Ответить
|
Re: тяжёлое повреждение локтевого сустава
Неведров Александр 11 Октябрь 2011, 23:05
|
Здравствуйте Данила,
Если это возможно, выложите снимки локтевого сустава этой пациентки.
Как возможный вариант лечения, если от суставных поверхностей локтевого сустава ничего не осталось- это свободная пересадка васкуляризированного 1-го плюсне-фалангового сустава на сосудистой ножке из тыльной артерии в позицию локтевого сустава.
возможные преимущества этой операции:
- устойчивость васкуляризированного трансплантата к инфекции - нет необходимости в замене сустава через 10-15 лет

С уважением
Неведров Александр
НИИСП им Н.В.Склифосовского, Москва
отдел неотложной пластической и реконструктивной хирургии
|
[
Ответить ]
|
Re: тяжёлое повреждение локтевого сустава
Отправитель: Савранский Александр 11 Октябрь 2011, 23:38
|
Здравствуйте!
Если можно выложите фото стопы - донора 1 плюснефалангового сустава после удаления .
|
[
Ответить ]
|
Re: тяжёлое повреждение локтевого сустава
Отправитель: Данила Курышев 12 Октябрь 2011, 02:31
|
Спасибо, Александр!
Несколько неожиданный вариант лечения. Поскольску не сталкивались с таким подходом, любопытно хотя бы в общих чертах узнать в какой срок лечения Вы выполняете подобные вмешательства? Насколько такой сустав удобен для пациента? Может ли он достать кистью до рта и ануса? Куда крепятся разгибатели сустава и используютсяли для этого именно разгибатели?
Ещё проблема: объяснить ребёнку необходимость изъятия не самого ненужного сустава. Правая голень у него в гипсе.
Несколько тактических вопросов: имеет ли именно сейчас смысл открывать сустав? Стоит ли бороться за суставную поверхность плеча именно на этом сроке? Ревизовать ли локтевой нерв? Шить ли его в случае поврежддения и куда уложить?
С Уважением.
|
[
Ответить ]
|
Re: тяжёлое повреждение локтевого сустава
Отправитель: Неведров Александр 15 Октябрь 2011, 10:24
|
Здравствуйте Данила, извините за поздний ответ.
В нашей клинике было два случая выполнения этой операции. Срок: после заживления ран и при отсутсвии признаков воспаления. Функция хорошая, но морбидность донорской области, конечно, очень высокая. При классической методике 1-й луч стопы ампутируется полностью, возможна траспозиция 2-го луча в позицию 1-го, так морбидность несколько снижается. Вообще, наверное я погоречился предложив эту операцию Вам. Она была разработана в эпоху, когда эндопротезы локтевого сустава были недоступны и другой альтернативы для полного восстановления функции не было. Возможно, что она может быть показана при каких-то неудачах эндопротезирования.
Функция пересаженного сустава полная. Вообще функция сустава сильно зависит от пациента- Лернер показывал видео где пацент отжимался после резекционной пластики локтевого сутсава.
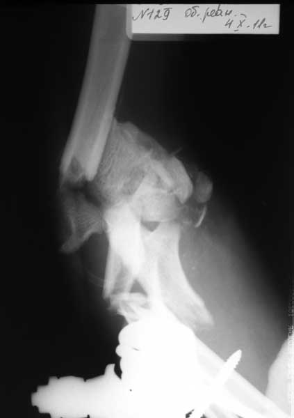
Судя по рентгенограммам Вашей пациентки сустав далеко еще не потерян, особенно у ребенка. Вообще локтевой сустав очень толерантен к плохой репозиции. Рентгенограммы бывают после консолидации ужасными, а функция очень хорошей. Если возможно выложите рентгенограммы локтевого сустава на данный момент, после ПХО. На АСАМИ видел методику леченая таких повреждений в спице стержневом аппарате с ранним началом движенийы. Да получается плохая репозиция, но сустав хорошо работает.
Локтевой нерв при сохраняюшихся признаках воспаления ран ревизовать не стоит - риск нагноения большой. После того как все стихнет (1-2 мес), если не будет клинического улучшения функции, сделайте электромиографию. При полном блоке проведения по нерву и при симптоме Тинеля (постукивания по предпологаемому месту проксимальной культи нерва- болезненные прострелы в зону иннервации) идите на ревизию, в любом случае сделайте невролиз, выполните транспозицию из фиброзного калана на переднюю поверхность. При полном повреждении это позволит Вам выииграть длину нерва для выполнения шва.
С Уважением
Александр Неведров
НИИСП им Н.В. Слифосовского
отделение неотложной пластической и реконструктивной хирургии
|
[
Ответить ]
|
Re: тяжёлое повреждение локтевого сустава
Отправитель: Evgueny 12 Октябрь 2011, 10:11
|
Уважаемый Александр,
Первый раз встречаюсь с техникой артропластики локтевого сустава 1 плюснефаланговым суставом.
Не могли бы вы показать свои случаи.
Поясните, насколько оправдано это решение
, ведь 1 ПФ сустав важный компонент опорности стопы.
Заранее признателен,
Евгений Чекашкин
|
[
Ответить ]
|
|
Re: тяжёлое повреждение локтевого сустава
Др.Бахтамян из Еревана 12 Октябрь 2011, 01:29
|
Здравствуйте Данила,
Выложите, пожалуйста свежие R-граммы и свежее фото локтя,а то трудно понять, что - о к чему,уровень гемоглобина, белка, C-реактивного белка,есть ли свежая электронейромиография?
|
[
Ответить ]
|
Re: тяжёлое повреждение локтевого сустава
Данила Курышев 12 Октябрь 2011, 01:42
|

Прошу простить за задержку - не было линии. Шлю снимки.
|
[
Ответить ]
|
Re: тяжёлое повреждение локтевого сустава
Александр Ельцин 12 Октябрь 2011, 01:59
|
Уважаемый коллега, Данила! Давайте резюмируем вопрос: рентгенограммы на сегодня в 2-х проекциях, фото внешнего вида сустава, функция предплечья, кисти и пальцев кисти и неврологический статус, - по 3-м нервам. Случай крайне непростой, давайте "шаг за шагом", сначала диагностика и разбор, - а потом "пересадка головы". С уважением, Александр Ельцин.
|
[
Ответить ]
|
Re: тяжёлое повреждение локтевого сустава
Отправитель: Данила Курышев 12 Октябрь 2011, 18:22
|
Ок, Александр Геннадиевич!
