Ответить
|
Re: Несращение перелома н\3 б\берцовой кости (ложный сустав)
Ostanin 16 Февраль 2012, 14:20
|
А что мешает убрать имеющийся стержень, рассверлить, сделать остеоклазию в зоне ложного сустава и забить новый стержень максимального диаметра и сразу динамически?
|
[
Ответить ]
|
Re: Несращение перелома н\3 б\берцовой кости (ложный сустав)
Отправитель: Дмитрий Бондарь 17 Февраль 2012, 01:18
|
А зачем остеоклазия?
Д.Б.
|
[
Ответить ]
|
Re: Несращение перелома н\3 б\берцовой кости (ложный сустав)
Отправитель: Ostanin 17 Февраль 2012, 02:01
|
Уже успели пожурить - стружки при рассверливании хватит, можно остеоклазию и не делать.
|
[
Ответить ]
|
|
Re: Несращение перелома н\3 б\берцовой кости (ложный сустав)
Андрей 17 Февраль 2012, 01:01
|
Ув. товарищь Мелешкин!
1. Плз выложите снимки в прямой и боковой проекции за одну дату! (Количество дистальных блокирующих винтов не совпадает. Еще лучше всю динамику Р-графий, это коллегиально и не сложно.)
По представленным снимкам я за динамизацию стержня и осевую нагрузку весом тела. категорически против пластины!!!
|
[
Ответить ]
|
Re: Несращение перелома н\3 б\берцовой кости (ложный сустав)
Отправитель: Сергей 17 Февраль 2012, 13:40
|
Здравствуйте. количество винтов (3) совпадает. просто их не видно в боковой проекции, а если бы их там не было, виднелись бы отверстия:)
при нагрузки "болят" ,скорее всего, винты, на которые и приходится нагрузка.
ИМХО, динамизация с остеотомией мбк+полная нагрузка. так сказать,малой кровью обойтись. если в ближайшие пару месяцев боль не пройдет и по снимку не видно будет прогресса, то ресинтез с рассверливанием штифтом бОльшего диаметра.
p.s. скорее всего, динамизация в 8 недель решила бы проблему.
|
[
Ответить ]
|
|
Re: Несращение перелома н\3 б\берцовой кости (ложный сустав)
Коваленко А.Н. 17 Февраль 2012, 01:07
|
А что мешает отпереть гвоздь в проксимальном отделе? Хотя на сегодня маловероятно, что это поможет, шанс не большой.
А что мешало провести динамизацию на сроке 1.5-2 месяца? Проксимальный отдел на сроке после 8 недель и позже вообще можно было смело лишать любого блокирования хоть статического, хоть динамического. Остеосинтез нужен для возможности использования конечности до того момента, когда кость срастется, т.е. ранней функции.
Но кость может никогда не срастись, если она не будет испытывать физиологической нагрузки. Сейчас гвоздь как раз "помогает" кости не испытывать физиологической нагрузки в области перелома.
На данный момент можно рассверлить канал (так называемая аутопластика костной стружкой и создание свежей "костной раны")и снова поставить гвоздь бОльшего диаметра с компрессионной или динамической фиксацией.
Ваш план с пластикой по Хохутову и пластиной может обесточить кровоснабжение н\3 голени раз и навсегда. Какие из этого последствия, думаю понятны.
Вообще нужно взять за правило хорошего тона динамизировать все диафизарные переломы на сроке 6-8 недель. Тогда таких интересных случаев станет меньше, а счастливых больных больше.
С уважением, Коваленко А.Н.
|
[
Ответить ]
|
Re: Несращение перелома н\3 б\берцовой кости (ложный сустав)
Отправитель: Коваленко А.Н. 17 Февраль 2012, 20:04
|
Да, не забыть остеотомию (остеоклазию) малоберцовой в обязательном порядке. (Сам-то я забыл сразу указать:( )
|
[
Ответить ]
|
|
Re: Несращение перелома н\3 б\берцовой кости (ложный сустав)
Дмитрий Бондарь 17 Февраль 2012, 01:16
|
Добрый вечер! похоже имеется гипертрофическое несращение (ложняк).Основной вопрос - ИНФЕКЦИЯ??? Имеет смысл полностью динамизировать штифт + нагрузка (Может стоит выполнить и остеотомию МБК?? СОМНЕНИЯ). Либо сменить + рассверливание.Если финансово сложно, АВФ с остеотомией МБК + нагрузка. В любом случае двукратный посев пунктата из зоны перелома. Покажите корректные снимки.
