вверх
отправить
поиск
админ
главная
|
Патело-феморальный синдром |
 |
 |
 |
Отправлено Батал Шушания 19 Январь 2012, 01:48
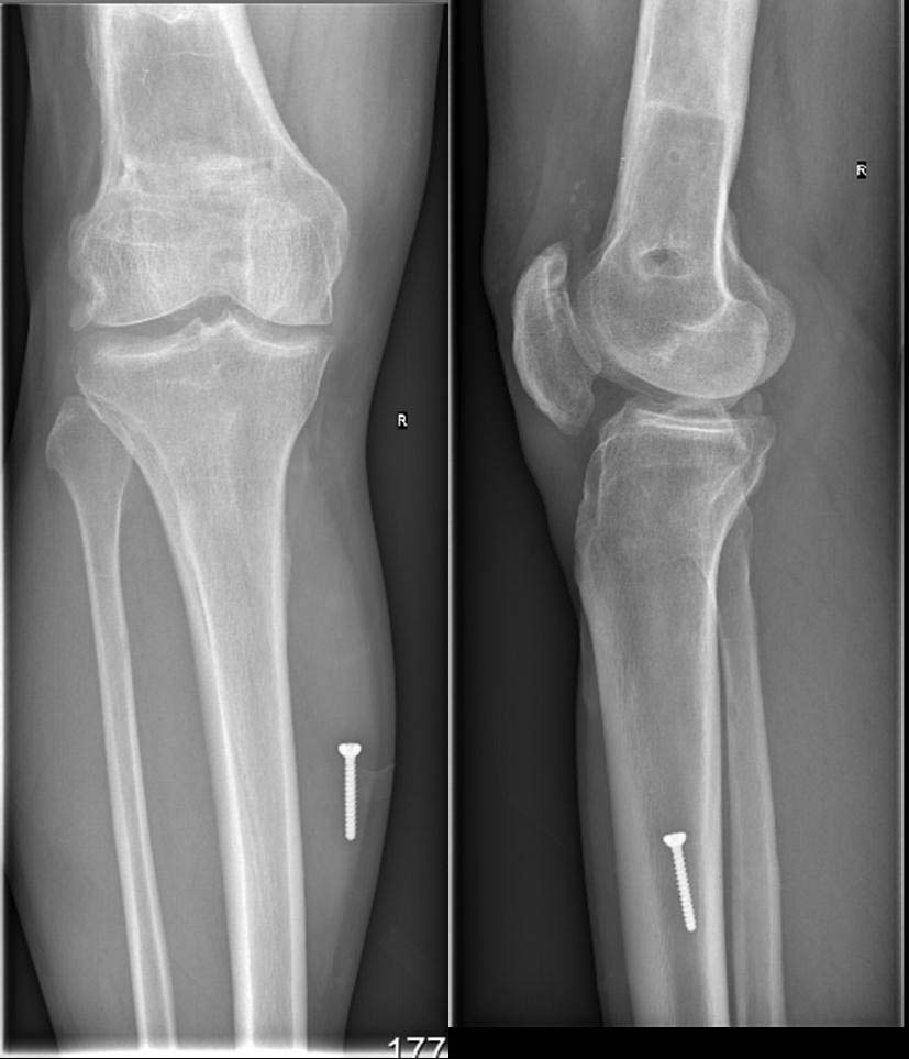
Пациент, мужчина, 45 лет. В 1982 году получил закрытый перелом диафиза бедренной кости справа. Результат консервативного лечения-варусная деформация бедренной кости В 1987 году выполнена вальгусная корригирующая остеотомия на уровне дистального эпифиза бедренной кости: варус бедренной кости нивелирован. Но в процессе лечения сформировалась выраженная контрактура в правом коленном суставе. Производилось 2 раза агрессивная разработка правого коленного сустава в аппарате типа Илизарова. В настоящее время беспокоят боли в области правого надколенника, при длительной ходьбе появляется ощущение скованности в 4-х главой мышце бедра, при отрыве правой стопы, голень и стопа как бы выбрасывается вперед (пациент, при этом, процесс разгибания в коленном суставе плохо контролирует). Правый коленный сустав внешне не деформирован, не отечен. Объем движений: сгибание до 90 градусов (до прямого угла, разгибание полное_180 гр. Сустав стабилен во всех плоскостях. Надколенник расположен практически на уровне суставной щели (тибиа-феморальной), малоподвижен, так называемая «игра надколенника» у пациента резко снижена . Пациент поступил в наше отделение для выполнения операции в объеме эндопротезирования правого коленного сустава. Однако, оценив коленный сустав, мы засомневались в необходимости данной операции этому пациенту. В данном случае , низкое стояние дегенеративно измененного правого надколенника нарушает функцию разгибательного аппарата правого коленного сустава и основная причина сосредоточена здесь, в надколеннике (по нашему мнению). У меня вопрос к коллегам: как деликатно, на нарушая разгибательный аппарат, помочь пациенту? Какие виды реконструктивных операции предпочтительны. С уважением Шушания Батал, ФБУ 3 ЦВКГ имени А А Вишневского
<
|
>
|
|
Ответить
|
Re: Патело-феморальный синдром
Батал Шушания 19 Январь 2012, 22:59
|
винт, видимый на рентгенснимках, фиксирован к коже пациента лейкопластырем при рентгенографии рентгенлабарантом, используется для калибровки рентегнснимка при планировании операции эндопротезирования.