Завтра - рентгенограммы посвежее и постандартнее. Функция предплчья - заблокирована в ExFix. 2 дня нзад снял кистедержатель. Чувствительность снижена в 5-м пальце. пприведение мизинца сохранено. Двигательная функция срединного нерва снижена по-видимому за счёт длительной иммобилизации (без нарушения чувствительности). Невропатолог - ставит лёгкие явления невита. Радиалис - без заметных изменений. ЭНМГ не дотупна.
Свежие фото - с меня. про пересадку - я чисто теоретически заинтересовался.
С уважением.
P1010134.JPG
346KB (355243 bytes)
|
[
Ответить ]
|
Re: тяжёлое повреждение локтевого сустава
Отправитель: Александр Ельцин 13 Октябрь 2011, 01:45
|
Уважаемые коллеги! Ниже изложено мое мнение, а не аксиома.
1. Снять аппарат внешней фиксации, - первичная мозоль уже есть, ничего не сместиться, иммобилизация нежной гипсовой лонгетой и ежедневные перевязки, - готовим кожу к предстоящим операциям.
2. КТ локтевого сустава с 3D реконструкцией. Надо определиться и понять, что осталось от дистального метаэпифиза плечевой кости, - от этого будет зависеть и дальнейшая тактика. Здесь теорию прекращаем и ждем результатов КТ.
3. Через 7-10 дней надо выполнять: 1).Открытую репозицию локтевой кости, 2). Открытую репозицию лучевой кости, доступ задне-наружный (со стороны локтевой кости). Остеосинтез перекрестными спицами по Паппу и наложение аппарата Илизарова для внешней стабилизации, - возможно минимальное количество спиц и колец.
4. Зная результаты КТ, выполняем 2 коллатеральных доступа в области локтевого сустава с выделением локтевого и лучевого нервов, мобилизуем отломки метаэпифиза плечевой кости, накладываем аппарат спице-стержневой компановки на плечо: спицы через мыщелок .... и верхняя стержневая компановка. Далее, при открытой ране, выполняем максимально возможную дистракцию отломков, при контроле натяжения нервов, по возможности сопоставляем отломки и временно фиксируем спицами. Аппараты на плече и предплечье остаются, фиксация спицами до 4-5 недель, спицы вывести над кожей.
С уважением,А.Г.
|
[
Ответить ]
|
Re: тяжёлое повреждение локтевого сустава
Отправитель: Данила Курышев 14 Октябрь 2011, 00:31
|
Спасибо, Александр Геннадиевич!
Как всегда: чётко, продуманно и этапно.
Насколько оправдано снятие аппарата? В АВФ удобнее мыть, перевязывать, не так ли? Штанги графитовые и больших наводок при рКТГ не дадут. Выкладываю свежие рентгенограммы.

Согласен, при таком "качестве" снимков КТ необходимо. По поводу дистального метафиза - при благоприятном сопоставлении суставных опорных поверхностей - дефект заполнить не составит большого труда.
Мысли такие: на завтра сделаем некрэктомию участков локального сухого некроза кожи на локтевом суставе. Заживляем-первязываем. Лучевую кость есть желание синтезировать закрыто ESIN под ЭОП. Локтевую кость - открыто, как в пункте 4. Скорее всего - БИОС. Пункт 4 не вызывает никаких возражений. Смущает фраза первого оперирующего: что все отломки "вбиты в мышцы как при разделке мясником и обмотаны фасциями". При таком взаимоотношении с мягкими тканями сложно расчитывать на изящный выход из ситуации.
КТ шлю завтра. У нас очередь с нейрохирургами.
С благодарностью за дельный отклик и глубоким уважением.
Курышев Данила
|
[
Ответить ]
|
Re: тяжёлое повреждение локтевого сустава
Отправитель: Александр Ельцин 16 Октябрь 2011, 18:19
|
Согласен, аппарат можно оставить. Меня смутили возможные трудности с КТ и интраоперационной репозицией.
Успехов Вам и Вашим коллегам.
С уважением, Александр Ельцин.
|
[
Ответить ]
|
|
Re: тяжёлое повреждение локтевого сустава
Николай Васильевич 12 Октябрь 2011, 22:37
|
В данном случае за сустав необходимо бороться.
Как вариант Открытый остеосинтез в любом аппарате внешней фиксации. Опорные поверхности все сохранены. Собрать плечевую кость и кости предплечья.Дефекты костной ткани при правильной репозиции будут не велики. О нервах либо подумать потом, либо сшить если попадут в поле зрения во время открытого остеосинтеза
|
[
Ответить ]
|
Re: тяжёлое повреждение локтевого сустава
Шведовченко Игорь Владимирович 13 Октябрь 2011, 11:13
|
Уважаемые коллеги. Для тех, кто интересуется "новой" методикой реконструкции локтевого сустава с использованием микрохирургической аутотрансплантации 1-го плюснефалангового сустава стопы.
"Микрохирургическая аутотрансплантация комплексов тканей при лечении дефектов суставов у детей" Методические рекомендации № 98/276. Санкт-Петербург, 1999.
|
[
Ответить ]
|
Re: тяжёлое повреждение локтевого сустава
Отправитель: Андрей 13 Октябрь 2011, 20:04
|
А моджая электронный вариант даного пособия?
|
[
Ответить ]
|
Re: тяжёлое повреждение локтевого сустава
Отправитель: Данила Курышев 13 Октябрь 2011, 23:53
|
Спасибо за наводку, Игорь Владимирович!
|
[
Ответить ]
|
|
Re: тяжёлое повреждение локтевого сустава
Др.Бахтамян из Еревана 14 Октябрь 2011, 01:03
|
Уважаемый Др.Курышев,
Во-первых поздравляю с отличными результатами первого этапа лечeния тяжелейшего больного.
