Ответить
|
Re: Комбинированный синтез перелома голени
Андрей Волна 29 Сентябрь 2011, 18:07
|
Говно
|
[
Ответить ]
|
Re: Комбинированный синтез перелома голени
Отправитель: Антон 29 Сентябрь 2011, 22:28
|
А что не говно - использование только имплантов фирмы "Синтез"?
|
[
Ответить ]
|
Re: Комбинированный синтез перелома голени
Отправитель: Бережной Сергей 29 Сентябрь 2011, 22:45
|
Про Прагу как то литературнее получилось. Хотя и там перебор был.
|
[
Ответить ]
|
|
Re: Комбинированный синтез перелома голени
Максим Королев 29 Сентябрь 2011, 19:47
|
Скажите пожалуйста что навело на такой синтез? Выбрали не самый лучший способ фиксации-штифт и пластина? 2 противоположных методики.
|
[
Ответить ]
|
Re: Комбинированный синтез перелома голени
Отправитель: Владимир 29 Сентябрь 2011, 21:56
|
Такой выбор обусловлен "плохим" состоянием мягких тканей в нижней трети голени. К тому же пациент гиперстеник и открытая методика нами сочлась не совсем удобной.
|
[
Ответить ]
|
|
Re: Комбинированный синтез перелома голени
Дмитрий Бондарь 29 Сентябрь 2011, 22:37
|
Уважаемый коллега! а зачем ДВЕ конструкции? У Вас железо бесплатное? Вполне можно было бы обойтись чем то одним.
С уважением Д.Б.
|
[
Ответить ]
|
Re: Комбинированный синтез перелома голени
Отправитель: Владимир 29 Сентябрь 2011, 22:44
|
Чем одним??? Использование штифта не решит проблемы - перелом затрагивает мыщелки и проходит еще на уровне бугристости. Использование пластины на длинной ножке даже при подкожном введении предполагает высокую травматичность на фоне сохраняющегося отека. А так - 3 см разрез для штифта и 10 - для пластины.
|
[
Ответить ]
|
Re: Комбинированный синтез перелома голени
Отправитель: Дмитрий Бондарь 29 Сентябрь 2011, 23:55
|
ну пластину можно под мягкими тканями провести,из небольшого разреза не сильно травматично, можно и 5-6 см разрезом выполнить. А отёк, который Вас насторожил, откуда? не компартмент?
Д.Б.
|
[
Ответить ]
|
|
Re: Комбинированный синтез перелома голени
Alexander Chelnokov 29 Сентябрь 2011, 22:52
|
Способ фиксации сам по себе - вполне приемлемый. Однако фиксации должна предшествовать репозиция.
Боюсь, задача восстановления формы суставной поверхности tibia осталась нерешенной.
|
[
Ответить ]
|
Re: Комбинированный синтез перелома голени
Отправитель: Владимир 29 Сентябрь 2011, 23:04
|
Имелась центральная компрессия. Проводилась артротомия - суставная линия полностью восстановлена. Произведу контрольные рентгенограммы для доказательства.
|
[
Ответить ]
|
Re: Комбинированный синтез перелома голени
Отправитель: Alexander Chelnokov 30 Сентябрь 2011, 01:42
|
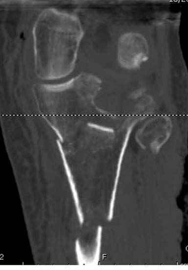
Спасибо заранее, с интересом посмотрим. Хорошо бы КТ сделать.
|
[
Ответить ]
|
|
Re: Комбинированный синтез перелома голени
Максим Королев 30 Сентябрь 2011, 01:30
|
Владимир! С Ваших слов ткани"плохие" в нижней трети, а перелом намного "выше", тем более блокировать штифт в нижней трети.И по поводу травматичности -у Вас получилось поболее ее. В принципе Вы достигли результата-"собрали перелом". Я бы сделал-1 опорной пластиной. Если была импрессия плата чем замещали дефект? Просто на снимке не видно.
|
[
Ответить ]
|
Re: Комбинированный синтез перелома голени
Отправитель: Владимир 30 Сентябрь 2011, 10:45
|
Максим!
Не пойму чем мой метод травматичнее подкожной пластины?! При использовании одной пластины(хотя пришлось бы еще одну пластину с внутренней стороны положить)разрез в верхней трети был бы таким же, а для подкожного проведения пришлось бы делать дополнительные небольшие разрезы для контроля положения импланта по отношению к кости. К тому же, внутрикостно расположенный имплант наиболее защищен.
