Ответить
|
Re: Вальгусная деформация локтевого сустава у ребенка
Lev Lapidus 03 Сентябрь 2011, 16:39
|
Уважаемый Вячеслав
Для того, чтобы Вам помочь нужны снимки в правильной передне-задней проекции и в боковой проекции. Если у ребенка полный объем движений, то не должно быть проблемы получить хороший снимок
Lev Lapidus M.D.
Senior Orthopaedic Surgeon
Pediatric Orthopaedic Unit
Assaf Harofe Medical Center
|
[
Ответить ]
|
Re: Вальгусная деформация локтевого сустава у ребенка
gayrat bayimbetov 04 Сентябрь 2011, 19:18
|
Уважаемый Вячеслав Васюков
У детей такая вальгусная деформация локтевого сустава нечасто, но встречается при застарелых вывихах головки лучевой кости (т.е. застарелых повреждениях Монтеджи!). Причины тому являются: невправленный вывих головки лучевой кости и остаточное угловое смещение локтевой,
кости которое со временем подвергалось самоисправлению. А вывих таки остается невправленным. Потеряв латеральный опорный комплекс, кости предплечья начали отклоняться кнаружи. Мы в нашей клинике Детской
травматологии НИИТО МЗ РУз провели операцию (Опер. проф. Ходжанов И.Ю.) с аналогичным диагнозом.
Если Вас интересует можем поделиться поподробнее с иллюстрациями до и после опер. ренгенограмм. Пиши сюда gaytrauma@rambler.ru
Мы ради Вам помочь!
|
[
Ответить ]
|
Re: Вальгусная деформация локтевого сустава у ребенка
Александр Ельцин 06 Сентябрь 2011, 02:45
|
Уважаемый Вячеслав, для верификации деформации костей, образующих локтевой сустав, обязательно надо сделать рентгенограммы в 2-х проекциях. Обратить внимание на правильность укладки при выполнении рентгенограммы в прямой проекции. А потом можно обсуждать диагноз. Обращаться, по моему мнению, за консультацией целесообразно в клиники, которые имеют опыт в лечении пациентов с такими деформациями, а не к коллегам, которые недавно "провели операцию с аналогичным диагнозом".
С уважением, А.Г. Ельцин.
|
[
Ответить ]
|
Re: Вальгусная деформация локтевого сустава у ребенка
Вячеслав Васюков 06 Сентябрь 2011, 12:18
|

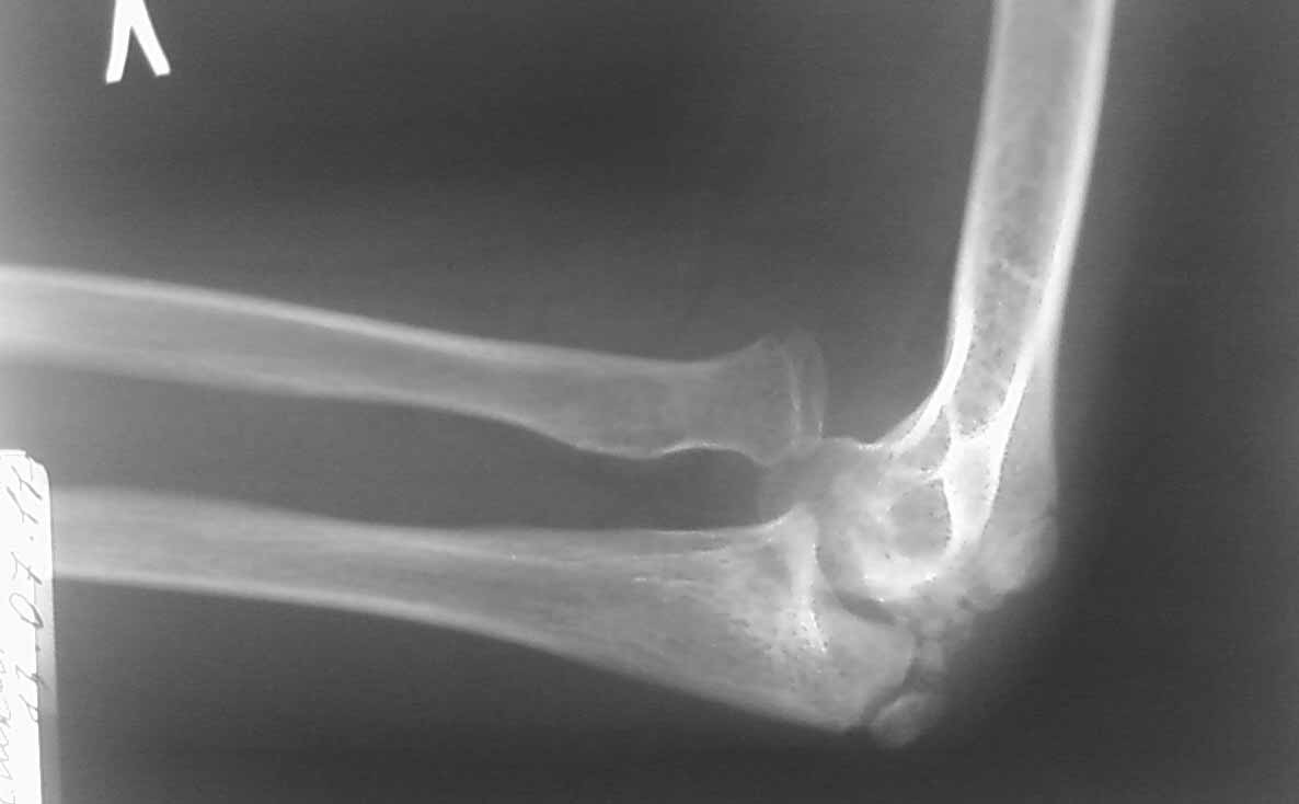
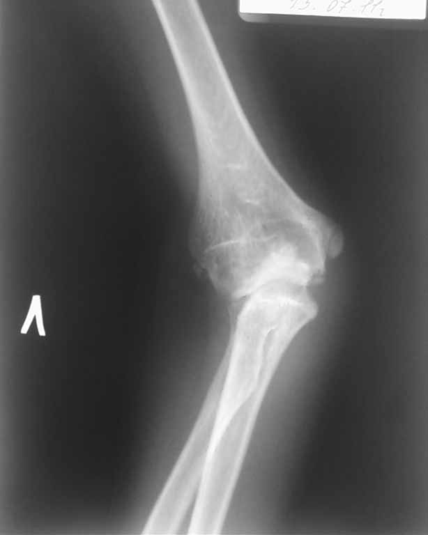
Снимок в боковой проекции не получилось сразу отправить.
|
[