Главное - ребенок выжил! Бедро зафиксировано(очень важный момент при политравме!).
Kaково состояние легких, нет ли РДС?
Насчет локтя
Насколько понял - функции нервов в удовлетворительном состоянии - снимите аппарат и начните активную (но, естественно, осторожную!)реабилитацию локтевого сустава.
Поймите (прошу прощения за резкость), не гонитесь за полным(!) восстановлением функции локтевого сустава оперативно, не гонитесь за "красивыми " рентгенограммам - этот ребенок только-только тихонечко приходит в себя! Вот то-то и дело в том,что он еще ребенок - и природа в этом деле Вам поможет.Не гонитесь за тeм, чтобы "оперировать все и до смерти"!Начинайте ЛФК, поверьте - потом поздно будет!
Toлько в одном случае операция, и то небольшая - если костный дефект (частичный!)в метадиафизе плеча будет мешать ЛФК. В этом случае небольшая операция с костным трансплантатом и шарнирный аппарат Волкова-Оганесяна(если есть, конечно!) - и в аппарате грамотная разработка!
Извините за тон еще раз
Удачи!
|
[
Ответить ]
|
Re: тяжёлое повреждение локтевого сустава
Отправитель: Данила Курышев 14 Октябрь 2011, 02:29
|
Спасибо, Доктор Бахтамян за ответ. К сожалению не знаю Вашего имени и отчества.
Ребёнок выжил. В полном и адекватном сознании. Лопает. Румян при гемоглобине 96. СРБ - не брали. ЭНМГ н доступна для даного больного. Он полностью компенсирован. По б/х крови - только непрямой1 билирубин на 4 ед. повышен. Лёгкие в порядке - сроки приличные после травмы. Поля-чистые. Вопрос №1: Зачем снимать аппарат и назначать реабилитацию сустава, которого на настоящий момент нет? Что это даст? если трицепс отделён от локтевого отростка травматически - то какие функции он выполнит?
Боже нас упаси оперировать "всё и до смерти"! Мы поэтому и консультируемся с коллегами. Пока в планах только сделать некрэктомию струпов, стерилизовать раны и, по-возможности, открыто и отсроченно, восстановить суставные поверхности. Они оскольчатые и развёрнуты по-отдельности вокруг своих осей.
"ЛФК - потом поздно будет" - как Вы аргументируете этот пункт? В каком объёме? какие упражнения? В гипсе? Без него? Для чего?
Почему Вам кажется необходимым применение данной ситуации АВФ Волкова-Оганесяна? он, вроде бы, для другого придуман. Отчего Вы Илизаровский не рассматриваете в качестве альтернативы? Он же, вроде бы, более полифункционален и позволит дистракцию метадиафиза при необходимости произвести?
Извините, если я где то неровно и невежливо написал.
Заранее спасибо за ответ.
С уважением. Курышев Данила
|
[
Ответить ]
|
Re: тяжёлое повреждение локтевого сустава
Отправитель: Др.Бахтамян из Еревана 14 Октябрь 2011, 02:54
|
Лфк без гиса - сгибание и разгибание, это отполирует суставные концы плюс физиологический стимул для образования фиброхряща 2го типа, восстановите мышцы, что улучшит кровоснабжение кости. Чем позже начнете - тем быстрее по пути к тяжелейшей контрактуре или анкилозу. Не пытайтесь восстанавливать сутавные поверхности - во-первых самое главное там уже нет гиалинового хряща в полном об'еме, во-вторых хуже будет. Насчет аппарата согласен, но обязательно с шарниром, чтобы продолжить реабилитацию. Возможно разорванное сухожилие не очень и помешает. Насчет вторичной хир.обработки трудно отсюда что либо советовать
Гурген Арменович
|
[
Ответить ]
|
Re: тяжёлое повреждение локтевого сустава
Отправитель: дамир 15 Октябрь 2011, 22:13
|
Гурген Арменович - сгибать и разгибать он не сможет. Без оперативного лечения анкилоз 100%. Не исключено что он разовьется и после оперативного лечения, но шанс давать надо.
|
[
Ответить ]
|
Re: тяжёлое повреждение локтевого сустава
Отправитель: Др.Бахтамян из Еревана 15 Октябрь 2011, 22:33
|
Уважаемый Дамир,
Я знаю, что он сам(!) не может сгибать-разгибать...
А Вы пробовали пассивные? Осторожненько...
Есть возможность ЯМР?
|
[
Ответить ]
|
|
Re: тяжёлое повреждение локтевого сустава
Шведовченко Игорь Владимирович 14 Октябрь 2011, 10:59
|
При желании электронного варианта методических рекомендаций высылайте свой электронный адрес на schwed.i@mail.ru. Большой объем методички, не хочется загружать сайт.
|
[
Ответить ]
|
Re: тяжёлое повреждение локтевого сустава
Др.Бахтамян из Еревана 17 Октябрь 2011, 20:05
|
Уважаемый Др.Курышев,
Чем можете похвастаться ?
А то Вы нас забыли!
|
[
Ответить ]
|
Re: тяжёлое повреждение локтевого сустава
Данила Курышев 18 Октябрь 2011, 02:04
|
Выкладываю изображения.
План лечения: открытая репозиция. Собрать суставные фрагмент. Фиксация: спицы, кан.шурупы, реконструктивные пластины, АВФ с локтевым шарниром. Бусы с ванкомицином. Дренирование, вакууимирование.
Ориентировочно - среда.
|
[
Ответить ]
|
Re: тяжёлое повреждение локтевого сустава
Отправитель: Александр Ельцин 19 Октябрь 2011, 01:06
|
Ещё раз пожелаю успехов, но прежде, - терпения и взвешенных решений в операционной. Вечерком наступающей среды будут интересны Ваши, хотя бы краткие сообщения.