С уважением Д.Б.
|
[
Ответить ]
|
Re: Несращение перелома н\3 б\берцовой кости (ложный сустав)
Андрей Мелёшкин 17 Февраль 2012, 11:50
|
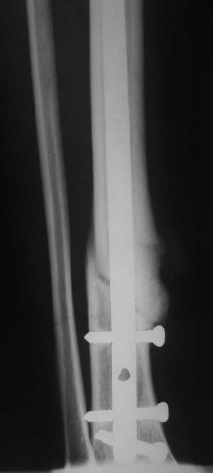
Спасибо за коментарии и предложения! Я уточнился - снимки сделаны одной датой (имеет место наложение боковых винтов на стержень - до этого никакие винты не удоляли). Пластика по Хохутову - это так - к слову:) Малоберцовая кость срослась - монолит по всей длине. Рассверливание - заманчиво, но сложность представляет второй стержень. Остановимся скорее на удалении проксимальных винтов + остеотомия м.б.к.
С уважением А.М.
|
[
Ответить ]
|
Re: Несращение перелома н\3 б\берцовой кости (ложный сустав)
Отправитель: Станислав Дмитриев 17 Февраль 2012, 22:10
|
Уважаемый Андрей! Гвоздь, судя по снимку, Sanametal'овский TWXE. Вероятно при установке не разобрались с поворотной рукояткой и провели 2 статических винта? Или по какой другой причине?
Впрочем, сейчас это уже не важно. Согласен с вашим планом проксимального разблокирования и остеотомии МБК. У меня так неоднократно срасталось на сроке 6 месяцев или около того . Вот если не поможет, тогда только ресинтез с рассверливанием. Удачи!
|
[
Ответить ]
|
|
Re: Несращение перелома н\3 б\берцовой кости (ложный сустав)
Стас Оснач 17 Февраль 2012, 16:11
|
добрый день. Ось хорошая, не хватает, на мой взгляд, компрессии. Может стоит попробовать перевести проксимальный блок в динамику и сделать предложенную выше остеотомию м\берцовой кости с последующей нагрузкой на ногу при ходьбе?! При гипертрофическом псевдоартрозе этого должно хватить...
|
[
Ответить ]
|
Re: Несращение перелома н\3 б\берцовой кости (ложный сустав)
Андрей Мелешкин 19 Февраль 2012, 19:31
|
Уважаемые коллеги! Есть предположение что у меня в плане выставления показаний для динамизации стержня (кроме поперечных переломов) имеются проблемы!
Каковы показания и сроки для динамизации стержня в различных сегментах (бедро, голень, плечо) (кроме поперечных переломов)?
|
[
Ответить ]
|
Re: Несращение перелома н\3 б\берцовой кости (ложный сустав)
Отправитель: VlaD 20 Февраль 2012, 02:07
|
Здравствуйте, уважаемые коллеги!
Почти все виды переломов в настоящее время при интерлокинге фиксируются в режиме статической фиксации. Динамизация, как рутинная процедура, не должна применяться при интерлокинге. Динамизация через два месяца после операции всем больным - это не «правило хорошего тона», скорее наоборот. Если низкоэнергетичный перелом после интерлокинга в режиме статической фиксации не срастается в положенные сроки, то для этого должны быть причины. Наиболее часто встречающиеся из них: неадекватное блокирование дистального отломка при инфраистмальных переломах (либо проксимального при супраистмальных) приводящее к нестабильности, чрезмерное рассверливание канала, сопровождающееся термальным некрозом кости, отсутствие или ограничение нагрузки на конечность в послеоперационном периоде, инфекция. Мне кажется, что в вашем случае причиной замедленной консолидации (если исключить проблемы с рассверливанием) является отсутствие адекватной нагрузки в послеоперационном периоде. Я бы удалил проксимальные блокирующие винты и настоятельно рекомендовал полную нагрузку на ногу.