Про противоположность методик(штифт+пластина) - неординарный перелом. поэтому решили скомбинировать. Получилось вполне стабильно.
Имеющаяся импрессия не потребовала пластики - достаточным оказалось поднять отломок.
Спасибо за обращение.
|
[
Ответить ]
|
|
Re: Комбинированный синтез перелома голени
Сергей 30 Сентябрь 2011, 12:12
|
Здравствуйте. Что Вы хотели услышать? Вы ждали мнений, а получается, что отбиваетесь от них и оправдываетесь.
|
[
Ответить ]
|
Re: Комбинированный синтез перелома голени
Отправитель: Владимир 30 Сентябрь 2011, 13:30
|
Зачем мне оправдываться-я же не преступник. Диалогом называется...
|
[
Ответить ]
|
|
Re: Комбинированный синтез перелома голени
Станислав Дмитриев 30 Сентябрь 2011, 20:52
|
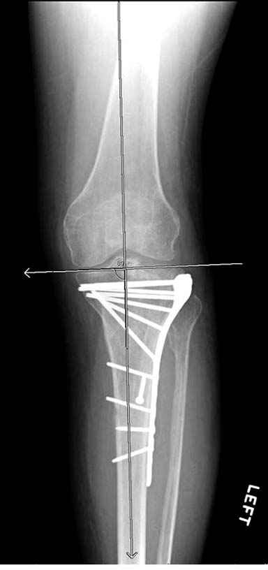
А нет ощущения, что плато "завалено" на варус?
293.jpg
21KB (22230 bytes)
|
[
Ответить ]
|
Re: Комбинированный синтез перелома голени
Отправитель: Владимир 30 Сентябрь 2011, 22:31
|
Только вот линией вы вальгус показываете (норма)
|
[
Ответить ]
|
Re: Комбинированный синтез перелома голени
Отправитель: Станислав Дмитриев 01 Октябрь 2011, 12:57
|
Коллега, а нет ли снимков здоровой ноги, чтобы сравнить оси, если уж наши мнения разошлись?
Конечно, при таком повреждении всегда сложно выставить ось голени, знаю по собственному опыту, но все же?
|
[
Ответить ]
|
|
Re: Комбинированный синтез перелома голени
Др.Бахтамян из Ервана 30 Сентябрь 2011, 23:51
|
Коллеги,коллеги!!!!!!
Что вы накинулись на автора????
Владимир, превосходная работа !!!
А слово "говно" уже в медицинском лексиконе,Андрей Волна ?
Не гонитесь слишком за мелким вальгус-варусом, время покажет. Плюс, через год, полтора, когда встанет вопрос об удалении конструкций, при необходимости сделайте артроскопию с debridment-ом и парциальной синовэктомией...
Удачи, Владимир!
|
[
Ответить ]
|
Re: Комбинированный синтез перелома голени
Отправитель: Максим Королев 01 Октябрь 2011, 15:57
|
Доктор! А зачем парциальная синовэктомия через год?
|
[
Ответить ]
|
Re: Комбинированный синтез перелома голени
Отправитель: Др.Бахтамян из Еревана 01 Октябрь 2011, 16:56
|
Перелом-то внутрисуставной, даже идеальная репозиция не исключает развития синовиита после повреждения суставного хряща. Естественно, это не обязательно бывает во всех случаях.
Так что если синовиит все-таки разовьется, то при удалении констукции- желательна артроскопическая синовэктомия
|
[
Ответить ]
|
|
Re: Комбинированный синтез перелома голени
Volodymyr Kovalchuk 01 Октябрь 2011, 02:04
|
Для адекватной оценки необходимо предоставить хотя бы по две проекции до и после синтеза. Снимки после синтеза - с захватом всей длины сегмента т.к. использовался гвоздь. По предоставленной одной некачественной проекции сказать можно только сказать что и решение, и результат спорные.
|
[
Ответить ]
|
Re: Комбинированный синтез перелома голени
Djoldas Kuldjanov 01 Октябрь 2011, 15:04
|
Решили выполнить остеосинтез штифтом и внутрисуставного перелома пластиной и винтами. Жду мнения! Зачем мне оправдываться-я же не преступник. Диалогом называется...
В этом диалоге коллеги едины во мнении, и большинством голосов не одобряют проведенную фиксацию.