А.Ельцин.
|
[
Ответить ]
|
Re: тяжёлое повреждение локтевого сустава
Отправитель: Др.Бахтамян из Еревана 19 Октябрь 2011, 01:18
|
КТ - вот это другое дело!
естествено - репозиция отломков плеча, однако, не заморачивайтесь с суставом...
Да хранит Вас и вашего больного Господь от инфицирования (ранки не зажили ...)!
Удачи в Вашем непростом деле !
Следующий сеанс связи наверное, в четверг
|
[
Ответить ]
|
|
Re: тяжёлое повреждение локтевого сустава
Данила Курышев 19 Октябрь 2011, 00:27
|
Операция перенесена на четверг.
Уважаемые доктора! В качестве оправдания на, казалось бы, очевидное и резонное недоумение коллег по поводу наших сомнений в лёгкости открытой репозиции с возможностью её адекватного выполнения , я хочу напомнить, что такой калейдоскоп отломков образовался не в результате падения ребёнка с высоты, а в результате высокоэнергетической травмы падающего и достаточно увесистого предмета, по словам очевидцев, являющегося чем то вроде однотавровой балки. Картина foam ellbow получена в результате саvой настоящей прямой травмы, вызвавшей раскалывание, в большей степени плечевой кости, с "разбрызгиванием" отломков. Принимавший и оперировавший пострадавшего опытный и авторитетный травматолог не спроста сделала снимки телефоном и в разговоре подчёркивал, что картина в ране напоминала работу по разделке мяса топором (кто видел ). Отломки костей высыпасиь из раны, однако другие были впрессованы в мышечную ткань,запутаны в обрывках тканей, надкостницыи, перемешаны с инородным телами, которые также были импрессированы в ткани. Это, на мой взгляд очень важно. Ни о какой приличной анатомии не было и речи. так что повреждение можно сравнить в минно-взрывным ранением. В фазе первичной консолидации, конечно же, могут возникнуть операционные проблемы с препаровкой и репозицией фрагментов плеча. Конечно же есть опасность "пройтись" по сосудам и нервам. Отдельным вопросом стоит возможность редукции совершенно оторванного и сокращённого трицепса. Конструкция сустава вроде бы не позволяет игнорировать отсутстсвие прикрепления к локтевому отростку важнейшей оппозитной мышцы. Этот момент, увы, никак не был комментирован при обсуждении данного случая...
Вопрос к сообществу рождался в мыслях о том, чтобы не сделать хуже чем есть. В целом - громадное спасибо за бесценные комментарии по больному и внимание к нашей проблеме.
С глубоким уважением и благодарностью.
Курышев Данила.
|
[
Ответить ]
|
Re: тяжёлое повреждение локтевого сустава
Maxim Agalakov 19 Октябрь 2011, 21:14
|
представляется 2 варианта:1. раннее функциональноелечение и 2.артроде в выгодной позиции. Учитывая возраст, предпочел бы первое. Попытки восстановить анатомию. в этом случае не приведут к улучшению функции.
Максим Агалаков. Е-бург, Россия.
|
[
Ответить ]
|
Re: РЪФ╦КНЕ ОНБПЕФДЕМХЕ КНЙРЕБНЦН ЯСЯРЮБЮ
дЮМХКЮ йСПШЬЕБ 25 Октябрь 2011, 01:59
|