С уважением, VlaD.
|
[
Ответить ]
|
Re: Несращение перелома н\3 б\берцовой кости (ложный сустав)
Отправитель: Anton Kovalenko 22 Февраль 2012, 19:29
|
Уважаемый VlaD!
Позвольте узнать, на чем основано Ваше отрицательное мнение о процедуре динамизации: на данных литературы (ссылки) или на личном опыте (примеры).
Разумеется, первичная фиксация должна быть статической при свежих переломах, поскольку даже поперечный перелом может иметь трещины, рентгенологически не диагностируемые. Однако есть работы, которые предлагают т.н. интраоперационную динамизацию (если можно так сказать) - "back strike", указывающие на то, что этот прием уменьшает количество проблем с консолидацией.
При обучении методу БИОС одно из правил, которое усвоилось всерьез и надолго, было о том, что именно рутинная динамизация позволяет избежать именно того одного на несколько десятков пациентов с замедленным сращением и консилиумов, что же с ним несчастным делать. При ретроспективном анализе среди пациентов с проблемной консолидацией, хотя таких было не много, значительной частью были как раз те, кто не пришел на динамизацию или у кого она была не сделана по к-л. другим причинам. Срок 6-8 недель для голени как раз обусловлен тем, что позже срастается малоберцовая и динамизация теряет свои свойства и возможности.
Поэтому на сегодня рекомендация просто динамизировать и дать нагрузку ни к чему не приведет, хотя очень бы этого хотелось.
Говорить о том, что в данном случае имеется неадекватная фиксация дистального отломка, на мой взгляд, не обоснованно.
С уважением, Коваленко А.Н.
|
[
Ответить ]
|
Re: Несращение перелома н\3 б\берцовой кости (ложный сустав)
Отправитель: VlaD 24 Февраль 2012, 02:16
|
Anton Kovalenko > --- Позвольте узнать, на чем основано Ваше отрицательное мнение о процедуре динамизации: на данных литературы (ссылки) или на личном опыте (примеры).
Отдельные статьи, затрагивающие данную проблему, встречаются не часто, по-моему, из-за уже устоявшегося мнения об эффективности этой процедуры. Это мнение в сжатом виде выражено в «библии»: Rockwood And Green's Fractures In Adults, 7th Edition, Copyright ©2010 Lippincott Williams Wilkins. Чтобы не затруднять вас, Антон, поиском, приведу цитату:
«Dynamization of an intramedullary nail is the process by which a statically locked intramedullary nail is converted to one that is dynamic. This is done by either removing the proximal or distally statically locked cross screws or by removing one statically locked proximal cross screw, leaving the other proximal screw in the dynamic slot in the proximal end of the nail. The principle is to increase compression at the fracture site with weight bearing. It is a procedure that is associated with low morbidity, and it is used to encourage union. Clinical evidence of its usefulness is very limited. Wu and Chen297 demonstrated a 54% success rate of union in tibial and femoral fractures after dynamizing the intramedullary nail (level of evidence: 4) but Court-Brown and his colleagues65,68 have suggested that dynamization has little effect on fracture union.»
Но, безусловно, отношение к проблеме выстроено далеко не на данных литературных источников, а на личном опыте (около двух тысяч операций и ни одной динамизации, выполненной врачом).
> --- Однако есть работы, которые предлагают т.н. интраоперационную динамизацию (если можно так сказать) - "back strike", указывающие на то, что этот прием уменьшает количество проблем с консолидацией.
