AOTRAUMA.ORG Центр Илизарова  

Ортопедия и травматология Общие вопросы/General questions Help Информационные технологии в медицине
 вверх
 отправить
 поиск
 админ
 главная


Ложный сустав н/3 бедра
Ортопедия и травматология Отправлено Константин Никитин 07 Декабрь 2011, 23:52
Уважаемые коллеги помогите выбрать метод лечения пациента.
Год назад производственная травма с обширной раной н/3 бедра. Оперирован на Севере спице-стержневым аппаратом.
В анамнезе -В настоящий момент рана бедра зажила, аппарат Илизарова снят. Из спицевых ран гнойное отделяемое. Из области раны отделяемого не было.
Как мне мыслится, при отсутствии гнойного процесса открыть место перелома, периостально выделить осколки, произвести интрамедуллярный остеосинтез ретро-, или антеградным стержнем и жизнеспособные осколки по возможности уложить в дефект,вокруг штифта.

<  |  >

 

  • Сообщения о Ортопедия и травматология
  • Также Константин Никитин
  • Связаться с автором
  • Ответить

    Re: Ложный сустав н/3 бедра
    Dr.Stupka 08 Декабрь 2011, 14:12
    Здравствуйте. Необходимо убедиться в отсутствии распространения перелома на сустав, и выполнить остеосинтез стержнем с цементом, можно через сустав. Если имеется подозрение на инфекцию в области перелома, то необходимо открыться, убрать нежизнеспособные ткани и цементный спейсер на стержне. В дальнейшем как предлагает Павел Иванов после стихания инфекционного процесса, можно повторно открыться, удалить спейсер и заместить полость костной пластикой.
    [ Ответить ]

    Re: Ложный сустав н/3 бедра
    Alexander Chelnokov 08 Декабрь 2011, 23:40
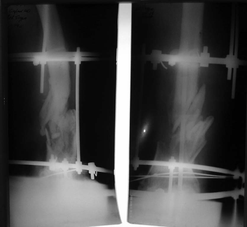
    Пациент лечится, полагаю, достаточно времени, чтобы сделать снимки на всем протяжении с захватом обоих суставов. И показать для обсуждения именно такие снимки, а не огрызки.
    Пока по увиденному думается про закрытый интрамедулярный остеосинтез гвоздем антибактериальным покрытием (можно и анте, и ретроградно) без открытых вмешательств на зоне несращения.
    До этого лучше аппаратом подправить ось и длину. И наконец сделать и показать нормальные снимки здесь. Возможно, удастся уточнить какие-то важные детали.
    [ Ответить ]

    • Re: Ложный сустав н/3 бедра
      Отправитель: Константин Никитин 10 Декабрь 2011, 00:20
      Александр, я привел те снимки, которые были. Пациент обратился за консультацией, и других снимков не было.
      Объясните пожалуйста, как можно установить штифт не открывая места перелома в данном случае, ведь осколки перекрывают костно-мозговой канал и не дадут правильно попасть в дистальный отломок. Растянуть конечность по оси, что бы осколки приняли правильное местоположение, не закрывающее канал для штифта, кажется затруднительным, т.к. образовался уже малоподвижный конгломерат из этих осколков и окружающих мягких тканей.

      [ Ответить ]
      • Re: Ложный сустав н/3 бедра
        Отправитель: Сергей Шакола 10 Декабрь 2011, 13:17
        Уважаемый Константин Никитин! Коррекцию смещения по длине лучше провести дозированно в аппарате, т.к одномоментная открытая репозиция и БИОС будут весьма травматичными процедурами. Не получится потянуть закрыто - возможна остеоклазия, чреcкожная остеотомия. Спустя год после травмы при отсутствии признаков инфекции в зоне перелома, наверное, не стоит выяснять со скальпелем в руках жизнеспособность костных осколков. Необходимо подготовиться к техническим проблемам при прохождении зоны несращения. У нас, также как, вероятно , и у Вас нет разверток, которыми пользуется Александр Николаевич. Помогают специальные шилья , изготовленные из длинных стержней Шанца, удлиненные сверла( приваренные к направителям ), обычные гибкие развертки. Ретроградно будет легче попасть в канал, но - возможен гонит? Недавно ( 26.11.2011 конференция DePuy ) П.А.Иванов приводил свою статистику по остеосинтезу бедра стержнями с антибактериальным покрытием (на 45 наблюдений - 1 DFN) и упомянул о риске развития осложнения со стороны коленного сустава. Вы не уточнили функцию коленного сустава - все таки больше года в аппарате. Выраженная контрактура может также осложнить дистальное введение. За время аппаратной коррекции у Вас будет время определиться с видом возбудителя и активностью воспалительного процесса в зоне удаленных спиц. А сделать в открытую никогда не поздно, но стоит ли?
        C уважением Серге Шакола.



        [ Ответить ]
      • Re: Ложный сустав н/3 бедра
        Отправитель: Alexander Chelnokov 10 Декабрь 2011, 13:18
        Приветствую,

        > Александр, я привел те снимки, которые были. Пациент обратился за консультацией, и других снимков не было.

        Стесняюсь спросить, а рентгеновский кабинет поблизости есть, может быть? Мы как-то привыкли, что если пациент приходит с неприемлемыми снимками, сразу делаем, какие надо, и вся недолга.

        > Объясните пожалуйста, как можно установить штифт не открывая места перелома в данном случае, ведь осколки перекрывают костно-мозговой канал и

        Канал легко формируется острыми развертками. Снимки почему и надо видеть и свежие, и захватывающие все бедро, что это поможет определить конкретный план действий. Если есть еще подвижность - аппаратом можно подправить ось, или если уже сращение - то делать чрескожную остеотомию, надо думать где, и потом то ли аппаратом постепенно подправить, толь одномоментно штифтовать.

        [ Ответить ]
    Re: Ложный сустав н/3 бедра
    Юрий Алексеевич Булахтин 11 Декабрь 2011, 21:40
    Уважаемый Константин!

    Свежие снимки, КТ, анализы - может инфицирования там и нет?
    Отсюда и тактика...

    С уважением и наилучшими пожеланиями,
    Юрий Алексеевич Булахтин
    Камчатский Военно-морской госпиталь
    [ Ответить ]


    ( Ответить )

    Powered by Zope  Squishdot Powered MedLink
    Посетитель: 0192309
      "По форме правильно, а по существу - издевательство" В.И.Ленин
    ©2001-2019Orthoforum Coordinator.
    [ Главная | Отправить сообщение | Поиск | Админ ]