Ответить
|
Re: Посттравматический дефект в области метаэпифиза лучевой кости слева.
Afanasyev Oleg 02 Март 2012, 01:28
|
Рассечь карпальную связку,резекция локтевой кости.Для замещения дефекта,необходима дистракция в АВФ.
|
[
Ответить ]
|
Re: Посттравматический дефект в области метаэпифиза лучевой кости слева.
Савранский Александр 02 Март 2012, 02:43
|
Я пожалуй за "нежелательный метод".
Учитывая давность травмы и наличие укорочения необходима постепенная дистракция в аппарате.
Остеомиелит также говорит в пользу внеочаговости.
|
[
Ответить ]
|
Re: Посттравматический дефект в области метаэпифиза лучевой кости слева.
Новиков Эдуард 02 Март 2012, 03:46
|

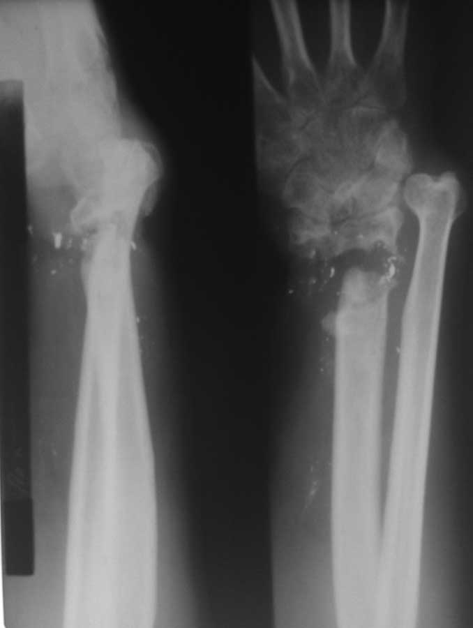
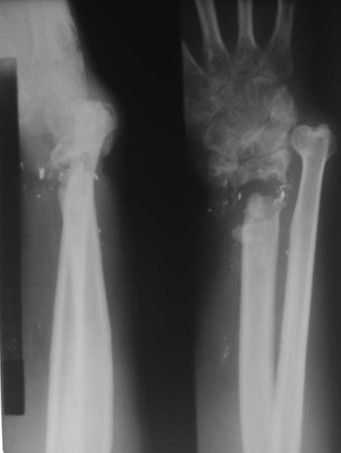
Вот дополнительные снимки
|
[
Ответить ]
|
Re: Посттравматический дефект в области метаэпифиза лучевой кости слева.
Новиков Эдуард 02 Март 2012, 03:52
|
Пациент из северной деревни. жить рядом с отделением не может. А там он следить за аппаратом Илизарова не будет
|
[
Ответить ]
|
Re: Посттравматический дефект в области метаэпифиза лучевой кости слева.
Отправитель: Савранский Александр 03 Март 2012, 01:31
|
"Пациент из северной деревни. жить рядом с отделением не может. А там он следить за аппаратом Илизарова не будет"
И все-таки без аппарата значимого укорочения не избежать.У нас пациенты,в том числе из сел,прекрасно следят за аппаратами,даже контролируют процесс дистракции.Раз в месяц показаться не такая уж проблема, опять же связь по телефону.
|
[
Ответить ]
|
|
Re: Посттравматический дефект в области метаэпифиза лучевой кости слева.
Maxim Agalakov 02 Март 2012, 15:13
|
Можно попробовать "вытянуть" кисть аппаратом, затем заместить дефект цементным спейсером. После купирования инфекции (?), выполнить импакционную аутопластику(можно добавить а/б) и внутреннюю фиксацию
|
[
Ответить ]
|
Re: Посттравматический дефект в области метаэпифиза лучевой кости слева.
Pavel Volykov 02 Март 2012, 16:30
|
Много лет назад был подобный случай, только девиация была более выраженная. Сделали резекцию локтевой кости в дистальной трети, остеосинтез пластиной. Одномоментная дистракция лучевой кости(оценить ее в начале операции, чтобы определить величину резекции локтевой кости) с замещением образовавшегося дефекта резецированным ранее фрагментом локтевой кости, остеосинтез пластиной. Есть фото и Р-граммы, постараюсь найти, если интересно.
|
[
Ответить ]
|
Re: Посттравматический дефект в области метаэпифиза лучевой кости слева.