нОЕПХПНБЮКХ Б ВЕРБЕПЦ. мЮВЮКХ Я КСВЕБНИ ЙНЯРХ. кЕЦЙН ТХЙЯХПНБЮКХ Е╦ TEN ГЮЙПШРН ПЕРПНЦПЮДМН. оПХМЪКХ ПЕЬЕМХЕ ПЕБХГНБЮРЭ ЯСЯРЮБ ГЮДМХЛ ДНЯРСОНЛ. нРЙПШРХХ КНЙРЕБСЧ ЙНЯРЭ , БШОНКМЕМ НЯРЕНЯХМРЕГ СКЭМЮПМШЛ АКНЙХПСЕЛШЛ ЦБНГД╦Л. оПНДНКФХКХ ПЮГПЕГ МЮ ОКЕВН. нРКНЛЙХ ЛШЫЕКЙНБ ЯЛЕЫЕМШ БН БЯЕУ ЛШЯКХЛШУ МЮОПЮБКЕМХЪУ, ПНРХПНБЮМШ, ОПЮЙРХВЕЯЙХ КХЬЕМШ ЯБЪГХ Я ЛЪЦЙХЛХ РЙЮМЪЛХ Х НЙПСФЕМШ УПЪЫЕБНИ ЛНГНКЭЧ. хЛЕЧРЯЪ ТХАПНГМШЕ ЯПЮЫЕМХЪ НРКНЛЙНБ ОКЕВЮ Я ОПНЙЯХЛЮКЭМШЛХ НРДЕКЮЛХ ЙНЯРЕИ ОПЕДОКЕВЭЪ. оПНЙЯХЛЮКЭМШИ ТПЮЦЛЕМР ОКЕВЮ СОХПЮЕРЯЪ Б ЯСЯРЮБМШЕ ОНБЕПУМНЯРХ ОПЕДОКЕВЭЪ. нЯСЛЙНБЮММШЕ НЯРЮРЙХ НДЕФДШ. нОЕПЮЖХНММЮЪ ЙЮПРХМЮ ЯЛЕЫЕМХЪ НРКНЛЙНБ МЕ ОНГБНКЪКЮ ЯДЕКЮРЭ ╚ОПХАКХГХРЕКЭМСЧ ПЕОНГХЖХЧ╩ - ДКЪ ЛХМХЛЮКЭМНЦН ЯАКХФЕМХЪ НРКНЛЙНБ ХУ АШКН МЕНАУНДХЛН ОНКМНЯРЭЧ ЛНАХКХГНБЮРЭ. лШЫЕКЙНБШЕ НРКНЛЙХ ЯНАПЮМШ Б ЕДХМШИ АКНЙ, ТХЙЯХПНБЮМШ ЯОХЖЮЛХ Х ТХМРЮЛХ. яСУНФХКХЕ РПХЖЕОЯЮ ЯНУПЮМХКН ЯБЪГЭ Я КНЙРЕБШЛ НРПНЯРЙНЛ ОН МЮПСФМНИ ОНБЕПУМНЯРХ. кНЙРЕБНИ МЕПБ ХГ ГЮДМЕЦН ДНЯРСОЮ БШЪБХРЭ МЕ СДЮКНЯЭ. бМСРПЕММХИ МЮДЛШЫЕКНЙ - ЦДЕ РН ЯХКЭМН ЯОЕПЕДХ. рНОНЦПЮТХВЕЯЙХ ОН ЙПЮЧ КНЙРЕБНИ ЙНЯРХ СДЮКНЯЭ НАМЮПСФХРЭ ЮРПНТХВМШИ РЪФ, МЮОНЛХМЮЧЫХИ ПЮГДЮБКЕММШИ МЕПБ. я ПЕБХГХЕИ МЕ СОНПЯРБНБЮКХ √ ОНБПЕФДЕМХЕ МЕПБЮ ДНКФМН АШРЭ НВЕМЭ ОПНРЪФ╦ММШЛ Х ЯКХЬЙНЛ БШПЮФЕМ ПСАЖНБШИ ОПНЖЕЯЯ Я ЩРНИ ГНМЕ. б ДЮКЭМЕИЬЕЛ МЮДН, БХДХЛН, АСДЕР ДЕКЮРЭ ╚БЯРЮБЙС╩. оНЯКЕ ЯНАХПЮМХЪ ЛШЫЕКЙНБ ЯНЯРШЙНБЮКХ ОНКСВЕММШИ ЙНМЦКНЛЕПЮР Я ОПНЙЯХЛЮКЭМНИ ВЮЯРЭЧ ОКЕВЮ. тХЙЯЮЖХЪ ПЕЙНМЯРПСЙРХБМНИ LCP ГЮ МЮПСФМШИ, ЯЮЛШИ ЙПСОМШИ ТПЮЦЛЕМР Б ПЮИНМЕ ЦНКНБЙХ ЛШЫЕКЙЮ. б ДЕТЕЙР ЛЕРЮТХГЮ √ ЦПЮМСКХПНБЮММШИ ▒▓CronOS▓▓ + БЮМЙНЛХЖХМ. оНЯКЕ РЫЮРЕКЭМШУ ЯЮМЮЖХИ Х КЮБЮФЕИ ОЕПЕЬКХ Й ГЮЙПШБЮМХЧ ПЮМШ, МЮЛЕПЕБЮЪЯЭ ЯЛНМРХПНБЮРЭ хКХГЮПНБЮ. мЕЛЕДКЕММН БШЪЯМХКНЯЭ, ВРН ЙЮЙ ПЮГ МЮ ЯЮЛНИ ЯЕПЕДХМЕ ПЮМШ, МЮД КНЙРЕБШЛ НРПНЯРЙНЛ ЙПЮЪ ЙНФХ ЯБНДЪРЯЪ Я ЙПХРХВЕЯЙХЛ МЮРЪФЕМХЕЛ. йНЯРХ ОПЕДОКЕВЭЪ ОПХ ЛЮКЕИЬЕЛ ДБХФЕМХХ Б ЯСЯРЮБЕ БШБХУХБЮКХЯЭ ЙМЮПСФХ, ВРН ОНРПЕАНБЮКН ТХЙЯЮЖХХ ЯОХЖЕИ ЯСЯРЮБЮ (КСВ-ЦНКНБЙЮ). пЮГЦХАЮМХЕ Б ЯСЯРЮБЕ РЮЙФЕ МЕ ДЮБЮКН БНГЛНФМНЯРХ СЬХРЭ ЙНФС АЕГ МЮРЪФЕМХЪ. оПХВХМНИ ОНЛЕУХ БХДЕКНЯЭ ХГЛЕМЕМХЕ БГЮХЛННРМНЬЕМХИ РЙЮМЕИ Х ПСАЖНБШИ ЙНМЦКНЛЕПЮР ОН ОЕПЕДМЕИ ОНБЕПУМНЯРХ ОКЕВЮ Х КНЙРЕБНЦН ЯСЯРЮБЮ, ОНЯКЕ ПЕОНГХЖХХ НРКНЛЙНБ ЯЛЕЯРХБЬХИЯЪ ЙОЕПЕДХ. нОЕПЮЖХНММШИ НР╦Й АШК ЛХМХЛЮКЕМ. яПЮГС ПНДХКНЯЭ ГЮОНГДЮКНЕ ЯННАПЮФЕМХЕ. аШКН АШ МЕ КХЬМХЛ ОЕПЕД НРЙПШРШЛ БЛЕЬЮРЕКЭЯРБНЛ МЮКНФХРЭ ДХЯРПЮЙЖХНММШИ ЮООЮПЮР, ДЮРЭ ДНГХПНБЮММНЕ СДКХМЕМХЕ ГЮ ОПЕДОКЕВЭЕ Х ЯНГДЮРЭ ГЮОЮЯ ОПНЯРПЮМЯРБЮ, БШОНКМЪЪ МЕЙНРНПШИ ╚РЮЙЯХЯ╩ НРКНЛЙНБ ОКЕВЮ, Ю МЕ ХДРХ ЯПЮГС МЮ ОПЪЛСЧ ПЕОНГХЖХЧ. оНВЕЛС РН ГЮДМХЛ СЛНЛ ДСЛЮЕРЯЪ, ВРН ЩРН ГМЮВХРЕКЭМН АШ НАКЕЦВХКН ПЮАНРС Я ЛЪЦЙХЛХ РЙЮМЪЛХ. пЮМЮ АШКЮ ГЮЙПШРЮ Я МЮРЪФЕМХЕЛ ЙПЮ╦Б ОПХ ОНЛНЫХ ЩКЮЯРХВМШУ МХРЕИ МЮ ЯРЕОКЕПМШУ ЯЙНАЙЮУ. б РЮЙХУ СЯКНБХЪУ ОПХЬКНЯЭ НРЙЮГЮРЭЯЪ НР ЛНМРЮФЮ ХКХГЮПНБЯЙНЦН юбт Х ЮЙРХБХГЮЖХХ ЯСЯРЮБЮ √ РЕОЕПЭ ПЮМС МЮДН ГЮЙПШБЮРЭ ЩРЮОМН. яЛНМРХПНБЮМ ExFIX c ЬЮПМХПНЛ ОН НЯЕБНИ ЯОХЖЕ √ ЯЮЛЮ ЯОХЖЮ СДЮКЕМЮ. мЮКНФЕМ VAC МЮ ПЮМС. нЯРЮБХКХ ЙЮРЕРЕП Б ЯОКЕРЕМХХ, НАЕГАНКХБЮКХ 3 ЯСРНЙ ЛЮПЙЮХМНЛ.
