ВХОД ДЛЯ ПАЦИЕНТОВ
вверх
поиск
админ
главная
исходное
|
Re: остеотомии таза при дисплазиях т\б сустава.
послал Глазков Константин 27 Сентябрь 2011, 14:42
|

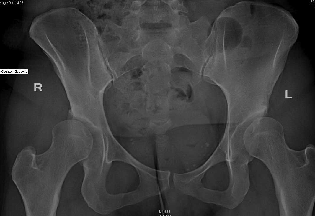
Пациентке 31 год. Р-гр прилагаю. Житель ЕС. консультировалась в Германии,Франции и Италии. могут выполнить протезирование но советуют поискать специалистов, занимающихся остеотомиями таза.
|
| Послать ответ |
Обратите внимание: Поля с жирными названиями обязательны.
Старайтесь отвечать в рамках обсуждаемой темы, а не начинать новые обсуждения.
Указывайте адекватную тему сообщения, чтобы было ясно, о чем оно.
Не послайте сообщений не по теме (оффтопик), раздраженных, грубых или обидных комментариев. Здесь это неуместно.
|