AOTRAUMA.ORG Центр Илизарова  

Ортопедия и травматология Общие вопросы/General questions Help Информационные технологии в медицине
 вверх
 отправить
 поиск
 админ
 главная


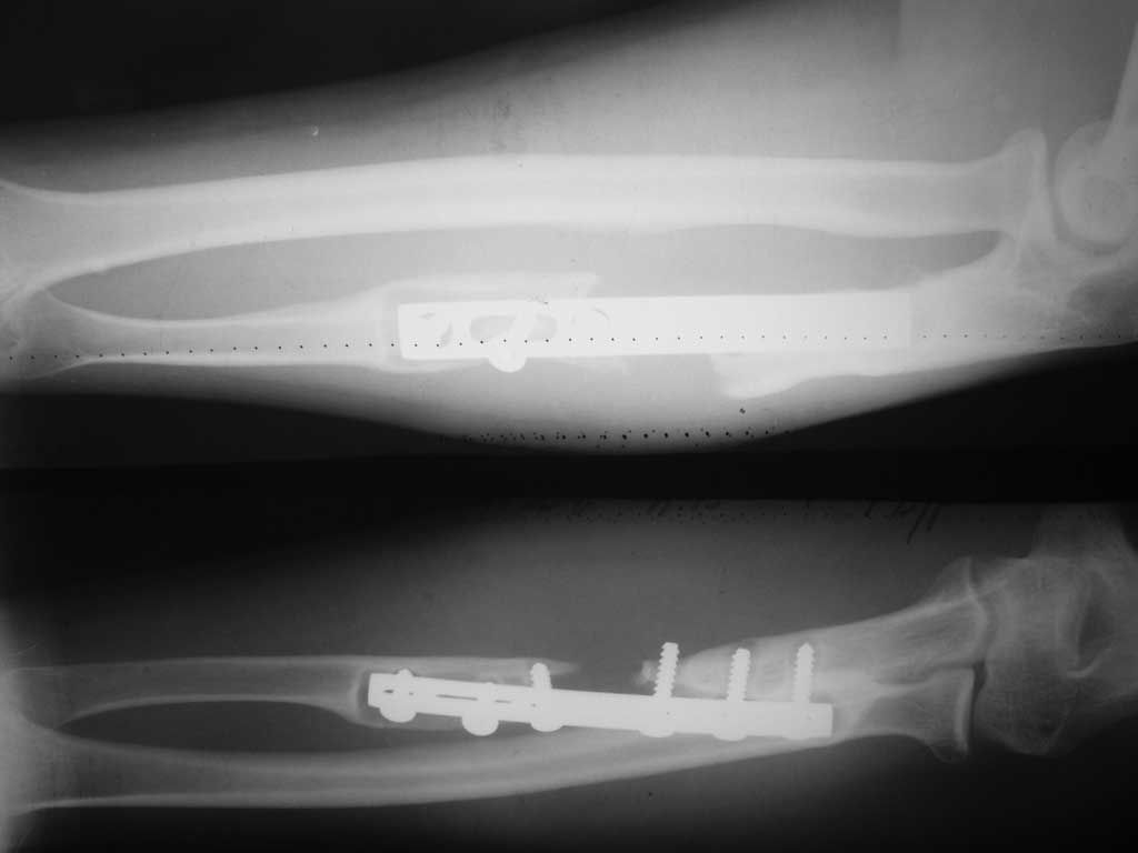
лизис локтевой кости после МОС.
Ортопедия и травматология Отправлено Ю.В. 16 Февраль 2012, 03:29
Уважаемые коллеги прошу Вашего совета.Больной 33 лет прооперирован 2 года назад. Предыдущих снимков нет.
Планирую резекция кости в пределах до здоровой кости с замещением дефекта тутопластом с МОС пластиной с блокируемыми винтами.