Ткаченко Максим 03 Март 2012, 17:11
|
Соглашусь с коллегами, что без аппарата внешней фиксации не обойтись. Заместить дефект лучевой кости предлагаю за счет диафизарно-метафизарного участка локтевой кости на локтевой артерии с погружением диафизарных концов аутотрасплантата в проксимальный конец лучевой кости и дистально в паз проникающий через дистальный отломок в кости проксимального ряда запястья, с тем, чтобы сформировать артродез кистевого сустава. В будущем это поможет справиться с остеомиелитом и отчасти восстановить длину лучевой кости.
|
[
Ответить ]
|
Re: Посттравматический дефект в области метаэпифиза лучевой кости слева.
Шевцов В.И. 04 Март 2012, 19:39
|
1.Секвестрнекрэктомия. 2.Остеосинтез аппаратом Илизарова с расположением опоры в верхней трети предплечья (три - четыре спицы), вторая опора (полукольцо) на 2-5 пястные кости.Первый этап дистракция для устранения лучевой девиации кисти и вправуления в локтезапястном суставе. На этот этап потребуется 3-4 недели. Второй этап - аутопластика дистального конца лучевой кости трансплантатом малоберцовой (одномоментно) с созданием компрессии между трансплантатом и лучевой кости.
С уважением В.Шевцов.
|
[
Ответить ]
|
Re: Посттравматический дефект в области метаэпифиза лучевой кости слева.
Новиков Эдуард 05 Март 2012, 16:44
|
Клинически остеомиелита нет.
Больной не сможет приехать на осмотр,так как билет из его деревни стоит дороже чем билет до москвы. по материальным условия он не сможет покупать билеты несколько раз в год. летом практически дорог нет. Больной следить за аппаратом не будет.
Мы предлагаем: Резекция ложного сустава в области дистального метаэпифиза лучевой кости. Артродез лучезапястного сустава. Пластика дефекта в области луча в типичном месте аутотрансплантантом из локтевой кости на сосудистой ножке. Остеосинтез пластиной. Укорочение локтевой кости. Остеосинтез пластиной.
Кто нибудь делал такого рода операции? Каков будет результат?
|
[
Ответить ]
|
Re: Посттравматический дефект в области метаэпифиза лучевой кости слева.
Алексей В 05 Март 2012, 18:54
|
Все не в пользу пациента. Он далеко живет, приехать не сможет. У него есть инвалидность? Если нет оформите инвалидность человеку. А операцию выберите самую простую – остеотомию головки локтевой кости
|
[
Ответить ]
|
Re: Посттравматический дефект в области метаэпифиза лучевой кости слева.
Шведовченко Игорь Владимирович 07 Март 2012, 01:41
|
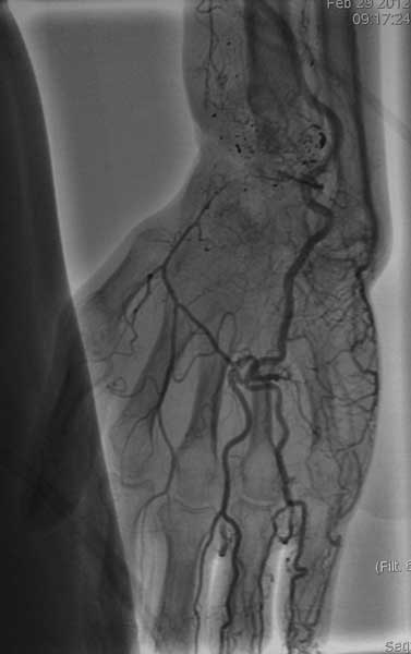
Добрый вечер, уважаемый Эдуард. Ваше положение в принципе понятно, у данного конкретного пациента выбор методики лечения в значительной степени определяет социальная ситуация, в которой находится больной. Указанная ситуация диктует лишь один выбор-максимально просто, максимально быстро, одномоментно. И используя эту аргументацию - неважно, будет ли в последующем укорочение предплечья, потеря функции лучезапястного сустава и практически полное отсутствие ротационных движений. Обговаривался ли возможный результат подобного рода действий с пациентом? Это вопрос номер 1.
