AOTRAUMA.ORG Центр Илизарова  

Ортопедия и травматология Общие вопросы/General questions Help Информационные технологии в медицине
 вверх
 отправить
 поиск
 админ
 главная


патологический перелом
Ортопедия и травматология Отправлено Руслан Токмаков 07 Март 2012, 13:07
День добрый! Подскажите оптимальную тактику лечения больного с переломом на фоне кистовидного образования.
Возраст: 42 года
ДИАГНОЗ
Основной: МКБ -10 (S 72.4) Закрытый патологический косо-вертикальный перелом нижней трети левой бедренной кости со смещением.
Осложнение: Травматический шок I ст.
Сопутствующий: Хондробластома дистального метаэпифиза левой бедренной кости?
Доставлен в экстренном порядке бригадой скорой помощи, через 40 мин с момента получения травмы.
Травма: бытовая. Жалобы при поступлении: на боль в левом бедре.
В анамнезе: со слов больного была травма в июне 2011 – ударил кувалдой под колено. Были ноющие боли. В декабре 2011 сел на корточки услышал щелчок в области коленного сустава снаружи, при вставании резкая боль. Боль по утрам, после ходьбы боли уменьшались. 25.02.12. – обратился на прием к хирургу с жалобами на боль в колене. Сделаны рентгенснимки – определили образование дистального метаэпифиза левого бедра, больной записан на КТ коленного сустава на 11.03.12.
Объективно: состояние относительно удовлетворительное. Кожа чистая физиологической окраски. По органам и системам без особенностей. Живот мягкий безболезненный. Стул, диурез в норме.
St.localis: в области левого бедра в нижней трети деформация, боль при пальпации.
манипуляция: 28.02.12.- скелетное вытяжение за бугристость большеберцовой кости слева. Анестезия: м/аКонсервативное лечение: кеторол, трамал, анальгин, димедрол.
Обследование:
ОАК(29.02.12.)-лейк-14,3; эр-5,31; Нв-159; Нt-454; Тр-202; э-3; п-1; с-72; м-7; л-17; СОЭ-12.
Микрореакция(29.02.12.)-отр.
Биохимия крови(29.02.12.)-АЛТ-13,4;АСТ-19,4;общ.белок-65,4;креатинин-82,4;сахар кр.-6,01;холестерин-5,33;мочевина-3,9;общ.билир.-12,4;ПТИ-110,4%;фибриноген- 3,1 г/л.
ОАМ(29.02.12.)-цвет-с/жел.;проз-проз.;уд.вес-1020;рН-6,5;эпит.пл-ед;лейк-1-2-0;
ЭКГ (29.02.12.): синусовый ритм с ЧСС 78 в мин.
Флюорография (03.12.11.): норма.
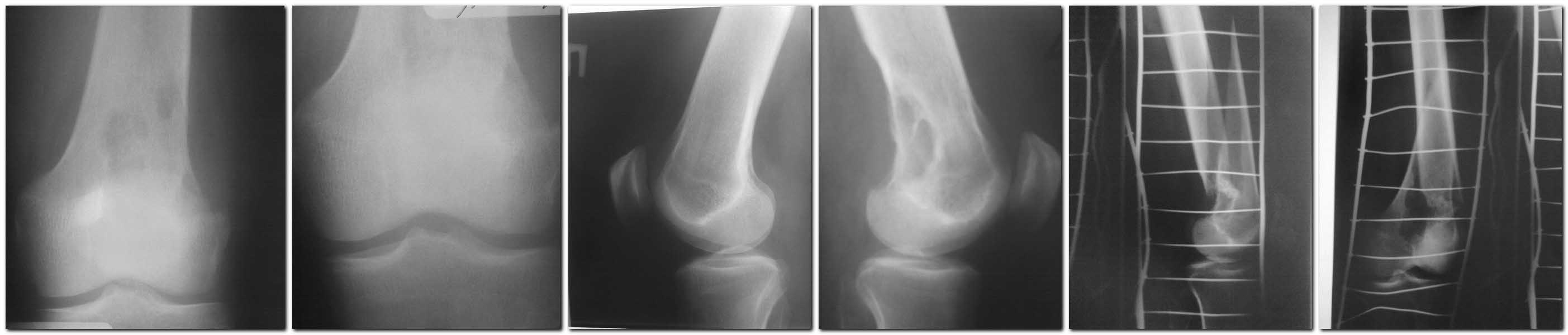
R-графия (28.02.12.) левого бедра: косо-вертикальный перелом на уровне дистального метаэпифиза с угловым смещением кпереди дистального фрагмента. В дистальном метаэпифизе визуализируется неправильной формы образование негомогенной структуры, с кистовидной перестройкой – остеома? ЭЭД 0,1 мзв

Что с таким больным делать? Аппарат, а потом с образованием разбираться? Или открывать, удалять, остеосинтез пластиной? Или? КТ рядом нет.

<  |  >

 

  • Сообщения о Ортопедия и травматология
  • Также Руслан Токмаков
  • Связаться с автором
  • Ответить

    Re: патологический перелом
    armen 08 Март 2012, 01:32
    А каков механизм травмы?(адекватна-ли сила?)
    По-моему перелом "не совсем "патологический,вроде здоровой кости немало сломалось?
    Интересно контрольные снимки на вытяжении посмотреть.
    Я думаю открывать не стоит(если нет возможности дифференцировать "что там")и лечить скелетным вытяжением(думаю Аппарат- большая,долгая ответственность с неизвестным результатом)


    [ Ответить ]

    Re: патологический перелом
    Djoldas Kuldjanov, M.D. 08 Март 2012, 23:23
    По характеру опухоль похожа на доброкачественную, и напоминает картину Interosseus Lipoma. Независимо от диагноза надо создавать стабильность и для выбора фиксатора надо делать снимки на вытяжении. Если позволяет длина в дистальном отделе, тогда ретроградный гвоздь, а так можно пластиной из мини доступа. А биопсия из очага уточнит диагноз!

    [ Ответить ]

    Re: патологический перелом
    Afanasyev Oleg 08 Март 2012, 23:34
    Оперативно, удаление кисты, гистологическое исследование по ходу операции, опорная мыщелковая пластина LSP, аутокостная пластика из крыла подвздошной кости.

    [ Ответить ]

    Re: патологический перелом
    Руслан Токмаков 09 Март 2012, 16:22
    Характер травмы, со слов больного: Помогал нести гроб на кладбище. Левая нога попала в подготовленную яму, которая была закрыта досками. Провалился до колена, откинулся назад. Ощутил как сломал ногу, возник "треск".
    Снимки на скелетном вытяжении выложу завтра.
    Гистологическое исследование по ходу операции сделать нет возможности.
    Всем спасибо!
    [ Ответить ]


    ( Ответить )

    Powered by Zope  Squishdot Powered MedLink
    Посетитель: 0000203
      "По форме правильно, а по существу - издевательство" В.И.Ленин
    ©2001-2019Orthoforum Coordinator.
    [ Главная | Отправить сообщение | Поиск | Админ ]