мХЙЮЙНЦН СДНБКЕРБНПЕМХЪ БЛЕЬЮРЕКЭЯРБН МЕ ОПХМЕЯКН. яНЛМЕМХИ Б МЕНАУНДХЛНЯРХ НРЙПШРНЦН БЛЕЬЮРЕКЭЯРБЮ Х ПЕЙНМЯРПСЙЖХХ ЮМЮРНЛХХ - ПЕРПНЯОЕЙРХБМН ОПХАЮБХКНЯЭ. ю РСР ЕЫ╦ Х йЮДДЮТХ САХКХ┘
20102011625.jpg
722KB (740007 bytes)
|
[
Ответить ]
|
Re: тяжёлое повреждение локтевого сустава
дЮМХКЮ йСПШЬЕБ 25 Октябрь 2011, 02:03
|
/
20102011627.jpg
711KB (728665 bytes)
|
[
Ответить ]
|
Re: тяжёлое повреждение локтевого сустава
Данила Курышев 25 Октябрь 2011, 02:07
|
/
20102011617.jpg
926KB (949090 bytes)
|
[
Ответить ]
|
Re: тяжёлое повреждение локтевого сустава
Данила Курышев 25 Октябрь 2011, 02:56
|
Снимки в проекции "как получилось". Попозже сам уложу на столе правильно.
P1010212.JPG
249KB (255193 bytes)
|
[
Ответить ]
|
Re: тяжёлое повреждение локтевого сустава
Данила Курышев 25 Октябрь 2011, 03:03
|
как то так
P1010204.JPG
261KB (267764 bytes)
|
[
Ответить ]
|
Re: тяжёлое повреждение локтевого сустава
Др.Бахтамян из Еревана 25 Октябрь 2011, 03:55
|
Что новенького, Др.Курышев?
|
[
Ответить ]
|
Re: тяжёлое повреждение локтевого сустава
Отправитель: Данила Курышев 25 Октябрь 2011, 15:39
|
Что то я с кодировкой текста накосячил. Перепослал текст.
|
[
Ответить ]
|
|
Re: тяжёлое повреждение локтевого сустава
Данила Курышев 25 Октябрь 2011, 13:37
|
Оперировали в четверг. Начали с лучевой кости. Легко фиксировали её TEN закрыто ретроградно. Приняли решение ревизовать сустав задним доступом. Открытии локтевую кость , выполнен остеосинтез ульнарным блокируемым гвоздём. Продолжили разрез на плечо. Отломки мыщелков смещены во всех мыслимых направлениях, ротированы, практически лишены связи с мягкими тканями и окружены хрящевой мозолью. Имеются фиброзные сращения отломков плеча с проксимальными отделами костей предплечья. Проксимальный фрагмент плеча упирается в суставные поверхности предплечья. Осумкованные остатки одежды. Операционная картина смещения отломков не позволяла сделать «приблизительную репозицию» - для минимального сближения отломков их было необходимо полностью мобилизовать. Мыщелковые отломки собраны в единый блок, фиксированы спицами и финтами. Сухожилие трицепса сохранило связь с локтевым отростком по наружной поверхности. Локтевой нерв из заднего доступа выявить не удалось. Внутренний надмыщелок - где то сильно спереди. Топографически по краю локтевой кости удалось обнаружить атрофичный тяж, напоминающий раздавленный нерв. С ревизией не упорствовали – повреждение нерва должно быть очень протяжённым и слишком выражен рубцовый процесс с этой зоне. В дальнейшем надо, видимо, будет делать «вставку». После собирания мыщелков состыковали полученный конгломерат с проксимальной частью плеча. Фиксация реконструктивной LCP за наружный, самый крупный фрагмент в районе головки мыщелка. В дефект метафиза – гранулированный ‘’CronOS’’ + ванкомицин. После тщательных санаций и лаважей перешли к закрыванию раны, намереваясь смонтировать Илизарова. Немедленно выяснилось, что как раз на самой середине раны, над локтевым отростком края кожи сводятся с критическим натяжением. Кости предплечья при малейшем движении в суставе вывихивались кнаружи, что потребовало фиксации спицей сустава (луч-головка). Разгибание в суставе также не давало возможности ушить кожу без натяжения. Причиной помехи виделось изменение взаимоотношений тканей и рубцовый конгломерат по передней поверхности плеча и локтевого сустава, после репозиции отломков сместившийся кпереди. Операционный отёк был минимален. Сразу родилось запоздалое соображение. Было бы не лишним перед открытым вмешательством наложить дистракционный аппарат, дать дозированное удлинение за предплечье и создать запас пространства, выполняя некоторый «таксис» отломков плеча, а не идти сразу на прямую репозицию. Почему то задним умом думается, что это значительно бы облегчило работу с мягкими тканями. Рана была закрыта с натяжением краёв при помощи эластичных нитей на степлерных скобках. В таких условиях пришлось отказаться от монтажа илизаровского АВФ и активизации сустава – теперь рану надо закрывать этапно. Смонтирован ExFIX c шарниром по осевой спице – сама спица удалена. Наложен VAC на рану. Оставили катетер в сплетении, обезболивали 3 суток маркаином.