Изучали ли вы достаточно тщательно ангиограммы пораженного сегмента? Если да, то вы обратили внимание, что в артериальной фазе практически полностью отсутствует контрастирование лучевой артерии в зоне дефекта, тем самым вы имеете разорванную артериальную дугу и стабильный кровоток только в одном бассейне-локтевой артерии, тыльная межкостная не контрастировалась. Невзирая на это, вы предлагаете использовать пластику дефекта трансплантатом локтевой кости на сосудистом пучке (единственном, который объективно сохранился). Не боитесь ли вы возникновения проблем кровоснабжения кисти при выполнении данного вмешательства и как вы готовы бороться с этим (имею в виду оснащение, специалистов по микрохирургии и пр.)-это вопрос номер 2.
Самый простой и быстрый вариант-иссечь рубцы между проксимальным и дистальным фрагментами лучевой кости, сформировать канал в дистальном эпиметафизе лучевой кости и костях запястья(вплоть до запястно-пястных суставов) и внедрить в этот канал дистальный конец локтевой кости, установив кисть в положение функционально выгодной пронации,тем самым получив артродез лучезапястного сустава и суставов запястья.
|
[
Ответить ]
|
Re: Посттравматический дефект в области метаэпифиза лучевой кости слева.
Мельников В.С. 09 Март 2012, 17:12
|
Вы, к сожалению, не указали конкретные жалобы пациента, т.к. очень много вводных (социальные проблемы, нарушенная сосудистая архитектоника поврежденной конечности, атрофический ложный сустав - дефект лучевой кости и пр.). Если исключить социальную составляющюю,то оптимальной тактикой мне кажется: 1-й этап - наложение дистракционного аппарата + дистракция до восстановления длинны конечности, а лучше с гиперкоррекцией, 2-й этап костная пластика кровоснабжаемым трансплантатом из гребня подвздошной кости на внутренней огибающей артерии. С учетом социального аспекта нужно решать конкретные задачи, которые ставит пациент, не гоняясь за максимальным анатомическим восстановлением поврежденной конечности, и допуская определенную ограниченость одних функциий для достижения других. Мне кажется, что в таких условиях можно выполнить свободную некровоснабжаемую костную аутопластику из гребня подвздошной кости в сочетании с артродезом кистевого сустава при помощи мостовидной пластины, которая фиксируется к 3-й пястной кости, костям кистевого сустава и диафизу лучевой кости, она позволит так же фиксировать трансплантат. Но этот вариант так же лучше выполнять после предварительной дистракции, т.к. я не сторонник укорачивающих операций на локтевой кости, что приводит к нарушению мышечно-сухожильного баланса между сгибателями и разгибателями кисти и пальцев.
С уважением В.С. Мельников.
Отделения хирургии кисти ГКБ №4 и ГКБ №6 г.Москвы
|
[
Ответить ]
|
Re: Посттравматический дефект в области метаэпифиза лучевой кости слева.
травматолог 10 Март 2012, 16:25
|
А что хочет сам пациент? Профессия, образ жизни. может быть достаточно хорошего тутора (ортеза).
|
[
Ответить ]
|
Re: Посттравматический дефект в области метаэпифиза лучевой кости слева.
Лушников Сергей Петрович 26 Март 2012, 15:09
|
Совершенно согласен с уважаемым Игорем Владимировичем!
Подобный артродез решает проблемы всех участников процесса.

Хочу предложить некоторые уточнения по технике операции:
- тыльный доступ
- длинная косая остеотомия локтевой кости
- резекция зоны дефекта лучевой кости
- фиксация костей показана на рисунке
- гипсовая повязка с локтевым суставом(минимум 3 месяца)
|
[
Ответить ]
|
( Ответить )
|