Ответить
|
Re: Перелом большеберцовой кости с дефектом дифизарной части
Александр Т. 23 Октябрь 2011, 15:50
|
Уважаемый коллега - пожайлуста добавте прямую проекцию, без нее затруднительно дать корректные рекомендации. С уважением. А.Т.
|
[
Ответить ]
|
Re: Перелом большеберцовой кости с дефектом дифизарной части
Отправитель: Павел 23 Октябрь 2011, 18:27
|

Извините, не загрузились сразу все рентгенограммы.
|
[
Ответить ]
|
|
Re: Перелом большеберцовой кости с дефектом дифизарной части
Alexander Chelnokov 23 Октябрь 2011, 19:39
|
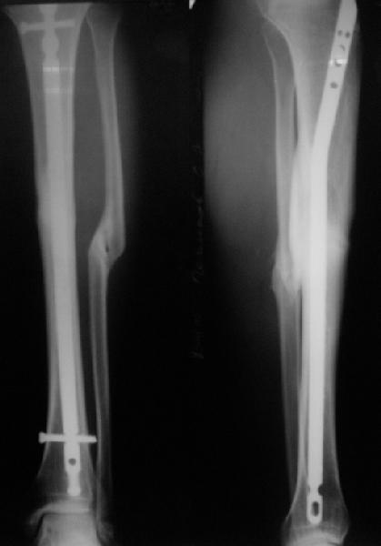
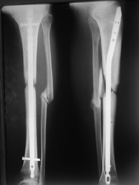
Внедрение одного отломка в другой приведет к укорочению. Резекция с выращиванием резко удлинит срок лечения, вероятно, потребуются еще какие-то операции после завершения дистракции... А самое главное, это избыточные действия. Ведь дефект не сегментарный, краевой контакт есть.
Вполне достаточно закрытого интрамедуллярного остеосинтеза без открытых вмешательств в зоне стыка. Конечно, с рассверливанием. Если есть опасения насчет инфекции, то на гвоздь нанести цемент с ванкомицином.
Гвоздь тут будет эндопротезом диафиза на достаточное время для образования сращения в зоне имеющегося небольшого контакта. И далее страховкой от рефрактур.

Вот пример, тоже открытый перелом, первичный дефект, пробыл в аппарате 5 мес. Титановый гвоздь, сразу динамический, без покрытия. Больше не делали ничего.
|
[
Ответить ]
|
Re: Перелом большеберцовой кости с дефектом дифизарной части
Отправитель: Игорь Девин 25 Октябрь 2011, 00:15
|
Очень убедительно! Можно подробнее про технику нанесения цемента с ванкомицином (почему не с гентамицином)? Не ухудшит ли цемент скольжение гвоздя?, не слетит со штифта? При снятии аппарата в момент замены его на штифт может произойти открытие отломков с инфицированием. Может лучше подождать до заживления кожной раны?
С уважением, И.Девин.
|
[
Ответить ]
|
Re: Перелом большеберцовой кости с дефектом дифизарной части
Отправитель: Alexander Chelnokov 25 Октябрь 2011, 01:04
|
про технику нанесения цемента с ванкомицином (почему не с гентамицином)?
Про изготовление спейсеров и гвоздей с покрытием не раз говорили в последние года 3.
С гентаимцином цемент есть фабричный, если еще и ванко добавить, то они хорошо дополняют друг друга. Надо 1 г ванко на 10 г цемента. Цемент последнеее время предпочитаем для вертебропластики, он пожиже. Если тот, что для эндопротезирования - то либо придется добавить мономера из еще одной ампулы, либо надо сыпать не весь порошок, где-то 3/4. А то с антибиотиком получается слишком густая смесь, в трубку не выдавить.
После размешивания цемент помещается в шприц (пластиковый Жане 150 мл), канюлю лучше укоротить. Цемент нагнетается в силиконовую трубку. В трубку, заполненную цемнтом, засовываем гвоздь. Можно сначала положить в трубку гвоздь, потом вводить цемент.