Никакого удовлетворения вмешательство не принесло. Сомнений в необходимости открытого вмешательства и реконструкции анатомии - ретроспективно прибавилось. А тут ещё и Каддафи убили…
|
[
Ответить ]
|
Re: тяжёлое повреждение локтевого сустава
Отправитель: Александр Ельцин 26 Октябрь 2011, 01:26
|
Уважаемые коллеги, терпения Вам и ещё раз терпения.
А теперь простите за назойливость. Вы просили совета, мы высказывали свои соображения.....
Задний доступ к локтевому суставу в данном клиническом наблюдении обеспечил Вам минимум возможностей, по сравнению с 2-мя коллатеральными доступами (см п.4 моего комментария по планированию операции): Вы толком не увидели и не мобилизовали нервы: локтевой и лучевой, не смогли провести мобилизацию и дистракцию фрагментов плечевой кости, - и как следствие, - неадекватное и неконтролируемое сопоставление отломков, дефицит мягких тканей и неясная перспектива по нервам, которые по предоперационной клинике были целы.
Согласен с Вами, удовлетворения от выполненной операции нет.
Ну и ещё, а после операции можно сделать рентген так, чтобы самим было понятно, где кости, а где металл? Как минимум, некорректно!
А.Г. Ельцин.
|
[
Ответить ]
|
Re: тяжёлое повреждение локтевого сустава
Отправитель: Данила Курышев 28 Октябрь 2011, 06:07
|
Уважаемый Александр Геннадиевич!
Ещё раз сердечно благодарим Вас за участие в обсуждении, советы и комментарии и пожелания нам успеха и терпения.. Ваши соображения мы, конечно же, при планировании операции принимали в расчёт и , упаси боже, не иронизировали над ними. Спросивший слушает разные мнения коллег пытается составить представление о способах разрешения проблемы. Советующий не всегда может лично осмотреть больного, осмотреть оригиналы результатов исследования, к глубокому сожалению, присутствовать на операции (свежий взгляд и опытный ум всегда в дефиците!). Советующий всегда вынужден строить свой комментарий, исходя из скупых и, не всегда качественных обрывков информации по больному. Есть и наща вина в отношении качества предоставленного материала. Тем не менее советы, хотя и не в том объёме , на который рассчитывали – поступили. Единомнения в них не прослеживается. Хочу обратить внимание на очень лаконичный и взвешенный камент Агалакова.
По существу Вашего комментария - с конца. Я понимаю раздражение по поводу рентгенограмм после оперативного лечения. С оригинала – достаточно легко читается. Снимки рентгенограмм выполнены фотографированием. Сжаты с потерей качества. Засвечены, баланс белого. Много степлера. Жёстко – рентгенологи не могут победить страха перед аппаратами, делая поправки на штанги (карбон ведь). Каюсь, не смог на следующий день присутствовать при укладке больного. Поток пятничных операций украл минимальное свободное время. Это исправим. Этапы операции контролировались не только глазом, но и ЭОП. Снимки с бумаги не решился выкладывать в виду их плохого конечного качества.
< Задний доступ к локтевому суставу в данном клиническом наблюдении обеспечил Вам минимум возможностей, по сравнению с 2-мя коллатеральными доступами> - два доступа для ревизии всего и сразу, конечно, лучше чем один. Я всё же не соглашусь с мнением о минимуме возможностей заднего доступа. С точки зрения репозиции плеча этот доступ один из удобных. На предоперационном КТ хорошо видно что в плане репозиции задний доступ не хуже. Лучевой нерв мы и не собирались ревизовать во что бы то ни стало. Локтевой нерв размозжён и представлен истончённым тяжом. Сшивать встык нечего, медиально хаотичная рубцовая и хрящевая ткань – и мы не упорствовали в диссекции и поиске здоровых отделов, оставив это на следующие этапы. Целью операции являлось выполнение репозиции и удаление нежизнеспособного-инфицированного и инородного. Операция велась под жгутом. Коагуляцией останавливать кровотечение из рубцов было крайне сложно. Без жгута начинало кровить ото всюду. Трижды меняли турникет и затягивать вмешательство не было желания. Напомню – оперативное лечение происходило в сроки позднее месяца после травмы. Срок вмешательства это отдельная тема. Совершенно не отрицаю, что боковые доступы могли бы быть выгоднее в данной ситуации. Но уже вот так.
< не смогли провести мобилизацию и дистракцию фрагментов плечевой кости, - и как следствие, - неадекватное и неконтролируемое сопоставление отломков,> - это несправедливый упрёк. Достаточно посмотреть на операционные фотографии. С мобилизацией дистракцией и репозицией никаких проблем не было. По внутреннего блока плеча понятие репозиция вообще было условно. Вся мозаика расползалась даже при проведении осевой спицы. Значительная часть фрагментов мыщелка и внутренней колонны плеча вообще отсутствовала изначально.
Повторюсь, было бы хорошо нам догадаться произвести перед открытым вмешательством аппаратную дистракцию. Для рубцовых и ретрагированных мягких тканей это было бы неплохо и обеспечило бы более простые манёвры с отломками. Задний доступ тут не виновен. Я забыл отметить что у больного абсолютно отсутствуют какие-либо коллатеральные связки в суставе. В конце вмешательства происходило спонтанное вывихивание костей предплечья. Лучевую кость пришлось фиксировать через головку мыщелка временной спицей.
< дефицит мягких тканей> - это правда. Кожа в проекции травмы спаяна с тканями и почти не смещается. Изменение положения отломков привело к такому негаданному результату. Мы этого не предвидели, если честно. Будем закрывать этапно. Нет, однако, уверенности, что боковые доступы позволили бы ушить обе раны. Вы бы ушивали раны любой ценой?
Перспективы по нервам – только локтевой. Неврология его осталась прежней.
Отвечаю по-эстонски, с запаздыванием. Надеюсь, я не очень эмоционально написал и не допустил бестактностей! Простите и меня за назойливость
С уважением к Вам, Александр Геннадиевич!
|
[
Ответить ]
|
|
Re: тяжёлое повреждение локтевого сустава
Данила Курышев 26 Октябрь 2011, 00:22
|
Приношу извинения за позднее сообщение об операции. Меня должно извинить большое количество работы, глюкующая Йота и, почему то, проблемы с заходом на сайт.
