AOTRAUMA.ORG Центр Илизарова  

Ортопедия и травматология Общие вопросы/General questions Help Информационные технологии в медицине
 вверх
 отправить
 поиск
 админ
 главная


Лечение артроза 1 ПФС
Ортопедия и травматология Отправлено Михаил 16 Ноябрь 2011, 00:46
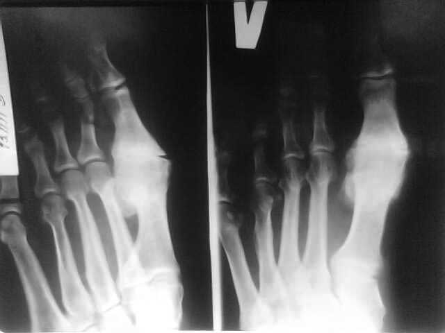
Уважаемые коллеги! Доброго времени суток. Мужчина, возраст 40 лет. Работает на себя(строитель). По характеру профессиональной деятельности часто ронял себе на ногу тяжелые предметы (радиаторы отопления, мешки с сухими смесями и т.д.)
За помощью никогда не обращался. В настоящий момент беспокоят боли в области 1 плюсне-фалангового сустава, нарушающие походку, периодические щелчки в этой области. Объективно: область 1 ПФС увеличена в объеме за счет костных разрастаний, признаков воспаления нет, омозолелая кожа на внутренней поверхности, движения в суставе качательные, б/болезненные. Хочет избавится от боли и щелчков, как можно быстрей. Извините за качество снимка- сфотографировано телефоном.

<  |  >

 

  • Сообщения о Ортопедия и травматология
  • Также Михаил
  • Связаться с автором
  • Ответить

    Re: Лечение артроза 1 ПФС
    Сергей Дукер 16 Ноябрь 2011, 14:56
    1. Артропластика ПФС.
    2. Сheilectomy.
    3. Протезирование ПФС.
    4. Артродезирование ПФС
    [ Ответить ]

    Re: Лечение артроза 1 ПФС
    Бережной Сергей 16 Ноябрь 2011, 15:08
    Основных вариантов 2. Либо хейлэктомия головки 1 плюсневой кости и резекция основания основной фаланги 1 пальца (не менее четверти длины фаланги). Либо артродез 1 плюснефалангового сустава. Резекция технически проще. При правильно наложенной, фиксирующей палец в нужном положении не менее 3 недель повязке, никакая внутренняя фиксация не нужна. Нагрузка в послеоперационном ботинке возможна сразу после операции. Артродез технически сложнее, но считается предпочтительнее для физически активного человека. Если операция до мелочей удалась, то так и есть.
    [ Ответить ]

    • Re: Лечение артроза 1 ПФС
      Отправитель: Михаил 16 Ноябрь 2011, 22:08
      Спасибо! Если артродез, то какая методика предпочительней, послеоперационное ведение? Может быть есть какие-нибудь ссылки?

      [ Ответить ]
      • Re: Лечение артроза 1 ПФС
        Отправитель: Бережной Сергей 17 Ноябрь 2011, 01:38
        Вот пример описания техники: http://faoj.org/2010/04/01/immediate-ambulation-after-a-first-metatarsophalangeal-joint-fusion-using-a-locking-plate-technique-and-case-reports/

        Но вполне можно и попроще, 2 винтами. Пошарьтесь в интернете, информации много.

        [ Ответить ]
    Re: Лечение артроза 1 ПФС
    Александр Т. 17 Ноябрь 2011, 03:26
    Уважаемый Михаил! Если хотите,что-бы пациент в итоге послал Вас подальше - сделайте ему операцию артродеза 1 ПФС! Если Вы хоть раз сталкивались с жертвами подобной операции - они все Вам расскажут в подробностях. при выборе оперативного лечения надо руководствоваться здравым смыслом, функцией (биомеханикой и анатомией). Попробуйте пройтись (а лучше пробежаться) с неподвижным 1 ПФС и Вы все поймете. Оптимальным вариантом в случае такой патологии и указанной Вами профессии пациента будет сохранение подвижности в ПФС с устранением болевого синдрома - наиболее рациональна - артропластика 1 ПФС. Эндопротезирование не подходит пациентам с большими нагрузками на стопы по причине возникающей ранней механической нестабильности. Резекция сустава не дает удовлетворяющего относительно молодых пациентов восстановления функции. /Опыт оперирования около 100 пациентов с артрозами 1 ПФС в течение 10 лет/
    [ Ответить ]

    • Re: Лечение артроза 1 ПФС
      Отправитель: Бережной Сергей 17 Ноябрь 2011, 16:18
      -Попробуйте пройтись (а лучше пробежаться) с неподвижным 1 ПФС и Вы все поймете.

