Ответить
|
Re: Ложный сустав голени
Alexander Chelnokov 08 Октябрь 2011, 16:56
|
А можно увидеть для начала не 3D, а стандартные рентгенограммы (фас и профиль)?
|
[
Ответить ]
|
Re: Ложный сустав голени
Отправитель: Дмитрий 08 Октябрь 2011, 22:38
|

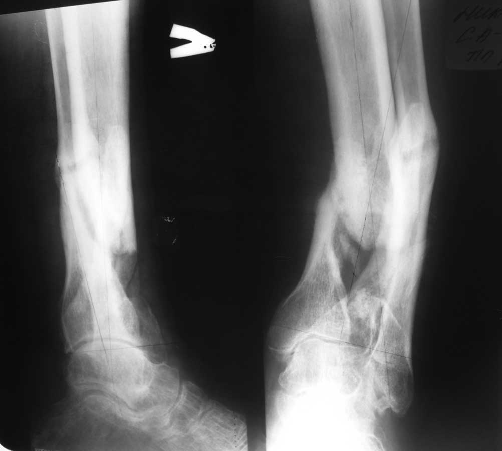
Уважаемый Александр Николаевич! Вот фото рентгенограмм.
|
[
Ответить ]
|
|
Re: Ложный сустав голени
VlaD 08 Октябрь 2011, 18:14
|
Здравствуйте, уважаемые коллеги.
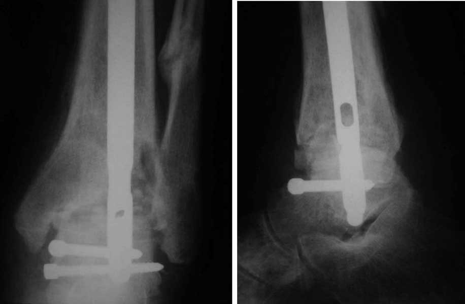
Интересный случай. Допускаю, что состояние мягких тканей приемлемое. Цель лечения должна заключаться, как мне кажется, в ликвидации ложного сустава и достижении артродеза голеностопного сустава. Впрочем, это две взаимосвязанные задачи. Мы бы оперировали следующим образом. Остеотомия малоберцовой кости на вершине деформации. Передне-медиальным доступом артротомия голеностопного сустава, резекция суставных поверхностей с отломков большеберцовой и таранной костей, удаление рубцов между отломками дистального эпиметафиза большеберцовой кости, антеградный стержень с дистальным блокированием в таранной кости, костная пластика дефекта спонгиозным костным трансплантатом из крыла (возможно сразу из двух) подвздошной кости. Банальные артродезы голеностопного сустава мы обычно выполняем антеградным блокированным стержнем (см. вложенный файл),

что позволяет сохранить подтаранный сустав, и нагружать ногу сразу после операции.
С уважением, VlaD.
|
[
Ответить ]
|
Re: Ложный сустав голени
Kessidis Gektor 09 Октябрь 2011, 00:46
|
Проводить артродез стежнем не благодарное дело. Очень много осложнений и неудач. Я предлагаю проводить артродез и лечить псевдартроз по методу Илизарова. Это приведёт к укорочению голени на 2-3 см. Посоветуйтесь с пациентом, хочет ли он её одновременно и удлинить.
|
[
Ответить ]
|
Re: Ложный сустав голени
Djoldas Kuldjanov 09 Октябрь 2011, 01:29
|
Для определения деформации длинных костей полезны обычные рентген снимки, а 3D снимки, оставаясь красивой картиной снаружи, не дают полную информацию про то, что внутри сустава. В дальнейшем необходимость исследования на КТ будет, но для выработки тактики помогут поперечные и сагиттальные срезы. На всю конечность длинные снимки помогут сделать расчет угла деформации, и прицельный снимок голеностопа оценит сустав.
После таких повреждении вряд ли удастся сохранить сустав, и все таки, первым этапом можно было предложить реконструкцию суставной поверхности с реконструкцией в области ложного сустава. Приходилось наблюдать более сложные разрушения сустава, и больные после суставной реконструкции в течение длительного времени без особых жалоб нагружали конечность. Затем по необходимости артродез, а там уже не играет роль метод фиксации: гвоздь, пластина или аппарат.
На 3D снимке виден большой фрагмент в переднем отделе, а поперечные КТ срезы уточнят точную топографию фрагментов. Возможно, основной фрагмент только спереди, и реконструкцию можно делать из переднего доступа с артротомией. Любая передняя длинная пластина (предпочитаем DePuy) с костным графтом и коррекция малоберцовой из латерального доступа. Тенденцию варуса можно устранить временным на три недели медиальным наружным фиксатором со стержнями в пятке и голени.
Djoldas Kuldjanov, M.D.