Отдельные переломы тибиал плато и перелом проксимальной трети большеберцовой кости отличаются от переломов тибиал плато с вовлечением диафиза. Здесь перелом тибиал плато типа Schatzker VI, полученный в результате высокоэнергетической травмы. Перелом метафиза образовал отрыв суставной поверхности от диафиза с вовлечением медиального и латерального мыщелков. Двухмыщелковые переломы из-за укрочения опасны развитием компартаментального синдрома, повреждением латерального мениска и связок.
Одна из проблем фиксации тибиал плато - это предупреждение мягкотканых осложнений, и это достигается проведением поэтапной фиксации. Такая тактика - первым этапом дистракция любым наружным фиксатором, а затем по готовности кожных покровов и после спадения отека операция. Операция в ранние сроки и без адекватной готовности кожных покровов лимитирует ваши действия опасностью осложнении, но без адекватного доступа фиксация получается ущербная. Для предупреждения осложнений лучше подождать и в зависимости от серьезности травмы можно ожидать иногда от 1 до 2 недель.
При переломах одного из мыщелков тибиал плато+дополнительный перелом проксимальной трети большеберцовой кости можно применить комбинированный вариант фиксации, т.е. мыщелок винтами или пластиной, а для диафиза можно установить гвоздь. В данном варианте потеряно преимущество гвоздя , из-за серьезной травмы суставной поверхности нельзя нагружать ногу несколько месяцев. А без нагрузки гвоздь просто заполнитель пространства внутри кости!
На вашем место я бы подождал с фиксацией до готовности кожных покровов, и за это время можно было подобрать соответствующий фиксатор, т.е более длинная пластина снаружи и медиальная пластина на апексе перелома как подпорка. Здесь приемлем как раз минимальный доступ.
Имеющаяся импрессия не потребовала пластики - достаточным оказалось поднять отломок
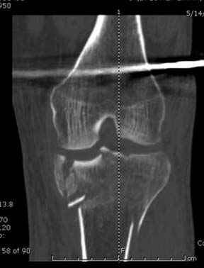
Если там действительная импрессия, пустое место без структуральных заполнителей, кость или синтетические материалы, не восстановится, а образуется коллапс, и ось конечности поведет после нагрузки. Кроме того там возможно "болт стяжка"?, в медиальной стороне выступает за кортекс, можно было укоротить! Потом создается впечатление, что не соответствуют мыщелки большеберцовой и бедренной костей? Покажите снимок.
Ваша упорство с минимальными данными защищаться забавляет, и пока не все убедились в Вашей правоте. Для нормальной защиты необходимы аргументированные доказательства исследованиями. КТ сканы и прицельно сделанные снимки коленного сустава, а так все аргументы - не более чем "моя фиксация, мне нравится". Без этих доказательств пока только Ваше упорство.....
Участники Ортофорума являются независимыми экспертами, и все понимают трудности лечения сложных переломов тибиал плато. Они выражают свои точки зрения и не надо позиционироваться "против всех".

Здесь пару случаев для сравнения,...в первых 1-4 слайдах метод фиксации одним фиксатором, как видно после 8 месяцев сохранилась ось. С 5 по 9 вариант двумя пластинами...
Djoldas Kuldjanov, M.D.
Associate Professor
Department of Orthopedic Surgery
St. Louis University
|
[
Ответить ]
|
Re: Комбинированный синтез перелома голени
Отправитель: Владимир 01 Октябрь 2011, 15:41
|
Спасибо за обоснованное мнение.
Постараюсь произвести качественные снимки и показать. Думал по поводу КТ, но у нас с этим большая организационная проблема.
Кстати, оперировал на 9 сутки после травмы.
Ни в одном ответе не позиционировался "против всех".
Просто иногда удивляешься "грубости", казалось бы, образованных людей.