|
[
Ответить ]
|
Re: Патело-феморальный синдром
Djoldas Kuldjanov, M.D. 19 Январь 2012, 23:59
|
Батал,
У вашего больного синдром Patella Baja или Patella Infera, т.е. низкое расположение надколенника. Состояние встречается в результате травмы или послеоперационных осложнении, например после коррегирующих операции. Сравнительные снимки показывает, что правый надколенник почти касается большеберцовую и укорочение связки приводит к нарушению пателло феморального взаймотношения. В результате такого нарушения начинается хондромаляция хрящевого покрова.
Оценка нарушении взаймосвязи высоты надколенника и собственной связки описана в методике Insall и Salvati, где в норме должен быть почти одинаковым по длине.
Для лучшей диагностики кроме боковых снимков надо делать МРТ и снимок надколенника "merchant view". В зависимо от качества хряща или нарушения линии надколенника планируется операция. Из более простых операции боковые релизы или Z образное удлинение собственной связки надколенника, но операция имеет много рецидивов. Для уменьшения рецидива усиливают дополнительно синтетическим материалом. Костная операция транспозиция бугристости (проксимализация) поможет улучшит пателло феморальное взаймотношение.
Всего один раз пришлось применить метод Илизарова для удлинения двухстороннего засторелого разрыва связки четырехглавой мышцы, которая после приближения была ушита обычным швов. И в литературе описаны ограниченные случаи удлинения собственной связки надколенника методом Илизарова, и в стране где метод популярный чем где нибудь я думаю стоит попробовать "Bloodless" метод.
|
[
Ответить ]
|
Re: Патело-феморальный синдром
александр ерохин 21 Январь 2012, 02:50
|
Конечно,нужно сделать снимки ,непосредственно на феморопателлярный сустав при сгибании колена под углом в 90 град- по Мерканту,как советует Д.Кульджанов или по Сёттегасту,Кнудсену-не принципиально,сравнив со здоровой конечностью.А как пробы клинические? -так ,называемый симптом "ладони"-при скольжении надколенника-слышен(чувствуется характерный хруст)
А далее планировать один из видов вмешательства(или нет-))по "декомрессии" сустава к коим относятся вентральное,(а в данном случае может быть и вентрально-проксимальное смещение бугристости по Элмсли,рассечение retinaculum extezorum по Фика,удлинение собственной связки и гемипателляэктомия,не упомянутая уважаемым Д.Кульджановым.К сожалению,данные вмешательства сейчас подзабыты.
Какой вид выбрать?-заочно сказать трудно.Может быть первым этапом ограничиться малоинвазивным рассечением боковой связки-ясно будет после снимков,-при ассиметрии суставной щели; или может сразу дополнить смещением бугристости или удлинение собственной связки- иногда проще решить непосредственно на операции.
Все виды технически довольно простые.Я несколько лет назад выкладывал здесь фото с операции.
Удачи..
|
[
Ответить ]
|
Re: Пателло-феморальный синдром
Батал Шушания 31 Январь 2012, 23:07
|
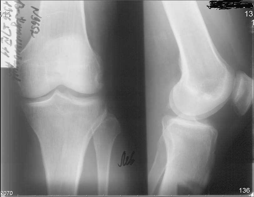
спешу поделиться результатом операции, проведенной 25/01/2012 года. Выполнен передний срединный доступ к коленному суставу длиной до 8 см, полость коленного сустава вскрыта медиально от надколенника, выделилось до 20 мл синовиальной жидкости. Надколенник вывернут. Суставная поверхность надколенника склерозирована,
резко слерозирован (до каменной плотности) верхне-наружный квадрант наколенника. Хрящ на надколеннике практически отсутствовал. Остеофиты по всей окружности надколенника (надколенник имел вид "блюдца" из-за этих сотеофитов). Жировое тело гипртрофировано. Хрящ на мыщелках бедра достаточно сохранный, хотя не идеальный. В межмыщелковом простарнстве бедра (спереди крестообразных связок)остефиты.
До операции мы еще советовались с Александром Каземирским из РНИИТО им Р.Р.Вредена. Он советовал нам выполнить " реконструктивно-пластическую
операцию по артропластике переднего отдела коленного сустава: моделирующая резекция нижнего полюса надколенника для уменьшения его вертикального размера и уменьшения гиперпрессии на фасетку бедренной кости. Придать надколеннику сесамовидную форму и борозде - соответствующее углубление." Мы практически выполнили все то, что нам рекомендовал А. Каземирский.
Сегодня объем движений: сгибание 60 градусов, разгибание 180. Конечно, движения в коленом суставе пока болезненны, особенно в области резецированного дистального полюса надколенника. Будем следить за реабилитацией данного пациента.

Прилагаю картинки до и после.
С уважением Шушания Б А
|
[
Ответить ]
|
( Ответить )
|
|