AOTRAUMA.ORG Центр Илизарова  

Ортопедия и травматология Общие вопросы/General questions Help Информационные технологии в медицине
 вверх
 отправить
 поиск
 админ
 главная


Таз
Ортопедия и травматология Отправлено Петр 21 Декабрь 2011, 15:15
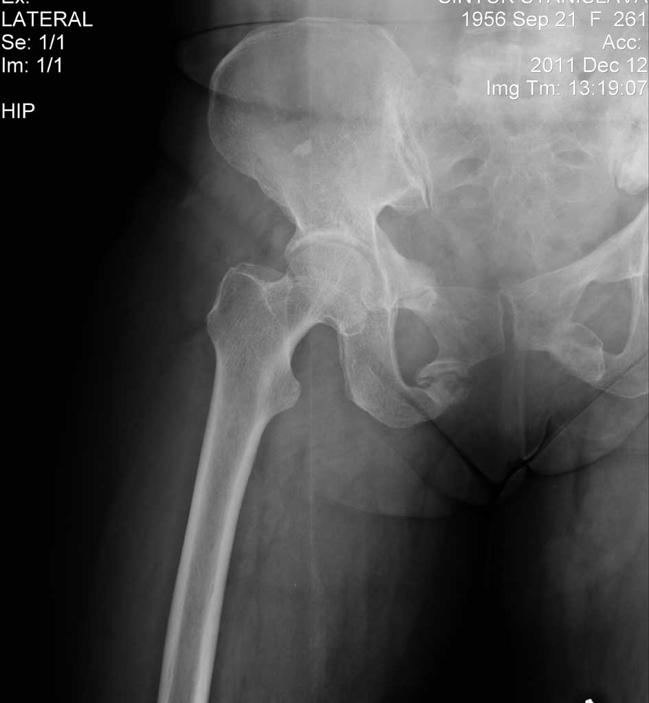
Добрый день. Есть вопрос относительно тактики лечения, синтеза(доступа, фиксатора).
Травма 3 года назад , перелом типа "бабочки".В настоящее время беспокоят боли в области лонной кости при стоянии и ходьбе, в покое все спокойно.

<  |  >

 

  • Сообщения о Ортопедия и травматология
  • Также Петр
  • Связаться с автором
  • Ответить

    Re: Таз
    Djoldas Kuldjanov, M.D. 22 Декабрь 2011, 03:09
    Данных для нормального разбора не хватает, материал предоставлен не в полном объеме. Если про возраст пациента можно догадаться по записи на рентгене, то остальные важные детали анамнеза, например, профессия, активность, сопутствующие заболевания, проведенное лечение, а также результат клинического осмотра отсутствует.
    А так изолированные переломы таза типа "бабочки" срастаются в течение 3-4 недель без последствий, и проявления клинических симптомов после 3 лет говорит о последствии перелома - нестабильности таза. Для нормального снимка таза тубус рентгена можно было сдвинуть на 15 см влево и, кстати, там с левой стороны видно, что перелом с вовлечением левой стороны таза. Нужно полное обследование таза, рентген: прямой, инлет и оутлет, а также КТ срезы.


    [ Ответить ]

    Re: Таз
    нагмет 22 Декабрь 2011, 21:20
    переломы срослись в порочном положении. такие смещение обычно сочетаются с повреждением в заднем полукольце. его надо искать

    [ Ответить ]

    Re: Таз
    Игорь Кучерявый 23 Декабрь 2011, 08:04
    Петр, по имеющимся исходным данным (половина таза в прямой проекции) ждать каких либо конкретных советов по лечению от форумских гуру я думаю не стоит
    - их просто не может быть, т.к. поставить точный диагноз данного повреждения невозможно. Нельзя лечить (возможно вертикально нестабильный перелом) по такому снимку.


    С уважением,
    Кучерявый Игорь,
    г. Сергиев Посад.

    [ Ответить ]

    Re: Таз
    Ерсин Жунусов 25 Декабрь 2011, 23:51
    Доброго времени суток! судя по рентгенограмме у пациента ложный сустав лонной кости. Как сложатся остальные мнения не знаю но мы закрыто зафиксировали бы винтом тем самым разрушается замыкательная пластина и склероз в зоне ложного сустава, малотравматично и низкий риск осложнения я имею ввиду нагноение раны, а еще до операции провести КТ, посмотреть задний комплекс, нередко выявляется переломы боковой массы крестца со сдавливанием крестцового отверстия боли могут быть связаны с неврологией тогда тактика может измениться в отношении фиксации заднего комплекса. С уважением Ерсин Жунусов.
    [ Ответить ]


    ( Ответить )

    Powered by Zope  Squishdot Powered MedLink
    Посетитель: 0174135
      "По форме правильно, а по существу - издевательство" В.И.Ленин
    ©2001-2019Orthoforum Coordinator.
    [ Главная | Отправить сообщение | Поиск | Админ ]