AOTRAUMA.ORG Центр Илизарова  

Ортопедия и травматология Общие вопросы/General questions Help Информационные технологии в медицине
 вверх
 отправить
 поиск
 админ
 главная


Переломовывих таранной кости
Ортопедия и травматология Отправлено Metalurg 24 Январь 2012, 13:03
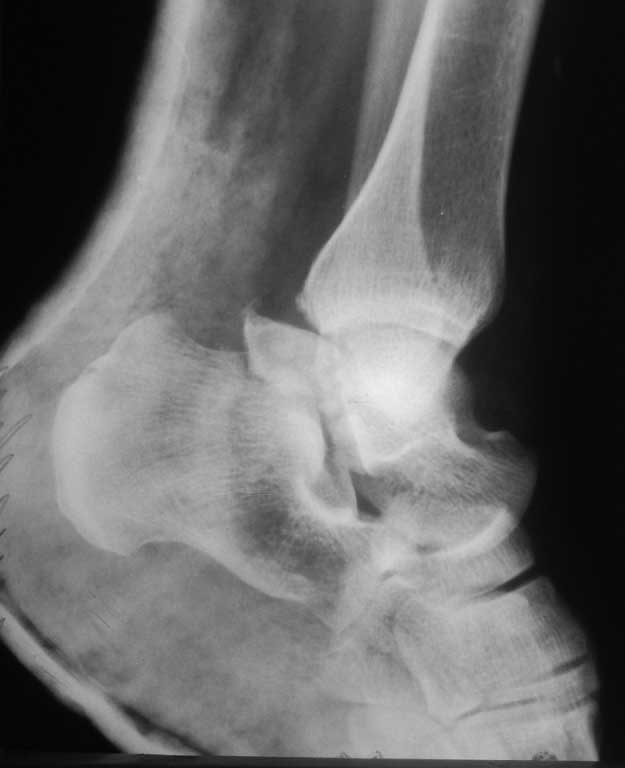
Пациентка 43 года. Через 4 дня поле травмы диагностирован перелом шейки таранной кости с вывихом в таранно- пряточном, таранно- ладьевидном суставах. Попытка закрутой репозиции результата не дала. Наложено скелетное вытяжение. Сейчас попытаюсь добавить снимки(с первого раза не получилось). Первый случай в моей практике, требуется помощь опытных коллег
Попытка закрытой репозиции результата не дала. Наложено скелетное вытяжение. Сейчас попытаюсь добавить снимки(с первого раза не получилось). Первый случай в моей практике, требуется помощь опытных коллег

<  |  >

 

  • Сообщения о Ортопедия и травматология
  • Также Metalurg
  • Связаться с автором
  • Ответить

    Re: Переломовывих таранной кости
    Дмитрий Бондарь 25 Январь 2012, 01:31
    Добрый вечер! Для начала следует выполнить стандартное рентгенобследование с обязательной проекцией Canale (А.Волна представлял на Форуме)Неплохо бы и КТ иметь. А вообще - ургентный синтез.
    С уважением Д.Б.
    [ Ответить ]

    Re: Переломовывих таранной кости
    Максим Королев 25 Январь 2012, 11:18
    Ждать не надо-оперируйте. Но сначала бы хотелось бы увидеть КТ и полную рентген картинку.
    [ Ответить ]

    Re: Переломовывих таранной кости
    Артем 26 Январь 2012, 02:57
    Хотелось бы увидеть прямую проекцию .
    Если есть вывих , то делайте открытое вправление под общим наркозом . Отломки синтезируйте спицами под контролем ЭОПа и накладывайте гипс в положении 90 градусов в голеностопе.
    [ Ответить ]

    Re: Переломовывих таранной кости
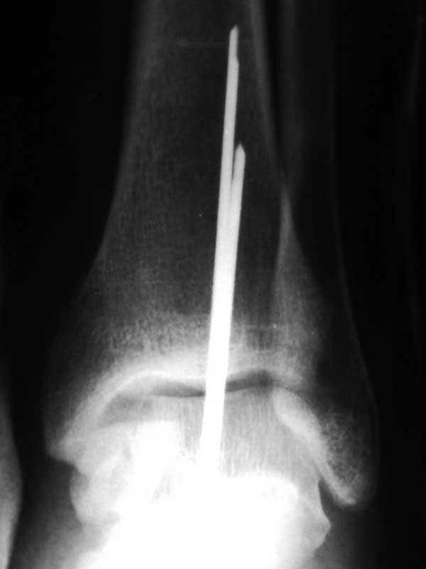
    Metalurg 27 Январь 2012, 12:20
    Вчера сделали повторную репозицию и фиксацию спицами. Сейчас будут снимки)))
    Кликните для загрузки файла SNC00405.jpg
    96KB (99074 bytes)

    [ Ответить ]

    Re: Переломовывих таранной кости
    Metalurg 27 Январь 2012, 12:49


    Прямая проекция

    [ Ответить ]

    Re: Переломовывих таранной кости
    Максим Королев 29 Январь 2012, 01:44
    А смысл?
    [ Ответить ]


    ( Ответить )

    Powered by Zope  Squishdot Powered MedLink
    Посетитель: 0175183
      "По форме правильно, а по существу - издевательство" В.И.Ленин
    ©2001-2019Orthoforum Coordinator.
    [ Главная | Отправить сообщение | Поиск | Админ ]