Не будем ссылаться на работы, которые «однако есть». Разберёмся с терминами. Под термином «динамизация» подразумевается операция по переводу в послеоперационном периоде уже статически заблокированного стержня в динамический режим. Термин "back strike" означает технический приём во время операции следующий после дистального блокирования стержня перед проксимальным. Он означает выбивание стержня назад и преследует цель восстановить длину перерастянутого сегмента во время введения стержня, если во время операции применялся дистракционный аппарат или вытяжение, что привело к диастазу между отломками. Никакого отношения этот приём к динамизации не имеет.
> --- Срок 6-8 недель для голени как раз обусловлен тем, что позже срастается малоберцовая и динамизация теряет свои свойства и возможности.
Не кажется ли Вам, что в этом предложении содержится факт признания Вами отсутствие эффекта от динамизации, если учесть, что подавляющее большинство переломов малоберцовой кости срастается не позже восьми недель, а раньше.
Андрей Мелешкин > --- Продемонстрируйте примеры неадекватного блокирования если таковые имеются в арсенале.
Очень интересная тема – дистальное блокирование при инфраистмальных переломах. К сожалению, аргументировано её осветить не представляется возможным в жёстких рамках поста. С моей точки зрения, неадекватное дистальное блокирование при инфраистмальных переломах большеберцовой кости является наиболее частой причиной неудач при интерлокинге. Можно ожидать проблем, если блокирование таких переломов выполняется только во фронтальной плоскости. Даже третий блокирующий винт, проведенный в сагиттальной плоскости, не всегда гарантирует необходимую стабильность (пример 1-1 – 1-3 во вложенном файле). Нестабильность фиксации случается, как правило, из-за того, что диаметр блокирующих винтов меньше диаметра блокирующих отверстий стержня, что позволяет блокирующим винтам (а значит и дистальному отломку) отклонятся от перпендикулярного положения относительно стержня. Чем больше разница в диаметрах, тем больше угол возможного отклонения. Несколько большую стабильность обеспечивают блокирующие винты, заворачивающиеся в стержень (отмечены стрелками). Мы для себя взяли за правило выполнять дистальное блокирование всех инфраистмальных переломов минимум тремя винтами, проведенными в разных плоскостях (пример 2-1 – 2-3 во вложенном файле). А с учётом того что мы не ограничиваем нагрузку в послеоперационном периоде и с целью уменьшения вероятности перелома блокирующих винтов при нагрузке - стандартная процедура дистального блокирования состоит во введении четырёх блокирующих винтов введенных в разных плоскостях (пример 3-1 – 3-2 во вложенном файле).

После применения такой методики не отмечено случаев несращения после интерлокинга инфраистмальных переломов.
С уважением, VlaD.
|
[
Ответить ]
|
|
Re: Несращение перелома н\3 б\берцовой кости (ложный сустав)
Андрей Мелешкин 21 Февраль 2012, 01:05
|
-VlaD--Наиболее часто встречающиеся из них: неадекватное блокирование дистального отломка при инфраистмальных переломах (либо проксимального при супраистмальных) приводящее к нестабильности---
Продемонстрируйте примеры неадекватного блокирования если таковые имеются в арсенале.
С уважением А.М.
|
[
Ответить ]
|
Re: Несращение перелома н\3 б\берцовой кости (ложный сустав)
Андрей Волна 23 Февраль 2012, 15:03
|
Динамизация есть перенос нагрузки со штифта на кость при интрамедуллярном остеосинтезе костей нижних конечностей путём удаления винта из статического отверстия.
