AOTRAUMA.ORG Центр Илизарова  

Ортопедия и травматология Общие вопросы/General questions Help Информационные технологии в медицине
 вверх
 отправить
 поиск
 админ
 главная


Ложный сустав костей левой голени
Ортопедия и травматология Отправлено Марат Кадиев 12 Декабрь 2011, 03:10 МУ ГБ№1 отделение Сочетанной травмы г. Махачкала
Травма в результате ДТП в 2004г., в анамнезе 4 операции
(АВФ, пластина, АВФ, фиксация винтом+ гипсовая лонгета(смысл не ясен)... )Мед. документацию по данному заболеванию больной не предоставил, всё со слов больного. Помогите определиться с тактикой лечения. Мы планируем произвести резекцию ложного сустава обеих костей левой голени, билокальный остеосинтез в аппарате Илизарова с компактотомией в/3 б/б кости. спс.

<  |  >

 

  • Сообщения о Ортопедия и травматология
  • Также Марат Кадиев
  • Связаться с автором
  • Ответить

    Re: Ложный сустав костей левой голени
    Schakola Sergey 14 Декабрь 2011, 11:07
    Уважаемый Марат! Для ответа на Ваш вопрос недостаточно информации
    1. Состояние мягких тканей ( фото! )
    2. Наличие признаков инфекции ( в т.ч и в анамнезе )
    3. Возможно ли одномоментное устранение деформации и есть ли укорочение конечности ( сколько? )
    С уважением С.Шакола

    [ Ответить ]

    Re: Ложный сустав костей левой голени
    Нияз 16 Декабрь 2011, 02:31
    Уважаемый Марат! Одномоментно будет тяжело восстановить данного пациента , Вам предстоит титанический труд и участие, понимание этого у пациента также важно.
    Предлагаю остеотомию ложного сустава, дозированное,постепенное выведение угловых деформаций, измерение длины -укорочения, до 3см- смело резецировать и монолокально с укороченим синтезировать в АВФ. Можно с костной пластикой если нет инфекции.
    Билокальный остесинтез потребуется если уорчение больше 3см- сборить ткани будет тяжело.
    Удачи Вам.

    [ Ответить ]

    Re: Ложный сустав костей левой голени
    ADAM 17 Декабрь 2011, 01:55
    Уважаемый Марат! Приветствую! Отправьте этого больного в РОТЦ там ему сделают закрытую репозицию, наложат гипсовую лонгету, а если ему повезет то может еще и скелетное вытяжение наложат)))))))))))))))
    [ Ответить ]

    Re: Ложный сустав костей левой голени
    Марат Кадиев 17 Декабрь 2011, 13:04
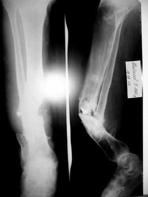
    Добрый день. Мягкие ткани пациента конечно не в самом лучшем состоянии. Кожные покровы несколько гиперемированы, в п/о рубцах. Произведена резекционная секвестронекроэктомия обоих костей голени и фиксация в аппарате Илизарова. Укорочение конечности около 4,5 см. Кожные покровы не иссекли, ушили наглухо с дренированием.
    Уважаемый ADAM, больной уже побывал неоднократно в РОТЦ и по всей видимости больше туда не хочет.

    Кликните для загрузки файла 5.JPG
    79KB (81841 bytes)

    [ Ответить ]


    ( Ответить )

    Powered by Zope  Squishdot Powered MedLink
    Посетитель: 0174250
      "По форме правильно, а по существу - издевательство" В.И.Ленин
    ©2001-2019Orthoforum Coordinator.
    [ Главная | Отправить сообщение | Поиск | Админ ]