|
[
Ответить ]
|
Re: Комбинированный синтез перелома голени
Отправитель: дамир 01 Октябрь 2011, 20:05
|
Не совсем корректный пример на снимках, на первых вовлечен диафиз, на ваших только проксимоальный метаэпифиз. Есть ли у вас примеры таких переломов, как у Владимира. С уважением. Дамир
|
[
Ответить ]
|
|
Re: Комбинированный синтез перелома голени
Андрей Волна 01 Октябрь 2011, 22:47
|
Суббота, суббота! Море, как обманчиво кажется каждым утром выходного дня, свободного времени впереди и можно попытаться объяснить, какой смысл заключается в моём на бегу брошенном мнении, для краткости сформулированном ёмко и однозначно: «говно». Так вот, никакого такого иного, тайного, облегчённого и скрытого смысла в этом жизнеутверждающем и более широком, нежели любой из медицинских терминов слове нет и быть не может. Более того, определённый опыт (если хотите, профессиональная интуиция) подсказывает мне, что если Владимир представит и обязательную вторую, обязательную, и качественную и длинную достаточно рентгенограмму, это не изменит вышеприведённой характеристики. Если не наоборот. Я уже не говорю о КТ. Ибо хорошо упакованные продукты жизнедеятельности ими же и остаются. Качественный состав не меняется. При этом это ни в коей не относится к Вам лично, Владимир. Так я позволил себе охарактеризовать вывешенный Вами результат хирургии в ответ, подчеркну, на Ваш же запрос. Естественно то, к сожалению, подчеркну, естественно, что каждый из нас продуцирует не только блестящие результаты. И чем больше работаешь, тем критичнее к своим случаям стараешься относиться. Ну, хотелось бы, во всяком случае, думать, что это именно так. Но, в нашем случае мы имеем дело не со случайностью и технической помаркой. В данном случае мы имеем дело с ПРОГРАММИРОВАНИЕМ не блестящего результата. И не в комбинации имплантатов дело. Я совершенно не противник комбинирования и сам не часто, но использую это. Приходится, так как и архитектоника перелома иногда заставляет, и экономика может диктовать. Конечно, с моей точки зрения 41С3.3. (или Шацкер 6) не лучшая платформа для такого комбинирования, но, подчеркну, не в этом дело. Или не только в этом. В другом. В Вашей оценке ситуации до операции и в предоперационном планировании, прежде всего. Говорят: „failing to plan means planning to fail“. На русском не так чётко и чуть длиннее, но суть остаётся той же: «Провальный предоперационный план есть не что иное, как планирование хирургического провала». Мне не хочется анализировать каждый из введённых Вами винтов (болтов-стяжек?, что и куда там торчит…), хотя КАЖДЫЙ из этих имплантатов должен нести смысловую нагрузку. Давайте попробуем разобраться, как дОлжно делать, ну а выводы, как всегда, каждый делает сам.
И так, высокоэнергетическая травма – это, прежде всего, тяжёлое повреждение мягких тканей со сломанной костью внутри. Относится ли данное утверждение к переломам плато? И да, и нет. Значительная часть наших пациентов с переломами плато – это люди пожилого и старческого возраста с низкоэнергетической травмой. Как правило, это низкоэнергетические повреждения с отсутствием контузии, фликтен, то есть хорошим состоянием мягких тканей, где в результате перелома нарушена, прежде всего, механическая ось конечности. Мягкие ткани позволяют оперировать нам такие переломы в ранние сроки. Но, главная проблема, с которой мы сталкиваемся здесь – это проблема фиксации порозной кости. Вот здесь и уместны блокируемые имплантаты (благо, в отличие от нашей работы 10-15 лет назад, сейчас и продукта данного, и производителей на рынке предостаточно в разном ценовом диапазоне). Имплантаты прежних генераций здесь используются с трудом, нужно хорошо знать классическую технику, пользоваться пластикой, не забывать о том, что банальный костный цемент может быть реальной «палочкой-выручалочкой». Но, в нашем случае – другая история. Это высокоэнергетическая травма. И здесь как раз сломанная кость внутри повреждённых мягких тканей. Здесь как раз и доступы, и время, подходящее для операции, и технологии – всё сплетается в один клубок, распутать который нам и помогает нормальный предоперационный план. И так, в случае высокоэнергетического перелома тибиального плато мы сталкиваемся с тяжёлым повреждением мягких тканей, контузиями, фликтенами, риском развития компартмент-синдрома, зачастую переломы носят открытый характер и в своих крайних составляющих сопровождаются повреждением и сосудов, и нервов. Поэтому вначале мы лечим мягкие ткани – то бишь создаём комфортные условия для них. Это может быть шинирующий наружный фиксатор, это может быть и более многими любимый аппарат Илизарова. Условие одно – избегать