Коллеги, необходимость в динамизации либо отсутствие таковой основываются на ряде факторов, вне связи с которыми обсуждать вопрос или сложно, или попросту невозможно. Первое. Динамизация тесно связана с нагрузкой. Второе. Динамизация тесным образом связана с применяемым штифтом (материал, сОлидность, производитель (дизайн зачастую различен), диаметр гвоздя и блокирующих винтов). Третье. Динамизация или её отсутствие связано с технологией – с рассверливанием или без него. Помним, что при рассверливании мы добиваемся, как правило, более анатомичной репозиции, используем гвозди и блокирующие винты бОльшего диаметра. То есть, остеосинтез гвоздём – всегда относительная стабильность. Но, остеосинтез без рассверливания всегда более эластичен, нежели с таковым. Как результат – мозоль больше. Ведение несколько иное. Поддержание эластичности, что называется. Четвёртое. Многое зависит от типа и группы перелома, качества кости, веса пациента, длины отломков и прочих характеристик. Пятое. Зависит и от практики, принятой в конкретной клинике. По большому счёту большая же совокупность данных факторов и позволяет решить, как нам действовать в случае каждого конкретного пациента. Так что нет правил «хорошего тона» в данном вопросе. В приложенном файле – лекция, прочитанная в Эстонии в начале нулевых с нашими представлениями, основанными на опыте использования гвоздей в 90х (если загрузится). Сейчас там много наивного, но, есть кое-что, мне кажется, и полезное. Стоить отметить, что тогда мы использовали только Синтез сОлидные неканюлированные достаточно тонкие гвозди без рассверливания. Динамизацию проводили. Там написано, когда и какую. Иногда – первичную. Иногда – отсроченную, редко обходились вообще без неё. Всегда сочетали это с изменением режима нагрузки. Сейчас же остеосинтез уже несколько иной. Репозиция лучше. Рассверливание чаще. Гвозди и винты толще. Динамизация реже. Но, пользоваться ею можно. Иногда выручает.
 Презентация (PPT, 1,4 Mb)
В конкретном примере я бы поменял гвоздь на технологию с рассверливанием и, естественно, статическим блокированием. С уважением, Андрей
ПС Летели в Таллинн с Володей Фокиным через Хельсинки. Финскими авиалиниями. Начали раздавать обед - загрустил Владимир.
- Что случилось?
- Да есть охота, блин, а «финики» уж точно рыбу принесут
-?????
- Да не ем я рыбу, как правило - Владимир говорит,- особенно лосося, селёдку не переношу. Да, ладно, хоть гарнир съем.
Он оказался прав. На основное блюдо был сложенный пирожком лосось, фаршированный целыми малюсенькими шпротинками. На гарнир… А на гарнир была сельдь под шубой… Бывает и так. А вы говорите – динамизация…
|
[
Ответить ]
|
Re: Несращение перелома н\3 б\берцовой кости (ложный сустав)
Коваленко А.Н. 25 Февраль 2012, 00:05
|
Когда поставлен вопрос "что делать в сложившейся ситуации?" я так понимаю, что автор поста хотел бы узнать ответы и на вопросы "от чего так получилось?" и "что нужно сделать чтобы такой ситуации впредь избежать?". Поправьте меня, если я ошибаюсь.
Признаюсь, погорячился, динамизацию нельзя делать пациентам с переломами, отломки которых не имеют торцевого контакта и их концы нежизнеспособны.
Пример из FIA не очень удачный для ссылки поскольку является личным мнением автора, при чем основанным на двух полярных мнениях. А другие авторы считают динамизацию полезной. Вот ссылка на свежайшую обзорную статью января 2012: https://www.mf.uni-lj.si/dokumenti/7fb8acfad7227069ecf0bbfead04fee4.pdf . Если открыть пабмед, что не дольше, чем листать FiA, можно увидеть, что вопрос все еще дискутабельный и есть противники динамизации в ситуации указанной выше.
Если не мериться терминами, у кого длиннее и четче, а смелее смотреть в суть вещей, то к удивлению можно обнаружить, что back strike и динамизация работают по одному и тому же принципу и служат для одной и той же цели - приблизить отломки по оси стержня, уменьшить диастаз между ними и снизить для организма издержки при консолидации перелома.
Когда один доктор спрашивает коллегу как поступить в конкретной ситуации, а тот говорит: "ну ты знаешь очень очень много факторов, а вообще почитай мою лекцию десятелетней давности" в которой все перемешано - свежие, застарелые случаи, самодинамизация с переломами винтов - это ясности в голове не прибавляет. При этом динамическая фиксация имеет среди своих факторов - глупого хирурга(stupid surgeon). Ну и о чем она была? Секрет наверно в том, что возможно надо было слушать лектора. Но не все могут себе позволить по заграницам летать. Мне же по презентации показалось, что я ничего не потерял, не услышав ее доклад.
