AOTRAUMA.ORG Центр Илизарова  

Ортопедия и травматология Общие вопросы/General questions Help Информационные технологии в медицине
 вверх
 отправить
 поиск
 админ
 главная


Травма кисти
Ортопедия и травматология Отправлено Бен. Э. М. 04 Декабрь 2011, 04:50
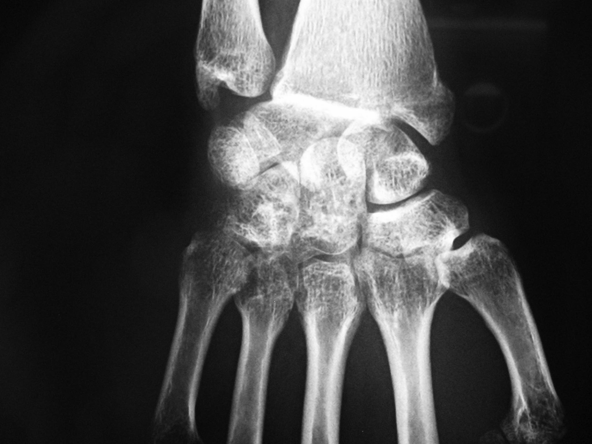
травма месячной давности, на сегодняшний день мы имеем неправильно сросшийся перелом шиловидного отростка лучевой кости, вывих полулунной кости и альгодистрофию лучезапястного сустава.
какова оптимальная тактика лечения?

<  |  >

 

  • Сообщения о Ортопедия и травматология
  • Также Бен. Э. М.
  • Связаться с автором
  • Ответить

    Re: Травма кисти
    Максим 06 Декабрь 2011, 09:28
    пожалуйста, загрузите R-n в прямой проекции.
    [ Ответить ]

    Re: Травма кисти
    Бен. Э. М. 07 Декабрь 2011, 01:53


    прямая проекция

    [ Ответить ]

    • Re: Травма кисти
      Отправитель: SAGo 07 Декабрь 2011, 21:43
      Тянуть, а потом открыто вправлять.

      [ Ответить ]
    Re: Травма кисти
    Бережной Сергей 07 Декабрь 2011, 17:29
    Вероятнее всего, речь идет о более сложной, чем чресшиловидноперилунарный вывих кисти травме. Лечение оперативное. Чтобы оценить полный объем повреждения нужны рентгенограммы в дополнительных проекциях, а лучше всего - КТ.
    [ Ответить ]


    ( Ответить )

    Powered by Zope  Squishdot Powered MedLink
    Посетитель: 0392397
      "По форме правильно, а по существу - издевательство" В.И.Ленин
    ©2001-2019Orthoforum Coordinator.
    [ Главная | Отправить сообщение | Поиск | Админ ]