались возможные последствия трансартикулярной фиксации голеностопного сустава при переломовывихах лодыжек.
На днях довелось увидеть КТ после удаления спиц. Картинки наглядные и, практически, не нуждаются в комментариях. Одна из спиц, кстати, проходила через фрагмент заднего края.
<
|
>
|
|
Ответить
|
Re: Остаточные явления трансартикулярной фиксации голеностопного сустава при переломе лодыжек
Alexander Chelnokov 03 Сентябрь 2011, 16:44
|
И что тут от спиц, а что - от толком нелеченного перелома?
|
[
Ответить ]
|
Re: Остаточные явления трансартикулярной фиксации голеностопного сустава при переломе лодыжек
Anton Bekhterev 03 Сентябрь 2011, 16:50
|
Некорректная подача информации. Кроме утверждения, что в костях остались дырки, ценности никакой. Давайте после накостного остеосинтеза КТ делать и охать?
Какие при такой рентгенологической картине (а где рентгенограммы кстати?) имеются функциональные нарушения. И какие из них связаны с наличием дырок, но какие с последствием перелома лодыжек? Какие жалобы предъявляет пациент при данных нарушениях функции? И, наконец, анамнез: диагностические и постоперационные рентгенограммы, послеоперационный период, реабилитация.
Спасибо.
|
[
Ответить ]
|
Re: Остаточные явления трансартикулярной фиксации голеностопного сустава при переломе лодыжек
Бережной Сргей 03 Сентябрь 2011, 20:05
|
Ошибку признаю, неточно обозначил цель сообщения. В дискуссии, которую я упомянул (к сожалению, не смог найти ее), речь шла именно о размере остающихся после трансартикулярной фиксации спицами дефектов суставных поверхностей. В каком то из сообщений даже просчитывалась их возможная площадь исходя из диаметра спиц. Поэтому мне показалось, что кому-то, возможно, будет интересно увидеть размер этих "дырок" воочию . Мне было интересно. Никакие другие вопросы по данному случаю выносить на обсуждение я не предполагал.
|
[
Ответить ]
|
Re: Остаточные явления трансартикулярной фиксации голеностопного сустава при переломе лодыжек
Djoldas Kuldjanov 04 Сентябрь 2011, 09:45
|
Картинки наглядные и, практически, не нуждаются в комментариях. Одна из спиц, кстати, проходила через фрагмент заднего края
Снимки являются доказательством важности защиты суставного хряща от грубой интервенции, и особенно от тех неудачных многочисленных попыток фиксации спицами, когда спицы оставляют на поверхности сустава непоправимые следы. Понятно, что повреждение целости хряща приводит к развитию хондролизиса, артрозу и т.д....
Но прежде, чем давать окончательную оценку, надо разобраться, почему была выбрана трансартикулярная фиксация. И применение транс-артикулярной фиксации можно оправдать, когда метод применяется временно ради спасения всего сустава, или когда ситуация не позволяет провести традиционную фиксацию. Тогда можно пойти на жертву, т.е. на повреждения небольшого участка хряща.
Понятно, огромные “дырки” в суставе не от хорошей жизни, хотя на самом деле “увеличенная картина” на КТ срезах может оказаться банальным проколом от 1,2 или 2 мм спиц. Большие неприятности, когда спицы находятся долго, и когда лизис вокруг спицы принимает большие размеры. А так - не стал бы драматизировать единичные спицы, установленные на короткое время, потому что такие “интервенции” сустава у большинства больных проходят без клинических проявлений.
А вот без надобности проведенные (через фрагменты заднего края) спицы - больше, чем технический брак, и часто такие ошибки, как назло, приводят к инфицированию всего сустава.
Djoldas Kuldjanov, MD
Department of Orthopedic Surgery
St. Louis University Medical Center
|
[
Ответить ]
|
Re: Остаточные явления трансартикулярной фиксации голеностопного сустава при переломе лодыжек
Аскар 04 Октябрь 2016, 22:12
|
Здраствуйте!!!Может когда делали трансартикулярную фиксацию стопы спицы были проведены несколько раз.
|
[
Ответить ]
|
( Ответить )
|
|