ВХОД ДЛЯ ПАЦИЕНТОВ
вверх
поиск
админ
главная
|
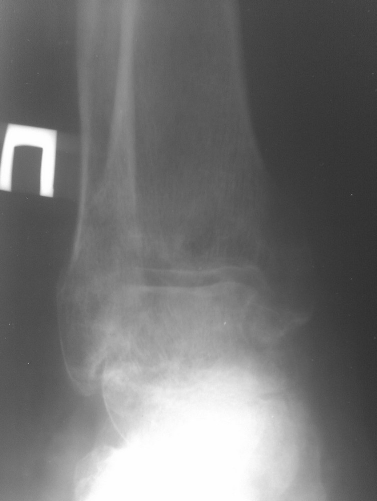
Консолидированные в неправильном положении мыщелки ББК |
 |
 |
 |
Прислано Ostanin 16 Март 2012, 23:05
из
Пациент 1944 г.р. На данный момент находится на лечении в хирургическом отделении с посттромбофлебитическим синдромом, отек голени и бедра при поступлении был +9 см.
Травма от июля 2011 года, лечили консервативно гипсовым тутором (про травму лодыжек - не помнит или не знает). Через 2 недели после травмы - легочная эмболия и илеофеморальный тромбоз, находился на стац лечении. После теоретического сращения мыщелков и снятия гипсового тутора разработка движений безрезультативна, опорности конечности нет. Со слов - прыгает на костылях до самого настоящего момента.
Сейчас - боль, передний ящик, люфт при нагрузке на ВБС. Боль в области внутренней лодыжки. Движения в голеностопе 5-0-15, в коленном суставе - 0-0-10, болезненные. При попытке встать полным весом и сделать шаг - нестабильность, ногу подворачивает.
Ваши предложения?
Пациент просит опорной ноги, сам вроде как активный (хотя толком объяснить, чем он занимался целый год, не может..)
С Уважением, Останин
Обратите внимание: Поля с жирными названиями обязательны.
Старайтесь отвечать в рамках обсуждаемой темы, а не начинать новые обсуждения.
Указывайте адекватную тему сообщения, чтобы было ясно, о чем оно.
Не послайте сообщений не по теме (оффтопик), раздраженных, грубых или обидных комментариев. Здесь это неуместно.
|