гипердистракции, это плохо для мягких тканей и даже может способствовать развитию компартмент-синдрома. Мягким тканям должно быть «уютно» в этот непростой для всей конечности период и беспокоить их лишний раз в это тяжёлое время не нужно. Иногда – а это зависит от структуры перелома, стабильности отломков и тяжести повреждения мягких тканей даже хорошо смягчённая, в положении лёгкого сгибания в коленном суставе, очень свободная внешняя повязка сгодится – полимерная или даже гипсовая. Иногда – только дисциплинирующее лёгкое скелетное вытяжение. Главное, если нет компартмента – не трогай! Ждём. И стараемся оперировать в оптимальные сроки, диапазон которых здесь достаточно широк – от 5-6 до 21-23 дней с момента травмы. Морщинки на коже лучше всего подскажут нам это время. Однако, время впустую не теряем – мы обследуем больного и, не побоюсь этого слова, думаем даже, и обсуждаем с нашей бригадой пре-план. Что нам нужно из обследования? КТ – идеально. Однако, что скрывается за утверждением: «КТ – золотой стандарт в обследовании всех пациентов с внутрисуставными переломами»? Ведь то, что перелом, в основном, виден и на банальной рентгенограмме – аксиома. Так вот КТ нам нужна, прежде всего, для адекватного пре-планирования. Для того, что бы решить, какой доступ использовать, что и как репонировать, где и какой имплантат разместить. Срезы – фронтальные, сагиттальные, но, прежде всего, поперечные срезы плато важны. Я приложил файл с фрагментом моей лекции “Approaches to the Proximal Tibia”, что я делал для мастер-курса в Давосе в том году. Прошу прощения за самоцитирование, но что-то уникальное сейчас не представляется возможным подготовить. Так вот, там, где-то ближе к началу, слайд с подробным объяснением того, что мы ищем и как мы можем использовать поперечный срез. Какой фрагмент остался интактным и стабильным, то есть к чему мы всё будем привязывать, где импрегнированная часть кости и нужна ли будет пластика, где идут линии перелома и как нам правильно рассчитать доступ (ы), что бы они прошли как раз над линией перелома аккурат для «открытия данной книги». Ведь одних только доступов для тибиального плато не менее десятка и значительную часть из них, за исключением разве что артроскопического в той или иной комбинации можно использовать в данном случае. Такое планирование делает возможным миниинвазивную хирургию даже при суставных переломах. Естественно, если понимать под миниинвазивностью не только и не столько размер мягкотканого окна, а тот дополнительный вред, который наши манипуляции даже через маленький разрез могут нанести мягким тканям и кости. Именно такое изучение КТ даёт нам представление и о том, - сколько, каких имплантатов и как использовать при каждом конкретном переломе. Нет КТ? Дело хуже. Но трагедии так же нет, ведь и там где она есть, что-то непрерывно ломается, дозаказывается, ожидается и так далее. В этом случае выручают косые рентгенограммы. Под какими углами и сколько – вам решать. Финально, изучая все классические и косые срезы, мы должны сформировать ясную мысленную 3Д картину перелома. Это и поможет нам в выборе имплантатов и их расположения, в том, нужна ли будет пластика, или нет. Конечно, Вы, Владимир, правы, в последнее время наблюдается определённая тенденция менее частого, что ли, использования пластики при внутрисуставных переломах. Связано это с массовым применением пластин новых образцов от разных производителей, но с одной идеологией. Практически полностью отказались от использования пластики при переломах проксимального плеча и дистального луча. Многие не делают этого при переломах пятки (я - делаю). Но вот при импрессии части плато… Ведь пластика – это не заполнение «дырки», это профилактика вторичного смещения столь нагружаемого участка сустава. Если вы можете применить «рафтинг» тонкими блокированными винтами, это ещё может быть оправданным, хотя, повторюсь, я не рискую. Но без него???
Поэтому и пластина может быть уместной, и две пластины, и комбинация, использованная Вами, Владимир, может применяться тогда, когда мы чётко понимаем и решаем следующие задачи: декомпрессия и защита мягких тканей от дополнительного хирургического повреждения; анатомическая реконструкция сустава с профилактикой вторичного смещения суставной поверхности; восстановление оси конечности и, конечно, же – всё это в угоду ранней функции! Тогда и синовэктомию не придётся делать, нет этого в протоколе адекватного лечения подобных повреждений. Я думаю, что примерно такую дооперационную последовательность размышлений проделывают все оперирующие плато (да и не только плато) хирурги, в том числе и Джолдас, вновь порадовавший нас своим визитом.
