AOTRAUMA.ORG Центр Илизарова  

Ортопедия и травматология Общие вопросы/General questions Help Информационные технологии в медицине
 вверх
 отправить
 поиск
 админ
 главная


Результат эндопротезирования
Ортопедия и травматология Отправлено Травматолог из района 26 Февраль 2012, 20:44
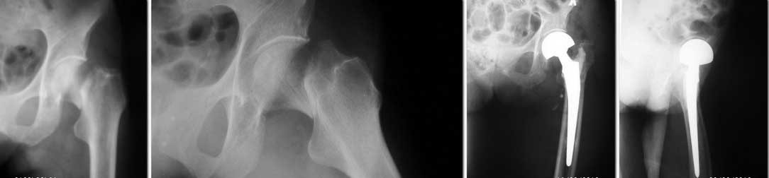
Уважаемые коллеги. Поделитесь опытом... Имеем в отделении вот такой результат эндопротезирования.
Какие рекомендации для больной в дальнейшем и чего следует ожидать при такой рентгенологической картине? Пациентке 76 лет, вес около 50 кг, операция через 5 недель после травмы.

<  |  >

 

  • Сообщения о Ортопедия и травматология
  • Также Травматолог из района
  • Связаться с автором
  • Ответить

    Re: Результат эндопротезирования
    Бережной Сергей 27 Февраль 2012, 01:51
    А что не нравится в рентгенологической картине? Каков срок после операции, что делает пациентка в Вашем отделении? Или у Вас оперирована? Однополюсный протез у худенькой пожилой пациентки. Пусть ходит пока ходится. С тросточкой. А если не ходится, тогда хоть что-то напишите о ее состоянии. И тогда сможете расчитывать на более подробный ответ
    [ Ответить ]

    • Re: Результат эндопротезирования
      Отправитель: Травматолог из района 28 Февраль 2012, 20:20
      Пациентка оперирована у нас. И если Вам всё нравится в рентгенологической картине, а цель эндопротезирования у сохранных пожилых пациентов ходить с тросточкой пока ходится, то у нас принципиально разные взгляды... Пусть ходит пока ходится. а потом ползает...

      [ Ответить ]
    Re: Результат эндопротезирования
    Maxim Agalakov 27 Февраль 2012, 19:24
    Что ее и вас не устраивает в операции?
    [ Ответить ]

    • Re: Результат эндопротезирования
      Отправитель: Травматолог из района 28 Февраль 2012, 20:28
      Ну бабушка почти замечательно лежит и стоит. А Вас все устраивает в рентгенологической картине? Хм, есть ли черная кошка в темной комнате?

      [ Ответить ]
    Re: Результат эндопротезирования
    АДок 28 Февраль 2012, 00:36
    Уважаемые коллеги, я не могу сказать, что хорошо разбираюсь в эндопротезировании суставов, но тем не менее не могу понять нескольких моментов, а именно: применялся ли цемент (судя по всему да, или мне кажется?);создается впечатление, что во время операции были некоторые сложности. Очень похоже на перипротезный перелом, но желательно выложить еще R-граммы.И по-моему немного нарушена ось ножки и соответственно ее опорные точки. Но в целом, если, коллега, это ваш дебют в эндопротезировании (и Вы стесняетесь признаться в этом), мне кажется достаточно терпимо.
    [ Ответить ]

    • Re: Результат эндопротезирования
      Отправитель: Травматолог из района 28 Февраль 2012, 20:47
      Уважаемый коллега! Это не мой дебют. И нехорошо стесняться собственной работы, ибо не ошибается тот, кто ничего не делает. И не цель обсуждать качество установки протеза. Кстати цементного. Если никто не видит особенностей ведения пациентки по результатам р-грамм, то черной кошки нет... и всё ОК);

      [ Ответить ]
    Re: Результат эндопротезирования
    Alexander Chelnokov 28 Февраль 2012, 21:58
    Стоило бы сразу представить свое видение проблемы, рассказать про свои соображения по ее решению.
    Не надо вынуждать коллег гадать, что конкретно у Вас вызывает сомнения, между чем и чем неясен выбор, что не сложилось в судьбе etc.
    [ Ответить ]

    • Re: Результат эндопротезирования
      Отправитель: Травматолог из района 29 Февраль 2012, 23:49
      Сорь, пост и был про сомнения... И хотелось дать пациентке и её родственникам полноценные рекомендации. И не хотелось озвучивать автора.

