ВХОД ДЛЯ ПАЦИЕНТОВ
вверх
поиск
админ
главная
исходное
|
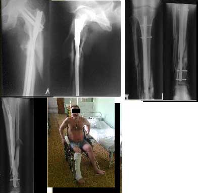
Re: Перелом бедра и голени
послал Сергей 09 Октябрь 2011, 21:00
|

30/09/2011 синтез левого бедра PFN длинный на ортопедическом столе взакрытую.
5.10.2011 синтез правой голени стержнем Деост, в закрытую с применением дистрактора и остеотомией малоберцовой кости. Снимки в приложении. Пациент активизирован, начал передвигаться на коляске, сегодня встал с костылями.
|
| Послать ответ |
Обратите внимание: Поля с жирными названиями обязательны.
Старайтесь отвечать в рамках обсуждаемой темы, а не начинать новые обсуждения.
Указывайте адекватную тему сообщения, чтобы было ясно, о чем оно.
Не послайте сообщений не по теме (оффтопик), раздраженных, грубых или обидных комментариев. Здесь это неуместно.
|