Я думаю, что если с новыми, услышанными, например, от экспертов форума, оценками и размышлениями Вы вернётесь к изучению представленной Вами рентгенограммы, то увидите, что вы не восстановили ни плато, ни правильные осевые взаимоотношения. Вы оперировали на отёке, не в оптимальное время. Используя болты-стяжки, вы устроили то, что зачастую называют «костный сэндвич», такое сдавление кости много-много хуже для биологии, чем аккуратно введённая малоинвазивная вторая небольшая пластина с медиальной стороны. К тому же, и это чрезвычайно важно – ни пластина, ни заглублённый гвоздь не предотвращают здесь возможности развития вторичного варусного коллапса плато. А в условиях недостаточности опоры для медиальной суставной поверхности и латерально – ввиду отказа от пластики и отсутствия «рафтинга», слишком уж много «критических точек» нужно пройти данному пациенту. Я не знаю, куда это смотрят концы болтов стяжек? Или это гайки лежат внутрикостно? И прочая, прочая, прочая, что уже, впрочем, отмечено экспертами форума.
И если есть Вас с чем поздравить, Владимир, так это не с «превосходной работой», работа-то получилась говённая, а с тем, сколь решительно Вы выставили кейс для обсуждения. Это значит, что есть и желание оценивать свои результаты, и двигаться вперёд. Впрочем, это необходимо каждому из нас, если, конечно не считать критерием то, что можно пренебречь варусом или вальгусом и «время покажет». У Вас, Владимир, более высокие стандарты. Ваша, повторюсь, решительность, умение и желание рассуждать убеждают меня в этом. Ну а случаи, случаи могут быть разными – это хирургия, в конце концов. Но если понимание перелома есть, это уже половина дела. Помним – «Провальный предоперационный план есть не что иное, как планирование хирургического провала». Ну а имплантаты? Да, для многих, верю, однако, что не для участников данного форума ввинчивание железки от конкретного производителя – это и есть цель и смысл хирургии. Нет, нет и ещё раз нет. Мой старый друг и ментор – Томас Руди, аккурат под эту дискуссию прислал мне пару случаев, как раз и характеризующих данный постулат. Случаи от 1958 и 1959 годов, причём один из них с более чем 40летним отдалённым результатом. Те хирурги, правда, великие хирурги, технически гораздо слабее нас с Вами, Владимир, были вооружены. А какая хирургия! А вывод там – на последнем слайде.
 Презентация (PDF, 3,14Mb)
С уважением, Андрей
PS Владимир, мой совет: не вывешивайте здесь боковую рентгенограмму, а тем более КТ. Сами изучите всё внимательно. И уверен, скоро Вы нам представите иной, совсем счастливый кейс.
|
[
Ответить ]
|
Re: Комбинированный синтез перелома голени
Отправитель: VlaD 02 Октябрь 2011, 01:27
|
Какие завораживающие, ласкающие слух слова «мастер-курс в Давосе» и «Мой старый друг и ментор – Томас Руди» и как они контрастируют со словом, сказанным в первом посте. Увы, мы не в Давосе.
|
[
Ответить ]
|
Re: Комбинированный синтез перелома голени
Отправитель: Alexander Chelnokov 02 Октябрь 2011, 18:49
|
Андрей, спасибо за немалый труд по подготовке этой очень нужной лекции. Такого уровня лекции, увы, в мединститутах и на курсах усовершенствования вряд ли где можно в xUSSR услышать.
Замечательная у нас страна контрастов - и такие операции есть, и такие лекции.
|
[
Ответить ]
|
|
Re: Комбинированный синтез перелома голени
Volodymyr Kovalchuk 02 Октябрь 2011, 15:25
|
Согласен с постами докторов Кульджанова и Волны. В данном случае мы не отмечаем признаков тщательного предоперационного планирования, что сказалось на характере принятого решения и его результате. В нашей клинике, мы бы использовали длинную блокированную пластину по латеральной поверхности, через проксимальное окно отрепонировали бы суставную поверхность, через дистальное фиксация 3-4 винтами в с/3 б/берцовой кости. По медиальной поверхности в качестве поддержки - 1/3 трубчастая или реконструктивная пластина. С большой долей вероятности использовали бы костную аутопластику.