<  |  >

 

  • Сообщения о Ортопедия и травматология
  • Также Ю.В.
  • Связаться с автором
  • Ответить

    Re: лизис локтевой кости после МОС.
    Ostanin 16 Февраль 2012, 20:31
    Уж больно размер дефекта внушительный. Не рассматривается вариант костной пластики на сосудистой ножке? А фиксировать можно любой пластиной.
    [ Ответить ]

    Re: лизис локтевой кости после МОС.
    Андрей 17 Февраль 2012, 01:14
    Ув. Ю.В.
    Хотелось бы узнать причину лизиса на большом промежутке: открытый перером с дефектом, остеомиелит и т.д. За 2 года что-то да накопилось (хотелось бы увидеть состояние мягких тканей)
    Исходя из вышеприведенного:
    Мое предложение замещение дефекта м/б трансплантатом на сосудистой ножке.
    [ Ответить ]

    Re: лизис локтевой кости после МОС.
    Дмитрий Бондарь 17 Февраль 2012, 01:21
    А вот тут атрофический ложняк. Исключайте,или скорее, подтверждайте инфекцию. Опций кроме васкуляризованного транспланта нет IMHO.
    С уважением Д.Б.
    [ Ответить ]

    Re: лизис локтевой кости после МОС.
    Djoldas Kuldjanov, M.D. 18 Февраль 2012, 00:17
    Для принятия окончательного решения данных маловато, можно было добавить локальный статус и лабораторные данные с маркерами воспаления.
    При первичной фиксации допущены грубые технические ошибки. Скелетизация привела к лизису, а неадекватная фиксация привела к образованию ложного сустава предплечья с дефектом.
    Для реконструкции ложного сустава применяются различные синтетические аллографты, но самым идеальным материалом является аутокость. Для интеграции любого заменителя кости, тем более синтетического, необходимы специальные условия, например в закрытом пространстве в метафизе интеграция происходит быстрее и без осложнений.
    Малые дефекты можно закрыть спонгиозной костью из крыла, а более обширные дефекты диафиза лучше заместить трикортикальным графтом. Хорошим решением считается костная пластика на сосудистой ножке или удлинение методом Илизарова, но такие операции удорожают операцию из-за вовлечения специальных служб.
    Надо соблюдать осторожность при ложных суставах с дефектом, потому что в большинстве лизис связан с инфекцией. Перед окончательной фиксацией необходимо убедиться в отсутствии инфекции в зоне или применить двухэтапный метод.
    Наличие чистой раны при удалении пластины позволит применить широко распространенный в онкологии технику, установка кейджа с аутокостью. Прекрасная техника, но имеет свои ограничения из-за возможного инфицирования канала, и поэтому пока можно остановиться на трикортикальном графте с длинной пластиной.

    [ Ответить ]

    Re: лизис локтевой кости после МОС.
    Afanasyev Oleg 18 Февраль 2012, 03:53
    Соэ,с-реактивный белок,дадут ответ о наличии дремлющей инфекции. Я бы с трасплантатом не спешил,резекция стержень с антибактериальным покрытием,а вторым этапом аутотрасплантат из м/б кости без сосудистой ножки.
    [ Ответить ]

    • Re: лизис локтевой кости после МОС.
      Отправитель: Ушаков Сергей 25 Февраль 2012, 10:57
      Добрый день! Коллеги! Дополнительные исследования, костная пластика, трансплантат на сосудистой ножке и т.д. все это прекрасно. но почему бы не использовать проверенный способ дистракционного остеосинтеза по Илизарову после удаления пластины. нет необходимости искать микрохирурга, а он есть далеко не в каждой клинике, и даже не в каждом городе нашей необъятной родины (В Екатеринбурге например нет ни хирурга, ни микроскопа). А "в огне дистракции сгорит остеомиелит" если он имеется. на сегодняшний день курганским институтом выпущено масса методических руководств. С уважением Сергей.

      [ Ответить ]

     

    ( Ответить )

    Powered by Zope  Squishdot Powered MedLink
    Посетитель: 0000237
      "По форме правильно, а по существу - издевательство" В.И.Ленин
    ©2001-2019Orthoforum Coordinator.
    [ Главная | Отправить сообщение | Поиск | Админ ]