AOTRAUMA.ORG Центр Илизарова  

Ортопедия и травматология Общие вопросы/General questions Help Информационные технологии в медицине
 вверх
 отправить
 поиск
 админ
 главная


Перелом проксимального конца бедренной кости при сочетанной травма - тактика лечения
Ортопедия и травматология Отправлено Бережной Сергей 14 Январь 2012, 21:50
Уважаемые коллеги. Прошу поделиться мнениями относительно хирургического лечения в представляемом случае.
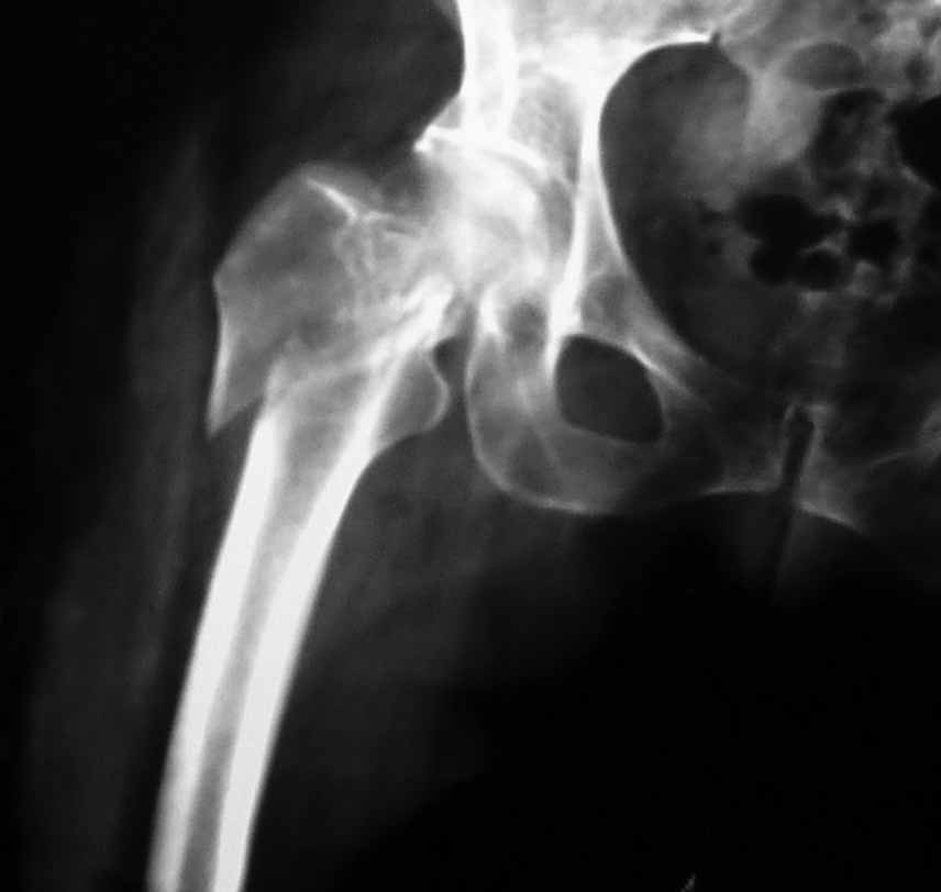
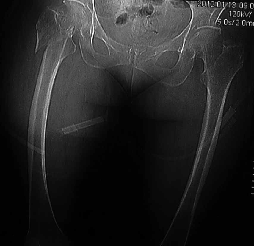
Пациентка 53 лет. ДТП 09.01.12: сочетанная травма: перелом 2-5 ребер справа, ушиб легких; перелом обеих лонных костей без смещения; закрытый перелом проксимального конца правой бедренной кости; открытый оскольчатый внутрисуставной перелом проксимальных концов костей правой голени.