Лучше сразу отверстия в гвозде наметить, введя в них отрезки спиц. После того, как цемент схватился, трубку вдоль надо разрезать, и снять, как кожуру с банана.
Недавно обнаружили, что в "Медтехнике" отличные трубки есть, самые что ни на есть удобные оказались, даже удается снять ее, не разрезая, то есть цемент не прилипает.
Коллеги из Москвы советуют обратиться за трубкой на предприятие "Медсил" в Мытищах, надеюсь, координаты напомнят, а то я потерял их.
Не ухудшит ли цемент скольжение гвоздя?, не слетит со штифта?
Может сколоться, если очень тонкая цементная мантия получилась - желательно хотя бы 1,5-2 мм. И если канал узковат, то надо рассверлить его на 2, а лучше на 3 мм больше, чем диаметр гвоздя с покрытием.
При снятии аппарата в момент замены его на штифт может произойти открытие отломков с инфицированием. Может лучше подождать до заживления кожной раны?
Конечно, следует избегать образования дефекта кожи с обнажением кости. Поэтому аппарат надо снять только после введения и запирания гвоздя. То есть вводить гвоздь, когда аппаратом до того были полностью восстановлены ось и длина. В операционной удалить спицы/стержни, которые проходят через канал, и оставить в аппарате хотя бы по 1-2 спицы выше и ниже перелома, которые удерживают длину и ось, и не мешают проведению гвоздя.
Если использовать гвоздь с покрытием, инфицирования в ближайшие несколько недель можно не опасаться. И делать кожную пластику (если она понадобится) в циркулярном аппарате менее удобно, чем без него.
|
[
Ответить ]
|
Re: Перелом большеберцовой кости с дефектом дифизарной части
Отправитель: сергей 25 Октябрь 2011, 22:42
|
уважаемый Александр Николаевич какой фирмы Вы используете цемент для формирования мантии на гвозде и спейсере.
|
[
Ответить ]
|
Re: Перелом большеберцовой кости с дефектом дифизарной части
Отправитель: Alexander Chelnokov 30 Октябрь 2011, 01:59
|
Любой доступный.
|
[
Ответить ]
|
|
Re: Перелом большеберцовой кости с дефектом дифизарной части
дмитрий бондарь 26 Октябрь 2011, 00:14
|
Штифт с рассверливанием. Адназначна)));
К сожалению, другие варианты могут привести к проблемам типа в зоне смыкания (при костном транспорте)или к увеличению риска инфекции ври открытых вариантах.Ранняя нагрузка приведёт к сращению. Может быть, повторяю, "возможно" , остеотомия МБК с её последующим транспортом в поперечном направлении и с заполнением дефекта, но штифт проще.(IMHO)
С уважением Д.Б.
|
[
Ответить ]
|
Re: Перелом большеберцовой кости с дефектом дифизарной части
Константин Никитин 29 Октябрь 2011, 19:40
|
А почему в аппарате не оставить?
|
[
Ответить ]
|
Re: Перелом большеберцовой кости с дефектом дифизарной части
Отправитель: Alexander Chelnokov 30 Октябрь 2011, 23:58
|
Можно, конечно, но это может быть очень надолго.
|
[
Ответить ]
|
Re: Перелом большеберцовой кости с дефектом дифизарной части
Отправитель: Дмитрий Бондарь 04 Ноябрь 2011, 00:12
|
Имеется значительный дефект латерального кортекса. Чем его заполнить ? Как ситуацию решит АВФ? Как подобные ситуации разрешить в аппарате? Если есть опыт, поделитесь pls!
D.B.
|
[
Ответить ]
|
|
Re: Перелом большеберцовой кости с дефектом дифизарной части
Др.Бахтамян из Еревана 04 Ноябрь 2011, 02:06
|
Прооперировали ?
|
[
Ответить ]
|
Re: Перелом большеберцовой кости с дефектом дифизарной части
Djoldas Kuldjanov 05 Ноябрь 2011, 21:50
|
При переломах с небольшими краевыми дефектами в большинстве случаев проблему можно решить без особых усилии. Проблема наступает тогда, когда выбирается неадекватный метод фиксации, например применение наружных фиксаторов, где острый “карандаш” костных отломков не создает условия для сращения.