      У представленного пациента движений в суставе давно уже нет, или они лишь качательные. Отсюда название болезни hallux rigidus. Так что он хорошо знает, как это ходить с неподвижным, но болезненным суставом. Артродез же даст ему возможность ходить с безболезненным суставом. Но только правильно выполненный артродез.

      - наиболее рациональна - артропластика 1 ПФС

      Если можно, поясните, что такое артропластика. В зарубежной литературе этим словом называют эндопротезирование. А что имеется в виду в данном случае?

      -Опыт оперирования около 100 пациентов с артрозами 1 ПФС в течение 10 лет/

      Около 100 пациентов в течение 10 лет значит в среднем около 10 в год. То есть меньше одного в месяц. Причем, наверняка с применением разных методик. Делать серьезные выводы на основе такого опыта нельзя. Мировой опыт лечения артроза 1 ПФС говорит о том, что артродез, на сегодняшний день, самая эффективная операция именно для физически активных пациентов. Безусловно, существует понятие кривой обучения. По разным данным для артродеза 1 ПФС она составляет не менее 15-20 операций. Так что с "жертвами" подобной операции нужно очень хорошо разбираться. Жертвами чего они стали, отработанной методики или неточного соблюдения техники операции, применения неадекватных фиксаторов, гипсовых повязок, некорректной установки пальца и т.д. Или просто того, что доктор, делавший операцию, стоял в самом начале кривой обучения, когда неудовлетворительный результат может быть вполне объясним. Но через эту кривую вынуждены в течение жизни неоднократно проходить все хирурги. Будет она длинной или короткой зависит от нас, от системы обучения, от много еще чего. Но она все равно будет. И если операция того же артродеза единственная и других в обозримом будущем не планируется, лучше сделать что-то технически более простое. Если же соответствующие больные есть и есть перспектива других операций, тогда нужно начинать. Почитайте, посмотрите видео (например, здесь: http://www.efort.org/), потренируйтесь в морге. Глядишь и получится хорошо даже с первого раза.


      [ Ответить ]
      • Re: Лечение артроза 1 ПФС
        Отправитель: Александр Т. 19 Ноябрь 2011, 01:02
        - Так что он хорошо знает, как это ходить с неподвижным, но болезненным суставом. Артродез же даст ему возможность ходить с безболезненным суставом/
        С таким успехом и протезировать тазобедренные и коленные суставы не надо - ведь пациент и так "хорошо знает, как это ходить с неподвижным, но болезненным суставом". Отсюда следует вывод - только артродез, только "правильный"??? Принцип ортопедии - не консервирование имеющегося статуса, а стремление к восстановлению функции (в том числе утраченной) и повышению качества жизни.

        - Глядишь и получится хорошо даже с первого раза/
        Хотелось бы уточнить Ваш опыт оперативного лечения подобных пациентов и где Вы их "берете оптом", что бы оперировать каждый день? Что-то нигде не слышал про бурный поток подобных пациентов.Прежде чем давать такие коментарии следует, хотя бы из вежливости указать свой опыт в данной сфере!

        - Если можно, поясните, что такое артропластика. В зарубежной литературе этим словом называют эндопротезирование/
        Если Вы заметили я пишу на русском языке, а не каком то другом. В этом саморм (столь экзотичном для исследователя литературы) под артропластикой традиционно подразумевают костно-пластические операции направленные на восстановление функции сустава без использования эндопротезов. Так же переломы называют переломами, а не только "бон фракча"ми.

        - Мировой опыт лечения артроза 1 ПФС говорит о том, что артродез, на сегодняшний день, самая эффективная операция именно для физически активных пациентов/

        Тот же мировой опыт широко рекламирует и хейлэктомию, называя ее "самой эффективной операцией именно для физически активных пациентов" и то-же говориться про эндопротезирование и т.д. Видите ли выбор методики зависит не только от позиции врача, но и позиции страховых фирм. А для последних важна минимализация расходов и издержек разного рода, которые не всегда совпадают с желаниями пациентов и врачей. Модный не значит лучший, не значит оптимальный, это просто модный. Почитайте форумы пациентов, прошедших через весь спектр операций на 1 ПФС (Вы ведь так цените мировой опыт и я думаю, их английский Вас устроит) и хоть немного проанализируйте отзывы по отдаленному результату.
        Good luck!!!

        [ Ответить ]
        • Re: Лечение артроза 1 ПФС
          Отправитель: Бережной Сергей 20 Ноябрь 2011, 04:17
          -Прежде чем давать такие коментарии следует, хотя бы из вежливости указать свой опыт в данной сфере!