С уважением и благодарностью за Ваше внимание и потраченное на нас время.:)
|
[
Ответить ]
|
Re: тяжёлое повреждение локтевого сустава
Др.Бахтамян из Еревана 31 Октябрь 2011, 00:57
|
Что новенького, Др.Курышев
Вы используете VAC систему фирмы KCI ? Богато живете, скажу Вам!
|
[
Ответить ]
|
Re: тяжёлое повреждение локтевого сустава
Др.Бахтамян из Еревана 02 Ноябрь 2011, 16:47
|
"Нет, однако, уверенности, что боковые доступы позволили бы ушить обе раны"
Совершенно согласен с Вами, Др.Курышев! И плюс будет некроз кожного мостика между разрезами!
|
[
Ответить ]
|
Re: тяжёлое повреждение локтевого сустава
Отправитель: Данила Курышев 03 Ноябрь 2011, 02:12
|
Приношу извинения за молчание.
Уверенности в полезности проведённого открытого вмешательства всё меньше. В прошлую пятницу сняли аппарат с таза и этапно свели карая раны. Убрали блокирующую спицу и разогнули локоть в аппарате до 150 градусов. Через сутки у больного началась манифестация почечной колики на фоне дисметаболической нефропатии. Блока почек нет. Больше страдает левая лоханка. Пиелонефрит. Темапература 38-40. Речь идёт о стентировании. К этому добавилась клиника неврита лучевого нерва (видимо - натяжение). Отпустили разводящую штангу - стало легче, но неврит не исчез. Ткани в области локтевого сустава подвижны только по передней поверхности. Кожа грубо спаяна с подлежащими тканями, подкожная клетчатка полностью отсутствует.
Наши планы на этапное лечение локтя нарушены возникшим осложнением. Набираемся терпения.
|
[
Ответить ]
|
Re: тяжёлое повреждение локтевого сустава
Отправитель: Данила Курышев 03 Ноябрь 2011, 02:23
|
Уважаемый Доктор Бахтамян!
Гордыс словом "VAC" мы именуем липкую плёнку "Hartmann" , "S&N" , даже пищевую плёнку (в Москве она стоит 23 рэ за рулон), наклеенную или навёрнутую вокруг конечности на кусок крупнопористого поролона (магазин автопринадлежностей, моющие губки в хозяйственном. В поверхности плёнки над поролоном - прокол скальпелем. ВВодится зонд диаметром 0,5-1,0 см. Прокол герметизируется плёнкой. Отсос электрический - в беспощадном круглосуточном режиме. И это работает. :))
|
[
Ответить ]
|
Re: тяжёлое повреждение локтевого сустава
Отправитель: Др.Бахтамян из Еревана 03 Ноябрь 2011, 02:53
|
А как Вы герметизируете между трубкой и губкой, нен совсем понятно?Я тоже пытался наладить с пленкой, вакуум слабый
Заранее спасибо
|
[
Ответить ]
|
Re: тяжёлое повреждение локтевого сустава
Отправитель: Данила Курышев 04 Ноябрь 2011, 00:17
|
Здравствуйте, Уважаемый Доктор Бахтамян!
Я лучше перечислю последовательность действий. Поролон укладывается в рану, тапонируя её, либо просто на рану. Плёнка с запасом оборачивается вокруг сегмента конечности, полностью укрывая рану и поролон - можно немного с натягом. кожу вокруг раны можно намазать БФ - это предохранит от спозания плёнки. После этого я делаю так: прокалываю в слоях плёнки отвестие и вводу под них зонд. Можно зонд сразу уложить в канал поролоновой губки и обматывать плёнкой. Плёнка легко прилипает вокруг катетера за счёт своих эластичных свойств. Отверстие в плёнке я обычно герметизирую плёночной липкой наклейкой не очень большого размера - в Москве это доступно и недорого - что то вроде фиксатора венозных катетров, либо прозрачные и непрозрачные медицнские плёнки. На худой конец - этоможет быть скотч. Можно, наверное, использовать замазки, герметики из строительства. Не очень важно. По отводящей трубке системы надо дать разрежение - лучше всего для этого подходит электрооотсос с манометром. поролон мгновенно схлопывается, слои плёнки обжимаются и слипаются. полная гермаетичность не важна, но желаема (для исключения контамнации раны больничной флорой). В поролон можно подавать капельно или микроструйно антисептики или антибиотики в растворах наподобие лаважа - всё уйдёт постепенно в отводящую трубку. Если герметичности не удаётся добиться - это не срашно. сверху ситему можно укрыть фильтрующими повязками. Главное звено - отсос. Его вакуумирующий поток должен быть круглосуточным и большим. Малопроизводительные системы разряжения тут не годятся.
С уважением.
Курышев.
|
[
Ответить ]
|
|
Re: тяжёлое повреждение локтевого сустава
Др.Бахтамян из Еревана 04 Ноябрь 2011, 02:09
|
"дисметаболической нефропатии"
Не совсем понятно...
|
[
Ответить ]
|
Re: тяжёлое повреждение локтевого сустава
Отправитель: Данила Курышев 06 Ноябрь 2011, 00:53
|
Дисеметаболическая нефропатия - расхожий педиатрический термин, опясывающий состояние,когда нарушается кооллоидное равновесие в мочевыжелительной системе, обычно, на тубулярном уровне, что приводит к образованию конкременто в мочевыводящих путях. Взрослые терапевты пишут проще - мочекаменная болзнь.
С Уважением. Курышев.
|
[
Ответить ]
|
Re: тяжёлое повреждение локтевого сустава
Отправитель: Др.Бахтамян из Еревана 06 Ноябрь 2011, 01:02
|
Aaa, слегка понятно, хотя в первый раз слышу! А может это из-за нарушения концентрационной функции? Нет под'ема креатинина ?
Как рана?
|
[
Ответить ]
|
|
( Ответить )
|
|