      [ Ответить ]
      • Re: Результат эндопротезирования
        Отправитель: Alexander Chelnokov 02 Март 2012, 00:50
        Сорь, пост и был про сомнения...

        Внимательно еще прочел исходное сообщение - внятного описания сомнений не увидел. В чем конкретно они состоят?
        Не стесняйтесь, пишите, как есть.

        [ Ответить ]
        • Re: Результат эндопротезирования
          Отправитель: Травматолог из района 02 Март 2012, 21:51
          Ну цементный биполяр вроде особого ограничения нагрузки не предполагает. А тут чойто боязно, несмотря на небольшой вес пациентки. И не приведет ли активное ведение больной к осложнениям в плане стабильности эндопротеза. Вот как то так...

          [ Ответить ]
    Re: Результат эндопротезирования
    Каминский Андрей 29 Февраль 2012, 14:25
    Это чего? Прикол какой-то? Миленький травматолог из района, вы от форума чего добиваетесь? Чтоб сказали, что плохо оперировано? чтоб подтвердили сомнительность однополюсника? Эго Ваше потешить? Или вы думаете, что здесь сидят любители головоломок и ваши картинки войдут в десятку лучших неразрешимых задач с призом?
    Оценивать рентген без клиники непрофессионально, нашли косяк, или думаете что нашли - обозначтесь.
    Скажите чего хотите и будет вам по делам вашим!
    Кстати, не подписываетесь чтоб не шокировать величием, или чтоб безнаказанно посмеяться над коллегами по району?
    Каминский Андрей, зав отделением эндопротезирования, РНЦ "ВТО" им.Илизарова, г.Курган

    [ Ответить ]

    • Re: Результат эндопротезирования
      Отправитель: Травматолог из района 01 Март 2012, 00:13
      Не прикол. Говорю чего хотел. Как небольшой специалист в эндопротезировании получить совет по ведению вышеуказанной пациентки с учетом возможного прогноза. И наверно не смогу Вас шокировать. И не вижу повода смеяться. И не много ли вопросов в качестве ответа?):

      [ Ответить ]
    Re: Результат эндопротезирования
    Maxim Agalakov 29 Февраль 2012, 14:30
    Если рассматривать этот случай как salvage procedure (иначе зачем ставить биполяр?)- никаких особых "косяков" нет. Если бы это был тотальный протез - то проблем много, из тех, что очевидны - неадекватное цементирование, варусная установка ножки, низкий опил; возможно - уменьшенный офсет и вероятный импинджемент б/вертела.
    Или это опять сведение счетов с коллегами?
    [ Ответить ]

    Re: Результат эндопротезирования
    Dr. Maysigov 03 Март 2012, 23:30
    Разборки на раёне?)))
    Все у нее будет хорошо, не переживайте. Дождитесь более явного "косяка", тогда самоутверждайтесь.
    Теперь к ответу. Рентенограммы точно отвратительные: разрешение плохое, где второй сустав? Поподробнее анамнез, сопутствующие, статус, пожалуйста. 76 лет, при сохранном здоровье, заслуживает тотального протеза. Вальгус ножки, невнятное цементирование и, пожалуй, все.
    [ Ответить ]

    Re: Результат эндопротезирования
    Сергей 12 Март 2012, 23:29
    На самом деле хотелось бы услышать некоторые пояснения от топикстартера. Что да как, и как в итоге чувствует себя больная.
    Создается впечатление, что цементная ножка дизайна Мюллера установлена без цемента (точнее он есть только в проксимальной части), пробки не видно, ножка ротационно и по оси не стабильна. Если это так, то думаю перспективы не радужные.
    [ Ответить ]


    ( Ответить )

    Powered by Zope  Squishdot Powered MedLink
    Посетитель: 0390013
      "По форме правильно, а по существу - издевательство" В.И.Ленин
    ©2001-2019Orthoforum Coordinator.
    [ Главная | Отправить сообщение | Поиск | Админ ]