(оффтоп: перед каждым сложным случаем вспоминаю приведенные выше слова про предоперационное планирование, услышаланные впервые от Дж.Хьюза. Это важный агрумент сделать еще пару проекций или КТ. И часто картина меняется)
|
[
Ответить ]
|
Re: Комбинированный синтез перелома голени
Исмаил Дибиров 02 Октябрь 2011, 22:31
|
Продолжая тему: ну не удалось сделать из "Г" конфетку! Разговоры про Давос в субботу за чашкой чая приятны, но мало продуктивны для основной территории нашей "любимой и необъятной"! Когда в больнице считают количество пленки, купленной по самой низкой цене, потому и "г" по качеству, когда много снимков или мало решают рентгенлаборантки и через зав. рентгенотделением докладывают "главному о перерасходе средств( хорошо не тридцатые годы)", когда 2 проекции уже много, а косые - "что еще придумали"!? Хорошо, давайте закроем ТАКИЕ отделения в ТАКИХ больницах( коих по России большинство). А БОЛЬНЫХ ТО КУДА ДЕВАТЬ!? Готовы Вы ли лечить их всех "по Давоски"?! ДА НЕ НАБЕРУТ ОНИ СТОЛЬКО ДЕНЕГ! Поэтому при всем искреннем уважении к Вам-ЭТО КРАСИВЫЕ СЛОВА! БЛУД! В основном наши отделения по обеспечению и снабжению УБОГИ! Мы и привыкли лепить из "Г"! Не всегда получается! И ЭТА УБОГОСТЬ ПОРАЖАЕТ НАШИ МОЗГИ! Только РЕАЛЬНЫЕ СТАНДАРТЫ выправят положение. Не имея хотя бы КТ нельзя больнице разрешать заявку на оказание специализированной травматологической помощи, бедные больные с ЧМТ! Требовать наличия хотя одного ортопедического стола с приставками в операционную, потом ЭОП, коагуляторы, отсосы, мониторы, современные наркозные аппараты( страшное слово). Пока толщина конвертов решает выдачу лицензий МЫ БУДЕМ УДИВЛЯТЬ МИР ВОТ ТАКИМИ ХУДОЖЕСТВАМИ! За лицензии должны отвечать не чиновники с департаментов и управлений, а Главные травматологи, хотя бы последнее слово за ними, Кому как не им знать реальную обстановку на местах с кадрами, с возможностями каждого отделения, завотделением, каждого травматолога!? По отчетам, специализациям, аттестациям! Нет минимально необходимого оборудования, обеспечения расходным материалом, квалифицированного штата - больница может претендовать только на "перевалочную базу", может оказывать только первую помощь и готовить больных для перевода в нормальные Центры, соответствующая зарплата для персонала, а главное- на порядок ниже зарплата Главного! Тогда и только тогда -лед тронется! Хочется о чем то приятном, а получается как всегда!
|
[
Ответить ]
|
Re: Комбинированный синтез перелома голени
Юрий Алексеевич Булахтин 03 Октябрь 2011, 17:24
|
Уважаемые коллеги!
Мне кажется, что все, кто участвует в обсуждении данного клинического примера, несколько оторвались от "корней". Что же, процесс неизбежный при условии, что участники живут и трудятся "в эпоху перемен..." Сам себя ни умным, ни мудрым никогда не считал и, когда к пятидесяти с лишним, автоматически попал в "опытные" стал лишь чуть чувствительнее переживать положения, подобные тем, в какое, сейчас, поместил себя, сильно мною любимый и уважаемый, Андрей Волна. В молодости я, много-много раз, вследствие как общей, так и вербальной невоздержанности, бывал в схожих ситуациях. Т.е, когда, неважно, трезвый или нетрезвый, наговоришь и наделаешь с вечера такого, что утром бесполезно даже извиняться и остается только продолжать в том же духе. В то время я придумал себе достойный, как тогда казалось ответ, любым своим оппонентам: "Когда меня учат жить - я глохну!" Спрятав, за этим выражением, порой раскаянье, порой стыд и досаду за накануне совершенное (вернее за то, в какой форме было это сделано, а не за существо поступка) я упорствовал в своей неправоте морально и физически. Очень бывал доволен когда побеждал в таких спорах. При этом, абсолютно было все равно: прав - не прав! Поэтому, как мне кажется, очень понимаю теперешнее состояние Андрея Анатольевича и предлагаю всем участникам Форума похоронить его неудачный пост со смехом и рекомендацией, которая напрашивается из его великолепной лекции: "Андрей, к тебе огромная просьба - не пиши на Форум если нет времени, жди субботы и потом..." А мы все воспримем. Убежден, со мной согласятся все, кто Андрея знает. Андрея Волну, неизменного, на счастье друзей, с тех пор, как был для всей российской периферии живым кемеровским доказательством того, что передовые технологии растут везде, где есть творческие люди, не зависимо от статуса административного образования
