AOTRAUMA.ORG Центр Илизарова  

Ортопедия и травматология Общие вопросы/General questions Help Информационные технологии в медицине
 вверх
 отправить
 поиск
 админ
 главная


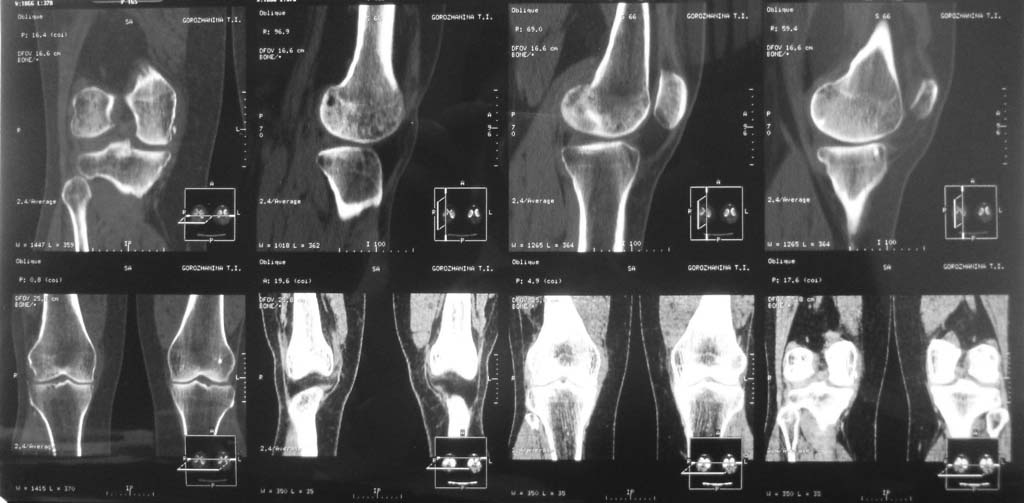
кистовидная перестройка дистального метафиза бера
Ортопедия и травматология Отправлено травматолог 15 Март 2012, 19:45
Пациентка Г. 50 лет
жалобы на боль в коленном суставе в течении 1 года. консультирована краевым ортопедом выставлен DS: Синдром медиопателярной связки коленного сустава. Тактика дальнейшего ведения.

<  |  >

 

  • Сообщения о Ортопедия и травматология
  • Также травматолог
  • Связаться с автором
  • Ответить

    Re: кистовидная перестройка дистального метафиза бера
    Kudinow Konstantin 17 Март 2012, 11:47
    Про боль подробнее.

    Пробы на стабильность.

    Выложить обычные рентгеновские снимки (прямая, боковая и боковая в макс. сгибании)

    Кудинов К. В., г. Курган.
    [ Ответить ]

    • Re: кистовидная перестройка дистального метафиза бера
      Отправитель: Травматолог 17 Март 2012, 16:11
      Боль ни с чем не связывает, усиление боли при смене погоды и ночью. Стабильность связочного аппарата сохранена.

      Кликните для загрузки файла attachments_17-03-2012_02-05-18.zip
      1000KB (1024536 bytes)

      [ Ответить ]
    Re: кистовидная перестройка дистального метафиза бера
    Василий Монастырев 18 Март 2012, 15:18
    Добрый день!
    Хотелось по подробнее о болях в коленном суставе (постонная, при нагрузках, ночные и тд). Была ли травма? Если травмы не было ... то вероятнее всего первые признаки хондрамаляции. Можно провести курс консервативного лечения, если незначительный эффект -то артроскопия
    С уважением
    [ Ответить ]


    ( Ответить )

    Powered by Zope  Squishdot Powered MedLink
    Посетитель: 0174160
      "По форме правильно, а по существу - издевательство" В.И.Ленин
    ©2001-2019Orthoforum Coordinator.
    [ Главная | Отправить сообщение | Поиск | Админ ]