вверх
отправить
поиск
админ
главная
|
перелом бедра между пластинами |
 |
 |
 |
Отправлено Алексей Гринь 21 Сентябрь 2011, 22:16
Уважаемые коллеги, помогите пожалуйста с тактикой лечения. Больная 43 лет, подвернув правую ногу, получила простой (А2) перелом правого бедра в с\3, м\у установленными ранее пластинами. В течении 4 недель лечится методом скелетного вытяжения.В анамнезе: в июне 2011г. получила перелом наружного мыщелка правого бедра на фоне консолидированного в порочном варусном положении перелома вертельной зоны (со слов травма 5 лет назад - лечилась консервативно), сопровождающимся укорочением 5 см. В одну операционную сессию выполнен остеосинтез перелома мыщелка бедра Т-образной пластиной и с целью коррекции укорочения выполнена вальгизирующая межвертельная остеотомия с фиксацией клинковой пластиной.На наш взгляд, наиболее простым является накостный остеосинтез диафизарного перелома по передней поверхности бедра, но смущает необходимость образования в последующем дополнительного кожного рубца. Пожалуйста, может быть у Вас есть другие мнения. Зарание благодарен. С уважением А.Гринь. ОКБ №2 г.Тюмень.
<
|
>
|
|
Ответить
|
Re: перелом бедра м/у пластинами
Бережной Сергей 22 Сентябрь 2011, 15:46
|
А через боковой доступ поставить пластину на переднюю поверхность бедренной кости не получится? Соединить уже имеющиеся доступы, при необходимост винты ввести через дополнительные проколы на передней поверхности после укладки пластины. Если ничего, кроме кожного рубца, в фиксации еще одной пластиной не смущает, то это одно из возможных решений.
|
[
Ответить ]
|
Re: перелом бедра м/у пластинами
Ostanin 22 Сентябрь 2011, 20:37
|
А в зоне остеотомии - замедленное сращение? или здесь все таки сегментарный перелом?
Просится удаление всего и реконструктивный стержень.
|
[
Ответить ]
|
Re: перелом бедра м/у пластинами
Alexander Chelnokov 22 Сентябрь 2011, 23:25
|
смущает необходимость образования в последующем дополнительного кожного рубца.
Вообще-то кожный рубец - это ерунда. Тут есть куда более серьезные проблемы - в области межвертельной остеотомии и медиализирован диафиз зря, и сращение проблематично. Так что, наверно, можно воспользоваться подвернувшимся поводом, удалить пластинки, да синтзировать стержнем закрыто, улучшив положение в вертельной области (как - это отдельная проблема). Попутно рассеются опасения насчет дополнительного кожного рубца в середине бедра.
|
[
Ответить ]
|
Re: перелом бедра м/у пластинами
Алексей Гринь 23 Сентябрь 2011, 19:11
|
Уважаемые коллеги, спасибо за отзывчивость.
Серегей Юрьевич, Ваше предложение очень заманчиво, но согласитесь, при установке пластины на переднюю поверхность из бокового доступа имеются определееные трудности в ее фиксации, тем более что у нас только обачные диафизарные неблокируемые пластины.
Прекрасная мысль - заменить фиксаторы на штифт.
(как - это отдельная проблема).
Подскажите, дорогой Александр Николаевич.
|
[
Ответить ]
|
Re: перелом бедра м/у пластинами
Ангельский Александр 23 Сентябрь 2011, 21:27
|
М\У пластины - наверное слово между пластинами, зачем такие сокращения не понятно. Хотя боковых рентгенограмм нет, можно предполагать что мыщелки бедра с июня вероятно в стадии активноой консолидации. В связи с чем в большей мере согласен с Челноковым А.Н. и удалил бы старые фиксаторы перейдя к блокироанному бедренному гвоздю с дистальной полиаксиальной фиксацией. Если есть какие-нибудь осложняющие моменты то аппарат Илизарова более выгоден пациенту, чем третья пластина.
|
[
Ответить ]
|
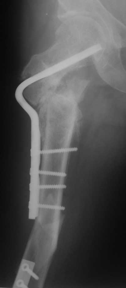
Re: перелом бедра между пластинами
Djoldas Kuldjanov 24 Сентябрь 2011, 10:13
|
На снимке положение клинка идеальное, но шейка в ротации. Из-за неправильного расчета остеотомии не удалось латерализовать диафиз, и конечность находится в чрезмерном вальгусе. При укорочении с вальгусом увеличивает стресс в зоне между пластинами, и конструкция не выдерживает, и при малой травме может осложниться стрессовым переломом.
Для предупреждения чрезмерного вальгуса во время операции сразу ниже клинка снаружи выше линии остеотомии укладывается костный фрагмент, взятый из остеотомии, который переводит диафиз из медиального положения латерально.
При правильной установке клинковая пластина без потери стабильности выдерживает вес пациента. Но здесь получился порочный круг, перелом мыщелка не позволяет нагружать, а без компрессии в зоне остеотомии нельзя добиться сращения. Пластина в данном случае работает как обычный нейтрализатор, хотя должна работать в динамическом режиме. Погоня за двумя зайцами не всегда верный способ, и можно было бы подождать с реконструкцией!
В 120 градусной или в любой реконструкционной клинковой пластине главным является проксимальный, т.е. ближайший к остеотомии винт. Чем ниже остеотомии находится винт, тем больше увеличивается момент рычага, что может привести к несостоятельности (поломке) конструкции. Для вальгусной остеотомии достаточной бывает пластина с двумя отверстиями, но при этом варианте, возможно, длинная пластина пригодится?
Расположение клинка и степень сращения в зоне остеотомии трудно увидеть по одной проекции, и поэтому желательно дополнить исследования КТ и боковыми рентген снимками.
Из возможных операций: я бы предложил провести ретроградную фиксацию бедра после удаления дистальной пластины. При отсутствии полного сращения перелома можно установить пару шурупов спереди и сзади гвоздя, или можно оставить укороченный вариант пластины.
Гвоздь подвести под вертел, и оставить проксимальный винт, а остальные шурупы могут быть через один кортекс. Идеально установить "стоппер", который укоротит клинок и латерализует диафиз. Создаст компрессию!
Из бокового "субвастусного" доступа можно уложить пластину спереди, но тогда надо подождать с нагрузкой. Провокационный антеградный вариант технически сложен, но тогда теряется преимущества сколжения клинка в шейке, и потом клинок не разрушает, как остальные дивайсы, костную структуру в головке.

Здесь снимки из прошлых выступлений и план.....
|
[
Ответить ]
|
( Ответить )
|
|