          Боже упаси, не хотел никого обидеть своим комментарием. Сам постоянно оказываюсь в начале кривой обучения и стараюсь максимально сокращать ее. В морге работаю регулярно. Читаю. Езжу учиться. Операции новые иногда с первого раза получаются. Но, к сожалению, не всегда. Сегодняшний опыт около 200 операций на переднем отделе стопы в год. Из них около 15% - повторные. Так вот, до сих пор мне не попалось ни одного пациента после неудачного артродеза 1 ПФС. Но, может, потому что их в принципе слишком мало? Свой опыт артродезов очень скромный. Поэтому ориентируюсь на мировой.

          -Тот же мировой опыт широко рекламирует и хейлэктомию.

          Так я и рекомендовал на первом месте хейлэктомию с резекцией основания основной фаланги. Если Вы это назвали артропластикой, то мы говорим об одном.

          -Почитайте форумы пациентов, прошедших через весь спектр операций на 1 ПФС (Вы ведь так цените мировой опыт и я думаю, их английский Вас устроит)

          Почему только английский? По многим аспектам хирургии стопы на лидирующих позициях сейчас французы и испанцы. А они на английском не любят писать. Кстати, в одной испанской книжке мне впервые встретилось очень точное определение hallux rigidus как артроза метатарсофалангосесамовидного комплекса первого луча. Как раз про обсуждаемый случай.
          И если можно, пришлите хоть одну ссылку на форум с обсуждением результатов артродеза. Мне не удалось найти.


          [ Ответить ]
    Re: Лечение артроза 1 ПФС
    Олег 18 Ноябрь 2011, 22:22
    Это типичный Hallux rigidus в достаточно запущенной стадии: деформации костей, массивные костные разрастания, выраженное ограничение функции. Возможные варианты лечения - артродез или артропластика 1 ПФС.
    По поводу артродеза могу сообщить следующее. Вы навсегда (если получится) замыкаете 1 ПФС, а он, как известно, не лишний. При ходьбе становится затруднительным как перекат, так и задний толчок (на Диаследе видно наглядно), ходьба становится варусной. Возникающее переразгибание дистальной фаланги 1 пальца больных беспокоит мало, а вот проблемы с голеностопным суставом заставляют обращаться к врачам. Кстати, все эти нарушения биомеханики у таких больных уже имеются, и операция артродеза 1 ПФС их не решает.
    Для уменьшения проблем при артродезировании все рекомендуют фиксировать фалангу под углом к тылу (ориентировочно 7 - 15 градусов) и кнаружи (столько же). Однако при большой длине пальца этого будет достаточно, чтобы больной не смог одеть стандартную обувь. Поэтому нужно укорачивать (этого уже никто не рекомендует) кости до того уровня, чтобы межфаланговый сустав оказался на уровне плюснефалангового. Всё это малоприемлемо по косметическим соображениям. Кроме того, пациентки скажут Вам отдельное спасибо за невозможность носить обувь на каблуке в принципе.
    Варианты фиксации разные: различные пластины, винты канюлированные или обычные, спицы, банальная иммобилизация лонгетой.
    Резекционная артропластика кажется более предпочтительной в данном случае. Варианты:
    1) резекция экзостозов головки 1 плюсневой кости + резекция основания проксимальной фаланги 1 пальца (желательно для большего объёма движений опил фаланги укрыть лоскутом капсулы или Артелоном MTP). Сохраняется нагрузка на головку 1 плюсневой кости, увеличивается амплитуда движений в 1 ПФС, ходьба нормализуется, болевой синдром проходит (реально через 1  2 месяца).
    2) резекция головки 1 плюсневой кости в разных вариантах. Вероятно развитие вторичных осевых деформаций 1 пальца или анкилоз 1 ПФС.
    3) эндопротезирование 1 ПФС. Ближайший результат будет хорошим, отдалённый  сомнительный (из-за большой нагрузки на 1 плюсневую кость при ходьбе).
    В своей практике используем 1 вариант артропластики. Количество наблюдений  около 50 за 10 лет. Артродез 1 ПФС делал 1 раз (у пациентки 8 операций в анамнезе по поводу Hallux valgus за 20 предшествующих лет. От основной фаланги остался фрагмент длиной менее 1,5 см, его и фиксировал пластиной. С углами угадал, пациентка довольна. Наблюдение 10 месяцев). Эндопротезирование 1 ПФС в ближайших планах.
    Удачи!

    [ Ответить ]


    ( Ответить )

    Powered by Zope  Squishdot Powered MedLink
    Посетитель: 0187316
      "По форме правильно, а по существу - издевательство" В.И.Ленин
    ©2001-2019Orthoforum Coordinator.
    [ Главная | Отправить сообщение | Поиск | Админ ]