Ответить
|
Re: Пилон
Бережной Сергей 10 Сентябрь 2011, 18:29
|
Есть ведь и перелом таранной кости? Не создаст ли он проблем с тенденцией к подвывиху? Нужно ли синтезировать таранную кость? Без КТ тут никак не обойтись.
|
[
Ответить ]
|
Re: Пилон
Андрей Мелёшкин 12 Сентябрь 2011, 12:27
|
КТ сделать не представляется возможным.
Списибо!
|
[
Ответить ]
|
Re: Пилон
Отправитель: Максим Королев 12 Сентябрь 2011, 22:19
|
Может не стоит изобретать велосипед, существует пластина, разработанная и изумительно подходящая под "пилон"-"мальтийский крест".
|
[
Ответить ]
|
|
Re: Пилон
Олег Лавриненко 12 Сентябрь 2011, 20:52
|
Хоть вас и "интересует погружной синтез", тут надо аппаратом...
Конечно, после нормальной рентгенографии (что с тараном?). Кстати, первый снимок у меня вообще не открылся только боковой. В зависимости от сост-я тарана и решите, оперировать ли таран открыто, или просто фиксировать в АВФ.
|
[
Ответить ]
|
Re: Пилон
Ostanin 13 Сентябрь 2011, 00:10
|
Остеосинтез практически подобного перелома представлен на сайте АО - там забугорные коллеги через передне-медиальный доступ сделали репозицию, передний край "собрали" на простейшей 1/3-трубчатой пластине, а все крупные отломки - с помощью медиальной мыщелковой пластины. Думаю, и то, и то есть в клинике?
Даже если перелом тарана и есть - продлите доступ, соберете винтами.
|
[
Ответить ]
|
Re: Пилон
Андрей Мелёшкин 14 Сентябрь 2011, 14:51
|

Отчет по "пилону":)))
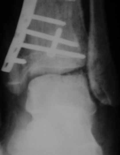
Извиняюсь пропал - оперировал "пилон". В форуме не хотел обсуждать финансовые возможности пациента. Потянул комбинированную пластину. Опыт общение с пластиной "крест" есть - не очень понравилось - слишком много места занимает, даже с учетом обрезаний лишнего. Сделал доступ огибающий медиальную лодыжку спереди. В переднем крае оказался достаточно крупный отломок - удалось зафиксировать винтом. Дефекта кости не оказалось.
Всем большое спасибо!!!
|
[
Ответить ]
|
Re: Пилон
Отправитель: Ostanin 14 Сентябрь 2011, 20:36
|
Так был ли перелом тарана?
ЗЫ - про "крест" - полностью согласен. Красиво только на картинках каталогов.
|
[
Ответить ]
|
Re: Пилон
Отправитель: Андрей Мелёшкин 15 Сентябрь 2011, 12:09
|
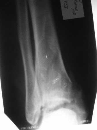
Здравствуйте! Покрутил на ЭОПе - похоже таран есть! - но трогать не стал - таран не оперируем - сил не хватает:):). Загипсовали.
Спасибо за подсказку!!!
С уважением А.М.
|
[
Ответить ]
|
Re: Пилон
Отправитель: Ушаков Сергей 27 Сентябрь 2011, 23:27
|
Какой таран? в одном сегменте повреждается одно или другое. Крайне редко обе части. Анатомическая репозиция безукоризненна,но для чего межфрагментарный винт при использовании LCP это очевидное нарушение методики. А по поводу Мальтийского креста, то это оличный незаменимый, в ряде случаев, фиксатор, но не для этого перелома, абсолютно!С Уваением! Сергей.
|
[
Ответить ]
|
|
( Ответить )
|