Приятно, что участники ортофорума на ходу могут выдать классификацию о факторах влияющих на динамизацию. Но загвоздка в том, что нет формулы и измеримых параметров для нее, которая бы ответила на вопрос - нужна была динамизация или нет. Все в понятиях "больше - меньше, длиннее - короче,уже - шире". По крайней мере пока. И более толстый гвоздь с более толстыми винтами дольше будет подменять несросшуюся кость, лишая место перелома важно фактора для сращения - физиологической нагрузки, забирая нагрузку на себя.
Наберусь наглости напомнить, что форум - общероссийский. И где-то еще не видели гвоздей Cинтез и не новой, и никакой генерации. А где то никогда не увидят, по крайней мере, при нашей жизни.
Заключая все сказанное, могу сказать что, я за динамизацию в большинстве случаев. С накоплением своего опыта и постоянной его проверкой свежими данными литературы, конечном итоге можно будет уже разибраться: "в этом случае она не нужна, а здесь опасна". Но эти ситуации едва ли составят более 5 %.
Возвращаясь к данному случаю, при повторной операции ни в коем случае не запирал бы статически, а выбрал бы между динамической и компрессионной фиксацией стержня.
--
С уважением, Коваленко А.Н.
|
[
Ответить ]
|
Re: Несращение перелома н\3 б\берцовой кости (ложный сустав)
Отправитель: Андрей Волна 25 Февраль 2012, 12:08
|
Коллега, весьма понятно стремление найти простые ответы на, казалось бы, простые вопросы. Однако, придя в травматологию, приходится смириться и с тем, что не всегда таковые имеются. И, если проблема многополярна, то иного выхода, кроме учёта всех возможных факторов, попросту нет. С этим приходиться не просто смириться, но и использовать как стимул для продолжения самообразования. Кусочек старой лекции же приведён именно затем, что бы показать, что поднимаемые сегодня вопросы волновали и нас, тех, кто начинал интрамедуллярный остеосинтез в нашей стране в его сегодняшней интерпретации лет так 15 или чуть более назад, точно так же, как эти вопросы волнуют и Вас, современного хирурга, оперирующего сегодня. Как говорится, здесь и сейчас. Кстати, именно с того симпозиума, лекция с которого Вас так отвратила, началось, не побоюсь сказать, такое же победоносное шествие интрамедуллярного остеосинтеза в странах Балтии. До этого данный вид погружной фиксации там не применялся. Наверное, сейчас это достаточно трудно себе это представить, но это именно так.
Многофакторностью же проблемы и отсутствием однозначного решения вопроса обусловлено относительно малое количество статей на данную тему.
И, хочешь, не хочешь, всё это приходится учитывать, занимаясь травматологией и ортопедией. Кстати, те, из коллег, кто больше занимаются ортопедией, уже даже и отвыкли от однополярного понимания мира. Попробуйте спросить, например: «Какова причина нестабильности вертлужного компонента при эндопротезировании тазобедренного сустава?». В лучшем случае Вы получите длинный развёрнутый ответ, суть которого сведётся к тому, что существует целая гамма факторов и так далее. Если столкнётесь с не очень терпеливым хирургом, то просто будете посланы… А в травматологии мы всё ещё пытаемся найти простые ответы на сложные вопросы. Кстати, Вы правы, иногда они, эти ответы, действительно есть. Но по большей части их нет. Так что не корите меня уж так сильно… Кстати, автору поста я вроде дал ответ, что бы я предпочёл в данной ситуации. И, если моё решение не совпадает с Вашим – не ругайте меня снова и снова. Иногда есть и несколько безусловно правильных решений. Не одно. Множество и неправильных, к слову, случаются так же. Андрей
|
[
Ответить ]
|
|
( Ответить )
|
|