и до сегодняшнего московского антиментора и антиметра для всех и каждого всегда доходящего и помогающего. Очень импонирует искренность его АО-патриотизма и настораживает желание некоторых и это ему в вину поставить - не стыдно? Неужто забыли за, повсеместными теперь, бонусами и квотами от многих и многих представителей, как когда-то, на разных Синтез-Матис курсах первый раз потрогали канюлированные отвертки и пластины с угловой стабильносью? Можно, с высоты сегодняшнего понимания маркетинговой составляющей тех акций, записать их на саморекламу АО, но скажите честно, многие-ли, из посещавших семинары, стали реально "рекомендовать" фиксаторы? А учились современной травматологии-ортопедии мирового уровня все-все... Не в последнюю очередь, Андрею благодаря, а ведь,отсюда, похоже, и несдержанность его реакций. Позвольте, теперь, несколько слов про "Владимира 29 сентября 2011, 14:21". Увы, именно так, коллега, приходится к Вам обращаться... Уж сколько раз твердили миру, уважаемые члены Форума, прописную истину - у нас в стране уровень оснащения клиник, возможностей лечения и консультирования очень-очень разный и, поэтому, когда пишите старайтесь, если не представить себя адекватно, то, хотя-бы локализовать на необъятных просторах Отечества. По содержанию Ваше письмо, в котором Вы "ждете мнения" - это провокация, на замотанность комментаторов рассчитанная. Представьте себе, что Вы в подобной форме попытались-бы доложить об операции на недельном разборе/обходе. В любом нормальном учреждении Вас отослали-бы за результатами предоперационного обследования и планирования и за недостающими послеоперационными Rg- и КТ- изображениями. А Форум, т.е. люди, ваш пример анализипровать пытающиеся, чем хуже? Выложите, пожалуйста, все недостающее и начнем "с чистого листа" адекватное обсуждение... Последнее замечание по форме некоторых обращений - в уголовной песне поется "Братва, не стреляйте друг в друга!" А мы, часто, на опережение... Однажды услышал, как патриарх дальневосточной ортопедии Рево Захарович Алексеев в тосте похвалил наше профессиональное братство, вспомнив, как на выпуске в интернатуре, ему сказали, что теперь он Травматолог, а значит, чтобы не случилось в жизни (обворовали, избили и т.д.) в любом травмпункте коллеги помогут! Потом рассказывал, как ему помогали и он помогал за свою долгую жизнь коллегам - от профессионально "подстрявших" до подгулявших, плохими девчонками обобранных. Тридцать лет назад меня учили также...
С уважением ко всем, Юрий Алексеевич Булахтин
Камчатский Военно-морской госпиталь
|
[
Ответить ]
|
Re: Комбинированный синтез перелома голени
Отправитель: Андрей Волна 03 Октябрь 2011, 18:40
|
Юрий, дорогой, спасибо за заботу. Чувствую себя прекрасно. От корней не отрываюсь. Вот только плохие девчонки перестали оббирать, к сожалению. От слов своих ни в коей мере не отказываюсь. Двойных стандартов в травматологии не приемлю. Не принимал этого, работая в Сибири. Избегаю в Москве. Хотя здесь, конечно, сложнее, человеческие отношения сложнее. Поэтому искренне не понимаю, почему для форума должны быть иные стандарты. Юрий Алексеевич, все мы тебя знаем и любим, дорогой. Одна просьба: говори за себя, ОК? Ловчее будет. Андрей.
|
[
Ответить ]
|
Re: Комбинированный синтез перелома голени
Отправитель: Владимир 03 Октябрь 2011, 20:53
|
Уважаемый, Юрий Алексеевич Булахтин 03 Октябрь 2011, 17:24!
Не совсем понял - Вы ставите мне в вину отношения между участниками форума? Если прочтете мои ответы, то ни в одном нет личного упрека или обвинения. А если кому-то не нравится образованность таких профессионалов, как Андрей Волна, то это проблема его и только его. И, пожалуйста, прошу ни в коем случае не перекладывайте ответственность за безответственность других!!!
|
[
Ответить ]
|
|
Re: Комбинированный синтез перелома голени
Дедок Михаил 04 Октябрь 2011, 02:33
|
Не той мудрець що доведе свою правоту, а той що уступить...
Мнение автора может не совпадать с его точкой зрения.
С уважением к сообществу!
|
[
Ответить ]
|
( Ответить )
|
|