Ответить ]
|
Re: Вальгусная деформация локтевого сустава у ребенка
Отправитель: Михаил 06 Сентябрь 2011, 23:52
|
Ответ собственно на все вопросы на боковой рентгенограмме: вывих лучевой кости. Либо перенесенный недиагносцированный-нелеченный Монтедж (повреждение Монтаджа: вывих лучевой кости с переломом локтевой кости). Более редкий вариант (скорее всего выявили бы раньше - врожденный вывих лучевой кости. Но честно говоря патология крайне редкая, да и не очень похоже.
Лечение оперативное: необходима обязательная попытка открытого вправления вывиха с пластикой кольцевидной связки. (резекция головки лучевой кости нецелесообразна в связи с возрастом 10 лет - лучевая кость должна расти и если вы резецируете головку - получите укорочение лучевой кости и вторичную лучевую косорукость).
Открытое вправление вывиха головки лучевой кости и пластику кольцевидной связки необходимо выполнять с обязательной остеотомией локтевой кости с формированием ее прогиба в противоположную от лучевой кости сторону. Если этого не сделать - велик риск рецидива. Остеосинтез после вправления и остеотомии: локтевую кость пластиной в корригированном положении. Вправленный вывих лучевой кости трансартикулярно спицей (1 или 2) через головочку мыщелка плечевой кости (как будто линию Смита провели). Иммобилизация 4 недели, затем удаление спиц, снимаем гипс, разработка сустава. Удаление пластины с локтевой кости где-то через 6 мес после операции (после консолидации линии остеотомии).
ИМХО :)
|
[
Ответить ]
|
|
Re: Вальгусная деформация локтевого сустава у ребенка
Михаил 07 Сентябрь 2011, 00:06
|
Присмотрелся к боковой рентгенограмме сейчас... А можно повторить снимки в более стандартных укладках? А то складывается ощущение полного вывиха костей предплечья... Или это шутка укладки... Все-таки 7 лет жить с вывихом в локтевом суставе как-то нонсенс... Или все совсем запущено и предыдущий пост отменяется.
Кстати я полностью согласен с Ельциным (пред пост).
|
[
Ответить ]
|
Re: Вальгусная деформация локтевого сустава у ребенка
gayrat bayimbetov 08 Сентябрь 2011, 04:45
|
Глубокоуважаемые коллеги, опять по поводу вальгусной деформации локтевого сустава.
