вверх
отправить
поиск
админ
главная
Предыдущее
|
Re: Консолидация переломов конечностей, сочетанных с ЧМТ?
Дедок Михаил 23 Октябрь 2011, 02:25
|
Срастаются быстрее.
Нам об этом говорил в РНИИТО им Вредена доцент Соболев.
Убедились сами:
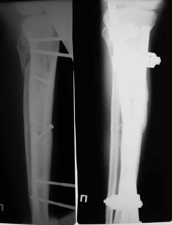
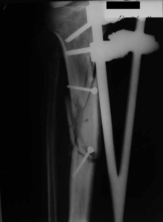
Привожу пример: Пациент с открытой тяжелой ЧМТ.
Диагноз при поступлении: Открытый оскольчатый перелом свода и основания черепа,субдуральная гематома, ушиб головного мозга тяжелой степени. Открытый оскольчатый перелом костей правой голени. Шок 3 Кома 3
По тяжести ЧМТ ( по данным РКТ) выжить был не должен в принципе.
При поступлении оперирован : трепанация, ПХО, остеосинтез голени.
Консолидация в аппарате внешней фиксации к 2 месяцам. Аппарат снят через 2,5 месяца.
Фото в приложении.

А еще один наш травматолог наблюдал случай, когда у бомжа энцефалопата сросся диафизарный перелом бедра со смещением на скелетном вытяжении за 2 месяца полностью, и он ушел с тростью.
|
|
|