Associate Professor
Department of Orthopedic Surgery
St. Louis University
|
[
Ответить ]
|
Re: Ложный сустав голени
Отправитель: VlaD 09 Октябрь 2011, 03:27
|
Уважаемый Djoldas Kuldjanov!
Мне кажется, что серьёзно рассчитывать па восстановление функции голеностопного сустава после перелома пилона Ruedi III не леченного должным образом в течение двух лет, не приходится. Сустав погиб.Можно предположить данные КТ – полностью разрушенные переднелатеральную и латеральную части суставной поверхности большеберцовой кости, что типично для переломов пилона из-за вальгусной установки пяточной кости. Но они будут иметь ценность, только если решиться на реконструкцию голеностопного сустава. Выделить из рубцов смещённые, сросшиеся в неправильном положении между собой мелкие костные отломки с суставной поверхностью, выполнить реконструкцию суставной поверхности пилона, выполнить надёжный остеосинтез порозных костей – это техническая задача, с моей точки зрения, не имеет решения. Кроме того, всегда приходиться помнить об угрозе самого тяжёлого и нередкого осложнения применения накостного остеосинтеза при переломах пилона – нагноениях. Если результат с большой степенью вероятности заранее известен, стоит ли выполнять реконструкцию? И ещё. Возможно, для хирурга и не имеет принципиального значения, чем выполнять артродез. Для больного, который в течение двух лет не мог наступать на ногу, возможность нагружать ногу после операции трудно переоценить. Поэтому преимущество артодеза стержнем, мне кажется, очевидны.
С уважением, VlaD.
|
[
Ответить ]
|
Re: Ложный сустав голени
Отправитель: Djoldas Kuldjanov,M.D. 09 Октябрь 2011, 19:35
|
Да, согласен, что полное обследование меняет тактику лечения, потому что на позднее выставленном рентгене видно, что сустав пропал. Надо исправлять деформацию и делать артродез с сохранением подтаранного сустава. Гвоздь более предпочтительный вариант, но надо учитывать опыт хирургов на месте. Некоторые предпочитают компрессирующие аппараты и, надеюсь, в зависимости от наличия опыта выберут более приемлемый вариант.
|
[
Ответить ]
|
|
Re: Ложный сустав голени
Maxim Agalakov 09 Октябрь 2011, 08:36
|
Как вариант - не заморачиваться с суставной поверхностью и артродезом, а восстановить ось способом,. которым лучше владеете, возможно с пластикой (спланировать операцию с учетом СТ сканов). Не так давно встретилась презентация ОТА (PPT, 33 Mb) по переломам пилона, где был сделан акцент на непредсказуемость результатов. Т.е. очень неплохие функциональные результаты при плохом рентгене и наоборот.
С уважением, Максим Агалаков
|
[
Ответить ]
|
Re: Ложный сустав голени
Доценко Павел 10 Октябрь 2011, 21:57
|
Артродез штифтом
|
[
Ответить ]
|
Re: Ложный сустав голени
Дмитрий 10 Октябрь 2011, 23:12
|
Уважаемые коллеги! всем огромное спасибо за Ваши советы. Будем думать, хотя опыта именно в артродезировании голеностопного сустава штифтом пока нет, а есть большой опыт применения аппарата Илизарова. Есть ли какие нибудь подводные камни при артродезе штифтом?
|
[
Ответить ]
|
Re: Ложный сустав голени
Отправитель: VlaD 11 Октябрь 2011, 22:32
|
С моей точки зрения, которая базируется на личном опыте, артродез голеностопного сустава блокированным стержнем крайне эффективная процедура, как и банальный интерлокинг переломов. При условии, что он выполнен по показаниям, технически грамотно и точно. Тогда начинает действовать принцип – «забил и забыл». Много нюансов. Начиная от количества, направления и расстояние между блокирующими отверстиями на дистальном конце стержня и кончая, например, типом дрели, которой вы пользуетесь в операционной. Но, наверное, прав был Джолдас, когда писал, что необходимо учитывать опыт хирургов. Мне кажется, что вам не стоит осваивать этот метод на таком непростом случае, а воспользоваться методикой, которой вы хорошо владеете. Методика интерлокинга, которой пользуемся мы, отличается от стандартных рекомендаций. Весь интерлокинг на голени мы выполняем с помощью спицевого дистракционного аппарата «custom-made» (фото уже были на форуме), который позволяет устранить все виды смещений большеберцовой кости, расположить суставную поверхность таранной кости перпендикулярно длинной оси проксимального отломка, привести в соосность центр костномозгового канала проксимального отломка большеберцовой кости и центр таранной кости до введения стержня, и удерживать их в таком положении на протяжении всей операции. Остальное дело техники при наличии соответствующего стержня и инструментов.
С уважением, VlaD.
|
[
Ответить ]
|
|
( Ответить )
|
|