ВХОД ДЛЯ ПАЦИЕНТОВ
вверх
поиск
админ
главная
|
Укорочение 2 пальца стопы |
 |
 |
 |
Прислано Салихов Рамиль 18 Октябрь 2011, 00:24
из
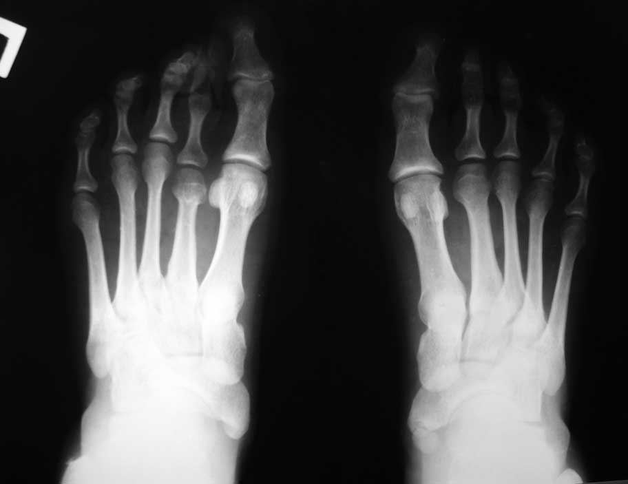
У больной М., 25 лет врожденное укорочение 2 плюсневой кости стопы и, как следствие, 2 пальца в целом.
Палец мешает носить обувь.Имеется тенденция к молоткообразной деформации. Снимки прилагаются. Варианты оперативного лечения?
Обратите внимание: Поля с жирными названиями обязательны.
Старайтесь отвечать в рамках обсуждаемой темы, а не начинать новые обсуждения.
Указывайте адекватную тему сообщения, чтобы было ясно, о чем оно.
Не послайте сообщений не по теме (оффтопик), раздраженных, грубых или обидных комментариев. Здесь это неуместно.
|