По месту первичной госпитализации произведена хирургическая обработка раны передней поверхности голени (область бугристости б/берцовой кости), наложено скелетное вытяжение за пятку.
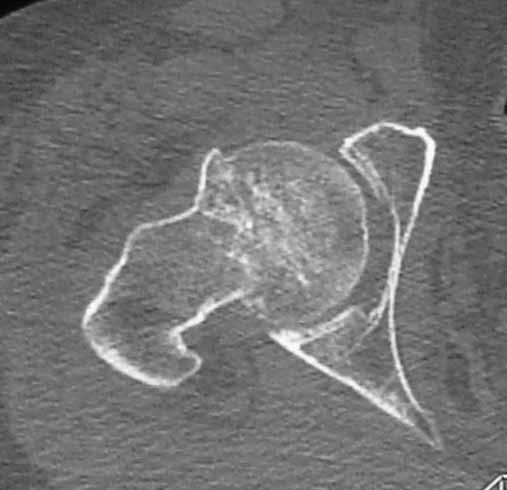
В нашей клинике 11.01 выполнен минимально инвазивный остеосинтез большеберцовой кости (снимки до операции не перефотографировал) с пластикой перемещенными лоскутами дефекта, образовавшегося вследствие некроза кожи на передней поверхности голени. Бедро одномоментно делать не стал, не было уверенности в наличии перелома на уровне шейки. Во время операции смотрел тазобедренный сустав под ЭОПом, головка неподвижна. После операции повторили КТ, стало очевидно, что имеется субкапитальный перелом.

Что делать, остесинтез или протезирование? Если остеосинтез, то чем?

Заранее благодарен за советы.

<  |  >

 

  • Сообщения о Ортопедия и травматология
  • Также Бережной Сергей
  • Связаться с автором
  • Ответить

    Re: Перелом проксимального конца бедренной кости при сочетанной травма - тактика лечения
    Alexaner Chelnokov 15 Январь 2012, 11:56
    Конечно, остеосинтез - любой рекон гвоздь или PFN.
    [ Ответить ]

    Re: Перелом проксимального конца бедренной кости при сочетанной травма - тактика лечения
    Максим Королев 15 Январь 2012, 12:53
    Синтезировать-проксимальным бедренным штифтом.
    [ Ответить ]

    Re: Перелом проксимального конца бедренной кости при сочетанной травма - тактика лечения
    Павел Константинович 15 Январь 2012, 23:37
    Учитывая тяжесть, возраст больной, а также характер перелома - чрезвертельный оскольчатый осложненный переломом костей таза о остеосинтезе как методе речи быть не может. Вертлужная впадина по КТ выглядит обнадёживающе лишь на первый взгляд - коксартроз и нещадящий остеопороз своё дело сделал. Надо уменьшить шоковый индекс и тяжесть травмы вот в чем дилема, а наносить травму, каковой операция является на раннем этапе несколько опасно. Золотое правило - срочности в ортопедии нет - здесь работает. Сустав однозначно нужно менять, но позже, когда состояние будет абсолютно стабильным, т.к. после травмы появятся подстёгиваемые гиподинамией "подснежники",активно привлекайте смежных специалистов - терапевта, невролога, эндокринолога. Вытяжение за пятку не достаточно, замените, за невозможностью через бугристость болшеберцовой кости, вытяжением через мыщелки бедра (интактным оно уже не является), плюс боковое вытяжение за проксимальную часть бедра посредством тяги за введенный стержень Кюнчера (допустима тяга порядка 6 килограмм!!) Лечение на пол месяца.Далее пациентку, если она не абсолютная бабушка,ждёт этапная операция, если возникнет необходимость, т.к.инвалидизация лучше чем полное обездвиживание. Стержень с блокированием (PFN) средней длины но не короткий (Вы заикнулись о ЭОПе, значит навык есть.). Не торопитесь коллега. Чуть не забыл, тотальное протезирова ние редко используется в сочетании с блокированным остеосинтезом по причине большого дефекта костных структур,выбирать Вам.Вопрос тяжелый и требует более опытного взгляда, чем мой. Как говорится, за спрос не бьют. Извините, что не смог помочь лучше.
    [ Ответить ]

    • Re: Перелом проксимального конца бедренной кости при сочетанной травма - тактика лечения
      Отправитель: Андрей Волна 17 Январь 2012, 00:09
      Коллеги! лежачего не бьют! То есть, я сдаюсь и ничего не имею ввиду. Только не бейте, не могу не спросить! Так как это профессиональный форум, у меня только один вопрос: - Павел Константинович, а Вы что курите? Толко честно?!Сусликов? Пингвинов? Антонов? Или?... Бросьте рецептик в личку, ОК?

