AOTRAUMA.ORG Центр Илизарова  

Ортопедия и травматология Общие вопросы/General questions Help Информационные технологии в медицине
 ВХОД ДЛЯ ПАЦИЕНТОВ
 вверх
 поиск
 админ
 главная


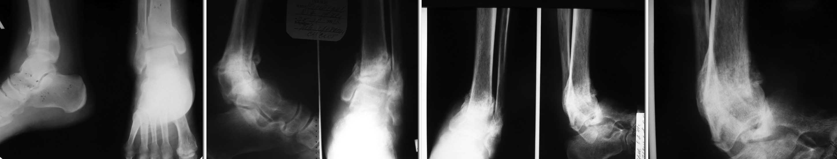
Патологический перелом голени с исходом в вывих
Ортопедия и травматология Прислано Дмитрий Ш 26 Декабрь 2011, 02:50
из
Прошу уважаемых коллег высказать мнение по следующему случаю.
Пациент 40 лет, получает в течение 5 лет постоянно терапию ГКС по поводу саркоидоза легких и болезни Бехтерева .
в начале лета сего года подвернул ногу. Появились умеренные боли при ходьбе, постепенно усиливались, через пару недель обратился в поликлинику к хирургу. Выполнена р-графия (1 снимок) Выявлен перелом, рекомендовано "ходить потихоньку с тростью" (со слов пациента). В октябре повторное обращение и контрольная р-графия из за усиления болей - выявлен ложный сустав, (снимок 2 ) Пациент начал ходить по консультантам. К нам обратился к декабрю, боли усилились значительно. Р-логически - полный передний вывих стопы (последняя пара рентгенограмм), однако пациент ходит с тростью. Возникли вопросы: первый и главный - как помочь?
Мы обсуждали вариант артродеза голеностопного сустава, но может еще есть варианты?
- Ждать ли проблем с консолидацией в зоне артродеза из-за наличия срастающегося перелома рядом?
-может операцию отложить до сращения ложного сустава, или пытаться всех зайцев убить сразу большим костным трансплантатом или мощным фиксатором...
В общем будем рады рассмотреть любое суждение.
Спасибо заранее.
p.s фото стопы под нагрузкой весом тела в следующем комментарии

Послать ответ

Имя
Email
Уведомление Сообщить мне по e-mail об ответах на это сообщение
Название
Комментарий
(Проверьте URL! Не забудьте написать http://!)
Кодировка
Если не знаете, что выбрать, выберите "Просто текст"!
Приложение
Можно приложить к сообщению файл c изображением, который затем будет доступен увидевшим сообщение.
Подготовка иллюстраций:
  • Рентгенограммы: черно-белые полутоновые изображения в формате JPEG (8 bit, greyscale) с разрешением от 300х200 до 1024х768 пикселов;
  • Клинические фотографии: полноцветные изображения в формате JPEG (24 bit, truecolor) с разрешением от 300х200 до 1024х768 пикселов;
  • Схемы и рисунки: черно-белые (2 bit) штриховые (line-art) изображения в формате GIF или compressed TIFF
  • Подберите степень сжатия файла JPEG и размер изображения таким образом, чтобы необходимые детали были различимы, но размер файла не превышал 75 кб.
  • Учтите, что текущая версия программного обеспечения Форума позволяет приложить к одному сообщению лишь один файл-вложение. Поэтому, если необходимо отправить несколько изображений, можно либо послать каждое как отдельное сообщение, либо в графическом редакторе объединить изображения в одно (сделать коллаж).
  • Если при подготовке изображений встречаются трудности, не стесняйтесь обратиться к координатору Форума.

  • Введите видимые символы в обратном порядке. Enter the above characters in reverse order (*Обязательно)
    В тексте сообщения можно использовать теги HTML <B> <I> <P> <A> <LI> <OL> <UL> <EM> <BR> <TT> <HR> <STRONG> <BLOCKQUOTE> <DIV .*> <DIV> <P .*>
  • Обратите внимание: Поля с жирными названиями обязательны.
  • Старайтесь отвечать в рамках обсуждаемой темы, а не начинать новые обсуждения.
  • Указывайте адекватную тему сообщения, чтобы было ясно, о чем оно.
  • Не послайте сообщений не по теме (оффтопик), раздраженных, грубых или обидных комментариев. Здесь это неуместно.
  • Powered by Zope  Squishdot Powered MedLink
    Посетитель: 0000216
      "По форме правильно, а по существу - издевательство" В.И.Ленин
    ©2001-2019Orthoforum Coordinator.
    [ Главная | Отправить сообщение | Поиск | Админ ]