Демонстрируем больного с «аналогичным диагнозом», которому проведена операция по поводу «Застарелого повреждения Брехта костей правого предплечья. Посттравматическая вальгусная деформация правого локтевого сустава. Разгибательная посттравматическая контрактура правого локтевого сустава».
Больного беспокоят боли при физической нагрузке, вальгусная деформация локтевого сустава и ограничение движения.
Клинически: отмечается вальгусная деформация локтевого сустава 32º, передневнутренний вывих головки лучевой кости. Разгибание 175º, сгибание 82º.
Из анамнеза - травму получил 5 лет тому назад, лечился в поликлинике по месту жительству в гипсовой повязке.
На рентгенограмме. Нарушение пропорциональности дистальных структур плечевой кости не отмечается. Объемная деформация головки лучевой кости не визуализируется, отмечается передневнутренний вывих головки лучевой кости. Отмечается нарушение сферичности локтевой вырезки, объемный дефицит суставной поверхности, который привел к объемному конфликту в плечелоктевом суставе, став причиной ограничения сгибания. Гипертрофия венечного отростка, увеличение ширины локтевого отростка в боковой проекции. Все эти изменения свидетельствуют о перенесенном переломе в области локтевого отростка.
Проведено оперативное вмешательство: Резекция головки правой лучевой кости. Корригирующая остеотомия проксимального конца правой локтевой кости.
Во время ревизии головки лучевой кости обнаружили объемную деформацию суставной ямки головки лучевой кости (суставная поверхность неровная, имеются углубления и выступы). При вправлении головки с такими объемными деформациями невозможно совершения движения в плечелучевом суставе. Кроме того, при попытке вправления головки лучевой кости оно не представляется возможным. Исходя из этого, резецировали головку лучевой кости.
Исходя из деформации в локтевом суставе, причиной которого не является деформация дистального конца правой плечевой кости (линия Маркса не нарушена (иллюстрирована красными линиями на рентгенограмме)). Мы подозревали неправильно сросшийся перелом проксимального отдела локтевой кости, при котором со временем произошло самоисправление. С целью устранение вальгусной деформации и для восстановления сферичности локтевой вырезки, устранения объемного конфликта в плечелоктевом суставе произвели двухплоскостную корригирующую остеотомию у основания венечного отростка локтевой кости и остеосинтез спицами.
Результат операции:
1. Устранена вальгусная деформация локтевого сустава
2. Восстановлено сгибание локтевого сустава 40°
Рентгенограммы больного в вложенных файлах.
Заранее благодарю.

И к вниманию коллег, не располагающих информацией о компетентности нашей клиники детской травматологии в области застарелых повреждений локтевого сустава. Клиника Детской травматологии НИИ ТО МЗ РУз более 30 лет тщательно занимается повреждениями локтевого сустава. В стенах клиники защищены десятки диссертаций, посвященных повреждениям локтевого сустава. В настоящее время идет две докторские диссертации по застарелым повреждениям локтевого сустава. За годы существования проведены более 1500 операции по поводу застарелых повреждений локтевого сустава.
gayrat bayimbetov.
|
[
Ответить ]
|
Re: Вальгусная деформация локтевого сустава у ребенка
Михаил 08 Сентябрь 2011, 19:22
|
Я совершенно не принижаю статус заведения и его опыт. Тут вопрос скорее в том, что консилиум через сеть - одно, какие бы советы мы не давали друг другу, и личный опыт клиник - другое.
Головку резецировали... жалко однако. А про возраст человечка с резецированной головкой луча я не заметил или нет информации? Что в катамнезе? Интересно...
|
[
Ответить ]
|
Re: Вальгусная деформация локтевого сустава у ребенка
Алибек 11 Сентябрь 2011, 10:43
|
Все движения в полном объёме,безболезненны. За три года асимметричного роста анатомия суставообразующих костных концов изменена и адаптирована к вальгусной деформации. Попытка восстановить нормальную анатомию в плечелучевом сочленении приведёт к дисконгруентности в плечелоктевом сочленении с вполне предсказуемыми последствиями и непредсказумым направленеим роста костей в последующие 4-5 лет.
Я бы сейчас не трогал,а сделал корригирующую внесуставную остеотомию плеча в 14-17 лет.
|
[
Ответить ]
|
Re: Вальгусная деформация локтевого сустава у ребенка
Отправитель: Вячеслав 27 Сентябрь 2011, 12:54
|
Алибек , я полностью разделяю вашу точку зрения , спасибо всем коллегам, принявших участие в обсуждении такой редкой патологии
|
[
Ответить ]
|
|
( Ответить )
|