Описано очень много методов восстановления краевых дефектов, и в зависимости от желания дефект можно закрыть открытым или закрытым методом. Из всех предложенных методов предпочтительным является аутопластика из крыла подвздошной кости, но в остром периоде огромный риск осложнений, и желательно с процедурой повременить до безопасного периода. После риминга для восстановления внутриканального кровообращения хватает около 3х недель, а для полного восстановления кровоснабжения конечности надо ждать 6 и более недель.
В лечении переломов с дефектом из методов фиксации, самым популярным является интрамедулярная. Переломы, имеющие более 30% контактной поверхности на гвозде, срастались без дополнительной процедуры. Преимущество гвоздя - это возможность ранней нагрузки, которая создает положительные условия для улучшения трофики мягих тканей. Больные, леченные с ранней нагрузкой в большинстве срастались без необходимости костной пластики.
А тем “энтузиастам”, которые желают продолжить лечение в аппарате, можно рекомендовать технику замещения дефекта участком кортекса. Описание метода можно встретить во всех руководствах Илизарова. Метод хороший, но для достижения сращения необходимо больше времени, и всегда имеется риск вторичного осложнения через прошитые мышц спицами.
В последнее время, вместо дорогих синтетических заменителей кости для пластики применяем более удобный и дешевый метод. Содержание “риминга” является идеальным материалом для аутопластики и через канюлю закрыто можно довести в нужное место.
В дополнение: к популярному методу "гвозди с антибиотическим покрытием" мы рекомендуем следующий алгоритм. До установки окончательного антибиотического гвоздя уточняем чистоту раны “пробами” из канала. Если в пробах имеется наличие анэробной или аэробной инфекции, мы тогда повторяем промывание канала и “debridment” с римером. Заканчиваем процедуру с забором пробы из канала и устанавливаем временный цементный гвоздь. Только чистая рана гарантирует, что сработает окончательно установленный цементный гвоздь, а так надо быть готовым к повторению процедуры иногда несколько раз.
|
[
Ответить ]
|
Re: Перелом большеберцовой кости с дефектом дифизарной части
Кирилл 06 Ноябрь 2011, 22:45
|
1-й этап БИОС с восстановлением длины конечности и сохранением длины дефекта. Далее отпустить пациента на 2-3 недели.
2-й этап доступ к дефекту кости, берем спинальный сетчатый МЭШ, разрезаем вдоль, раскрываем и подводим под штифтом в зоне дефекта, далее кладем туда губки с крыла таза и закрываем МЭШ.
|
[
Ответить ]
|
Re: Перелом большеберцовой кости с дефектом дифизарной части
Дмитрий Бондарь 10 Ноябрь 2011, 23:01
|
Добрый вечер! Использование "сетчатого МЕШ" принципиально? Достоверно ли улучшение качества лечения с применением сетки? Соотношение цена\ качество адекватно?
С уважением Д.Б.
|
[
Ответить ]
|
Re: Перелом большеберцовой кости с дефектом дифизарной части
Отправитель: Кирилл 13 Ноябрь 2011, 17:44
|
Конечно же не принципиально, есть МЭШ Белорусских производителей который относительно не жалко для наших экспериментов.
А вообще можно обложить дефект костями с крыла, взять фрезу 42 или 44 для обработки вертлужной впадины при эндопротезировании. Поводить этой фрезой по наружной поверхности крыла подвздошной кости, полученную "костную муку" добавить в щели между кусками трансплантата
|
[
Ответить ]
|
|
Re: Перелом большеберцовой кости с дефектом дифизарной части
Павел 18 Ноябрь 2011, 21:40
|
Спасибо всем коллегам за помощь! Пока готовил больного к операции БИОС, родителям "надоело" ждать и перевели парня в другой город для билокального остеосинтеза. Ещё раз всем спасибо!
|
[
Ответить ]
|
( Ответить )
|
|