AOTRAUMA.ORG Центр Илизарова  

Ортопедия и травматология Общие вопросы/General questions Help Информационные технологии в медицине
 вверх
 отправить
 поиск
 админ
 главная


дефект бедренной кости при интрамедуллярном остеосинтезе
Ортопедия и травматология Отправлено Александр 28 Октябрь 2011, 00:31
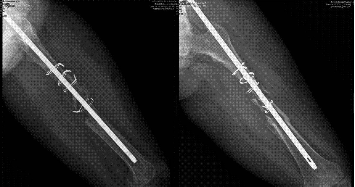
Уважаемые коллеги, выскажите пожалуйста свое мнение.пациентка 19 лет. выполнен остеосинтез стержнем,
в послеоперационном периоде лизирование кости между проволочными петлями. у пациентки укорочение бедра 3,4см.+ дефект 10см.

<  |  >

 

  • Сообщения о Ортопедия и травматология
  • Также Александр
  • Связаться с автором
  • Ответить

    Re: дефект бедренной кости при интрамедуллярном остеосинтезе
    В.Машталов 28 Октябрь 2011, 17:54
    Уважаемый коллега! Неплохо бы знать сроки прошедшие после операции, клинические проявления. Первое, что надо искать - инфкцию,

    [ Ответить ]

    • Re: дефект бедренной кости при интрамедуллярном остеосинтезе
      Отправитель: Alex 28 Октябрь 2011, 17:57
      +1
      Да и укорочение выглядит куда больше чем 3-4 см


      [ Ответить ]
    Re: дефект бедренной кости при интрамедуллярном остеосинтезе
    Гребнев Артем 28 Октябрь 2011, 20:09
    Александр, сколько прошло времени с момента операции? Есть ли признаки инфекционных осложнений?
    Удастся ли одномоментно восстановить длину сегмента?
    Если да, то может быть выполнить БИОС с удалением серкляжа, и дефект восстанавливать с использованием техники Masquelet, что, учитывая молодой возраст, будет предпочтительно.



    [ Ответить ]

    Re: дефект бедренной кости при интрамедуллярном остеосинтезе
    Максим Королев 28 Октябрь 2011, 22:10
    интересно посмотреть снимки до операции
    [ Ответить ]

    Re: дефект бедренной кости при интрамедуллярном остеосинтезе
    Дмитрий 29 Октябрь 2011, 01:40
    Уважаемый Александр, конечно очень мало информации, но исходя из снимков, лизис кости возможно связан с фиброзной дисплазией или опухолью,если конечно вы исключили инфекцию, хотя на снимках не видно воспаления мягких тканей.
    [ Ответить ]

    Re: дефект бедренной кости при интрамедуллярном остеосинтезе
    НДА 29 Октябрь 2011, 02:30
    репозиция небось открытая была и кость небось ободрали изрядно при этом? + серкляжи = результат налицо.
    [ Ответить ]

    Re: дефект бедренной кости при интрамедуллярном остеосинтезе
    Дедок Михаил 29 Октябрь 2011, 18:06
    Гипотрофический ложный сустав (возможно инфицированный) и нестабильность имплантата. Он мигрирует кверху.

    А про ободрали кость.... Не нам судить какова была ситуация интраоперационно. Осложнений не бывает только у того, кто ничего не делает.

    Вариант выбора- БИОС с АБ покрытием и костной аутопластикой.

    [ Ответить ]

    Re: дефект бедренной кости при интрамедуллярном остеосинтезе
    Александр 29 Октябрь 2011, 23:19
    Извиняюсь, за малое количество информации, исправлюсь. травма от июля 2009 года, синтез выполнен через неделю.
    предоперационные снимки и сразу после синтеза очень плохого качества, но дефекта между серкляжами нет. не считая серкляжей репозиция выполнена удовлетворительно. воспалительных явлений в послеоперационном периоде не было, пациентка ходит на костылях не нагружая конечность. ортопедическое укорочение действительно 3 см., выстояние стержня из точки входа сразу после операции выявлено.

    интересно было бы услышать мнения о возможных причинах лизиса, склоняемся к версии о сдавлении серкляжными петлями, что на фоне отсутствия нагрузки дало отрицательный результат.
    [ Ответить ]

    • Re: дефект бедренной кости при интрамедуллярном остеосинтезе
      Отправитель: Alexander Chelnokov 30 Октябрь 2011, 01:56
      мнения о возможных причинах лизиса, склоняемся к версии о сдавлении серкляжными петлями, что на фоне отсутствия нагрузки

      Причина лизиса - появление кровоснабжения аваскулярных (вследствие первичной и операционной травм) участков. Проволока сама по себе ни при чем.

      [ Ответить ]
    Re: дефект бедренной кости при интрамедуллярном остеосинтезе
    Alexander Chelnokov 30 Октябрь 2011, 01:42
    Можно бы убрать стержень и аппаратом восстановить длину. За счет какого уровня - то ли просто закрыто, где потянется, то ли сделать остеотомию дистальнее, то ли и то, и другое - после удаления станет яснее, где какая подвижность есть.
    После восстановления длины бедра - закрыто рассверлить канал, ввести гвоздь и винты потолще. Полагаю, открывать область перелома не понадобится.

    [ Ответить ]

    Re: дефект бедренной кости при интрамедуллярном остеосинтезе
    Др.Бахтамян из Еревана 31 Октябрь 2011, 01:23
    Уважаемый Александр,
    Кончечно же, #1 в этом случае - нестабильный остеосинтез.
    Есть ли вялотекущая инфекция? Какова СОЭ и каков уровень С-реактивного белка? Через 2 года после операции их уровень должен быть в норме!
    Eстественно, первым этапом - удалить гвоздь и на- ложить простейший стержневой аппарат. Я думаю, остеотомия не понадобится (сужу по R-снимкам). И восстанавливать длину недели 2.
    И обязательно - исключить инфекцию! Eсли ее нет - то остеосинтез с рассверливанием и гвоздь со статическим блокированием, а в область перелома -ауто+аллотрансплантаты корикальные+губчатые.
    A если инфекция, то не знаю......
    [ Ответить ]

    Re: дефект бедренной кости при интрамедуллярном остеосинтезе
    Доценко Павел 01 Ноябрь 2011, 14:08
    Мне кажется, что причина в травматичности операции. Фраза "отсутствие нагрузки" так-же важна. Нет нагрузки (при IMO) - нет сращения. хотя мёртвое срастись не может. Удалять фиксаторы (максимально атравматично), костная пластика. Удалить мёртвые свободные костные фрагменты. Риминг. Штифт. Восстановить длину на ортопедическом столе.
    [ Ответить ]

    Re: дефект бедренной кости при интрамедуллярном остеосинтезе
    Др.Бахтамян из Еревана 02 Ноябрь 2011, 16:28
    Что новенького ?
    [ Ответить ]


    ( Ответить )

    Powered by Zope  Squishdot Powered MedLink
    Посетитель: 0189716
      "По форме правильно, а по существу - издевательство" В.И.Ленин
    ©2001-2019Orthoforum Coordinator.
    [ Главная | Отправить сообщение | Поиск | Админ ]