ВХОД ДЛЯ ПАЦИЕНТОВ
вверх
поиск
админ
главная
|
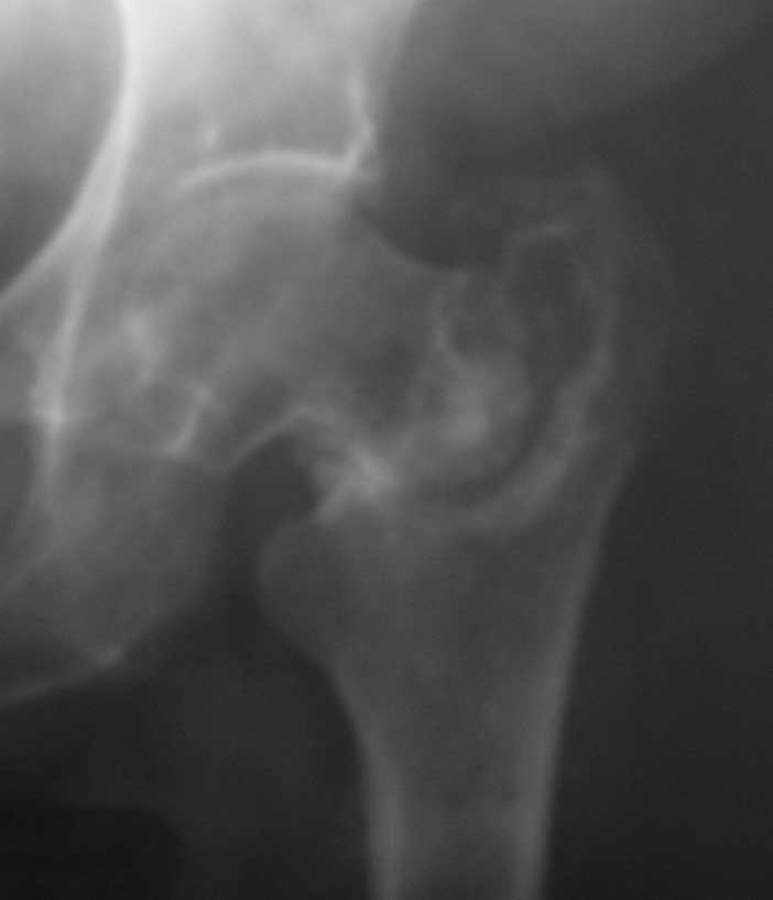
Ложный сустав базальной части шейки бедра |
 |
 |
 |
Прислано Виктор 06 Декабрь 2011, 22:56
из
Больная 61 год. Травма 1 год назад – закрытый базальный перелом бедренной кости без смещения.
Перелом рентгенологически был диагностирован только через 6 недель (на первичных снимках не визуализировался, КТ не проводилось, повторную травму отрицает). Проведен курс консервативного лечения (ходьба на костылях без опоры на левую ногу до 4-х месяцев, ЛФК, физиолечение и т.п.).
В настоящее время передвигается при помощи костылей с незначительной опорой на левую ногу. Больная страдает сахарным диабетом.
Возможные варианты лечения: 1) Тотальное эндопротезирование.
2) Ревизия ложного сустава, возможно костная пластика, МОС углообразной пластиной 130, DHS, AFN.
Обратите внимание: Поля с жирными названиями обязательны.
Старайтесь отвечать в рамках обсуждаемой темы, а не начинать новые обсуждения.
Указывайте адекватную тему сообщения, чтобы было ясно, о чем оно.
Не послайте сообщений не по теме (оффтопик), раздраженных, грубых или обидных комментариев. Здесь это неуместно.
|