      [ Ответить ]
      • Re: Перелом проксимального конца бедренной кости при сочетанной травма - тактика лечения
        Отправитель: Павел Константинович 21 Январь 2012, 14:27
        читайте в первой строке -перелом правого бедра и костей таза\там написано костей таза\ну после дежурства невыспался и опечатался.Так что ничего личного Андрей Николаевич(если это Вы).Просто точное восстановление костных структур в травматологии и восстановление функций -не совсем одно и тоже и вы это знаете.Не пинайте консервативные методы.Создаётся представление что все молодые травматологи не пользуются консервативными методами.За остроту спасибо!Жаль поздно прочел!Впрочем у Вас типичные качества бойца .а без этого в нашей работе никуда.Поаккуратней с правдой,а то так заведующему или главврачу про пристрастия к курению пингвинов выскажете!!!Доброго времени суток.

        [ Ответить ]
    Re: Перелом проксимального конца бедренной кости при сочетанной травма - тактика лечения
    Серей Дукер 16 Январь 2012, 17:52
    Учитывая характер перелома, наличие коксартроза, возможность ранней реабилитации целесообразно расмотреть вопрос о первичном протезировании.( с ревизионной ножкой)
    [ Ответить ]

    Re: Перелом проксимального конца бедренной кости при сочетанной травма - тактика лечения
    Maxim Agalakov 16 Январь 2012, 18:42
    Если позволяет состояние - надо штифтовать, как раз сейчас, есть подходящее "окно". Любым проксимальным гвоздем, можно коротким. Об артропластике думать пока рано, перелом шейки - вколоченный, стабилизируется in situ.
    [ Ответить ]

    • Re: Перелом проксимального конца бедренной кости при сочетанной травма - тактика лечения
      Отправитель: Alexaner Chelnokov 16 Январь 2012, 20:39
      ...а перелом еще и роль osteotomia medicata должен сыграть, то есть на несколько лет снизить выраженность болезненных проявлений артроза.

      [ Ответить ]
    Re: Перелом проксимального конца бедренной кости при сочетанной травма - тактика лечения
    Бережной Сергей 17 Январь 2012, 01:34
    Коллеги, спасибо за советы.

    Именно учитывая профессиональный характер форума я бы не стал заострять внимание на ответе Павла Константиновича. Всякое бывает.

    Хочу еще раз переспросить: расчитан ли проксимальный бедренный гвоздь на фиксацию субкапитальных переломов? На сайте производителя PFNA (http://www.synthes.com/MediaBin/International%20DATA/036.001.143.pdf) медиальные переломы шейки бедренной кости перечислены в противопоказаниях.

    И еще: не явится ли препятствием для введения гвоздя дугообразный изгиб диафиза бедренной кости? Вершина деформации расположена на 110мм дистальнее проксимального края малого вертела. Это я по КТ измерил точно. Можно, конечно, думать о короткой ножке. Но обеспечит ли она достаточную фиксацию при таком переломе?

    [ Ответить ]

    • Re: Перелом проксимального конца бедренной кости при сочетанной травма - тактика лечения
      Отправитель: Андрей Волна 17 Январь 2012, 15:49
      Не каждодневный случай, мягко говоря. Одна из немногих ситуация, когда бы я сделал DCS c анатомичной репозицией А3, не расколачивая В1. Непросто.

      [ Ответить ]
    Re: Перелом проксимального конца бедренной кости при сочетанной травма - тактика лечения
    Береговой Леонид 17 Январь 2012, 15:45
    Учитывая давность травмы 8 дней, на этом этапе желательно наладить скелетное вытяжение за мыщелки бедра с грузом 8-9 кг и боковую тягу проксимального конца его в в/3. рентгенконтроль. Это позволит избежать операционной травматизации, эмболии и много всяких побочных эфектов. при положительной динамике оперативное лечение может исключиться. Этим хорошо пользуется школа академика Коржа А.А. г. Харьков
    [ Ответить ]

    • Re: Перелом проксимального конца бедренной кости при сочетанной травма - тактика лечения
      Отправитель: ANDREW 17 Январь 2012, 19:44
      Давность травмы????? Что-то сомневаюсь я что школа академика Коржа таким пользуется.

      [ Ответить ]

     

    ( Ответить )

    Powered by Zope  Squishdot Powered MedLink
    Посетитель: 0391616
      "По форме правильно, а по существу - издевательство" В.И.Ленин
    ©2001-2019Orthoforum Coordinator.
    [ Главная | Отправить сообщение | Поиск | Админ ]